Come prevenire un'emorragia cerebrale

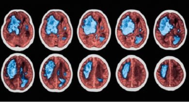
L’emorragia cerebrale è una sindrome che richiede l’immediato intervento medico perché molto spesso, se non avviene un’azione tempestiva, le conseguenze possono essere talmente gravi da portare alla morte.
Ecco perché, in articolo articolo, vogliamo indicarvi quali sono i metodi migliori per prevenirla, e quali sono i sintomi allarmanti cui prestare massima attenzione, in modo da poter stare sempre attenti in caso di rischio.
Perché si produce?
Un’emorragia cerebrale, o ictus emorragico, nella maggior parte dei casi si produce quando i vasi sanguigni che si trovano all’interno del cervello o sulla sua superficie si rompono, facendo fuoriuscire il sangue nella sostanza grigia circostante. I sintomi possono variare enormemente, a seconda della gravità del caso e dell’area del cervello colpita.
altre cause di un’emorragia cerebrale possono essere:
- la rottura di una malformazione vascolare (aneurisma)
- tumori cerebrali
- trasformazione emorragica di un ictus ischemico
- malattie emorragiche
- ematomi tra le meningi e il cranio oppure tra le meningi e il cervello (in seguito a traumi cranici)
- complicazioni dovute a farmaci anticoagulanti
Sintomi principali
Quando avviene un’emorragia cerebrale possono essere colpite diverse aree del cervello, che possono controllare differenti aree del corpo o funzioni cognitive.
Di conseguenza, possono esserci ripercussioni anche molto differenti a seconda dei casi, ad esempio potrebbero essere colpiti la memoria, la mobilità, il linguaggio, il comportamento o persino le funzioni esecutive.
Questi sintomi, così come altri segni che possono indicare che c’è qualcosa che non va, possono comparire sia in modo improvviso che, raramente, presentarsi poco a poco nell’arco di diverso tempo.

Segnali di un possibile ictus emorragico
- Intorpidimento
- Debolezza o paralisi improvvisa del viso o di un lato del corpo
- Difficoltà nel parlare o nel comprendere il linguaggio
- Vista annebbiata
- Mal di testa molto forte e improvviso
- Nausea
- Perdita dell’equilibrio
- Perdita del controllo dei muscoli
- Disturbi della sensibilità
- Compromissione parziale (o totale) dello stato di coscienza
Se presentate questi sintomi, si tratta di un’emergenza: dovete cercare soccorso medico immediatamente! Se trattato in tempo, ci saranno più probabilità di riuscire limitare i danni, senza che ci siano conseguenze più gravi.
Leggete anche: Emorragia cerebrale: sintomi e prevenzione
Raccomandazioni per prevenire un ictus

Mantenere monitorata la pressione arteriosa
Quando la pressione arteriosa è superiore a 130-80 diventa un fattore di rischio per le malattie cerebrovascolari e, di conseguenza, può arrivare a provocare un’emorragia cerebrale.
Poiché avere la pressione alta non produce sintomi, è indispensabile chiedere al vostro medico di verificare che la pressione rientri nei livelli normali. Se così non fosse, di sicuro sarà lui stesso a consigliarvi il trattamento più adeguato.
Tra i consigli sempre validi per ridurre la pressione arteriosa troviamo:
- Seguire un’alimentazione sana ed equilibrata.
- Cambiare le abitudini quotidiane scorrette come fumare e bere alcol.
- Fare attività fisica tutti i giorni.
Soltanto nei casi in cui è assolutamente necessario per la vostra salute e la pressione arteriosa non può più essere tenuta sotto controllo cambiando abitudini di vita, il vostro medico vi prescriverà alcune medicine.

Controllare il peso
Per chi è in sovrappeso è indispensabile cercare di perdere qualche chilo di troppo, visto che questo è un altro fattore di rischio che potrebbe causare un ictus emorragico.
Il modo adeguato di ridurre il sovrappeso è attraverso l’attività fisica e, naturalmente, una sana alimentazione, in cui siano sempre presenti frutta e verdura. Cercate invece di evitare il più possibile i cibi ricchi di grassi e zuccheri.
Leggete anche: Consigli e rimedi per perdere peso
Seguire una sana alimentazione
Un’alimentazione bilanciata in cui gli alimenti salutari abbiano la priorità può davvero fare la differenza. Infatti, vi proteggerà dal rischio di soffrire di un’emorragia cerebrale, di diabete, di colesterolo alto, trigliceridi e pressione arteriosa alta, tra molti problemi.
Per riuscire a seguire una sana alimentazione, vi raccomandiamo di evitare gli alimenti fritti e i cibi pronti, aumentando il consumo di frutta, verdura, legumi, cereali integrali, pesce, pollo e tacchino.
Ricordate: molto meglio prevenire che curare!
L’emorragia cerebrale è una sindrome che richiede l’immediato intervento medico perché molto spesso, se non avviene un’azione tempestiva, le conseguenze possono essere talmente gravi da portare alla morte.
Ecco perché, in articolo articolo, vogliamo indicarvi quali sono i metodi migliori per prevenirla, e quali sono i sintomi allarmanti cui prestare massima attenzione, in modo da poter stare sempre attenti in caso di rischio.
Perché si produce?
Un’emorragia cerebrale, o ictus emorragico, nella maggior parte dei casi si produce quando i vasi sanguigni che si trovano all’interno del cervello o sulla sua superficie si rompono, facendo fuoriuscire il sangue nella sostanza grigia circostante. I sintomi possono variare enormemente, a seconda della gravità del caso e dell’area del cervello colpita.
altre cause di un’emorragia cerebrale possono essere:
- la rottura di una malformazione vascolare (aneurisma)
- tumori cerebrali
- trasformazione emorragica di un ictus ischemico
- malattie emorragiche
- ematomi tra le meningi e il cranio oppure tra le meningi e il cervello (in seguito a traumi cranici)
- complicazioni dovute a farmaci anticoagulanti
Sintomi principali
Quando avviene un’emorragia cerebrale possono essere colpite diverse aree del cervello, che possono controllare differenti aree del corpo o funzioni cognitive.
Di conseguenza, possono esserci ripercussioni anche molto differenti a seconda dei casi, ad esempio potrebbero essere colpiti la memoria, la mobilità, il linguaggio, il comportamento o persino le funzioni esecutive.
Questi sintomi, così come altri segni che possono indicare che c’è qualcosa che non va, possono comparire sia in modo improvviso che, raramente, presentarsi poco a poco nell’arco di diverso tempo.

Segnali di un possibile ictus emorragico
- Intorpidimento
- Debolezza o paralisi improvvisa del viso o di un lato del corpo
- Difficoltà nel parlare o nel comprendere il linguaggio
- Vista annebbiata
- Mal di testa molto forte e improvviso
- Nausea
- Perdita dell’equilibrio
- Perdita del controllo dei muscoli
- Disturbi della sensibilità
- Compromissione parziale (o totale) dello stato di coscienza
Se presentate questi sintomi, si tratta di un’emergenza: dovete cercare soccorso medico immediatamente! Se trattato in tempo, ci saranno più probabilità di riuscire limitare i danni, senza che ci siano conseguenze più gravi.
Leggete anche: Emorragia cerebrale: sintomi e prevenzione
Raccomandazioni per prevenire un ictus

Mantenere monitorata la pressione arteriosa
Quando la pressione arteriosa è superiore a 130-80 diventa un fattore di rischio per le malattie cerebrovascolari e, di conseguenza, può arrivare a provocare un’emorragia cerebrale.
Poiché avere la pressione alta non produce sintomi, è indispensabile chiedere al vostro medico di verificare che la pressione rientri nei livelli normali. Se così non fosse, di sicuro sarà lui stesso a consigliarvi il trattamento più adeguato.
Tra i consigli sempre validi per ridurre la pressione arteriosa troviamo:
- Seguire un’alimentazione sana ed equilibrata.
- Cambiare le abitudini quotidiane scorrette come fumare e bere alcol.
- Fare attività fisica tutti i giorni.
Soltanto nei casi in cui è assolutamente necessario per la vostra salute e la pressione arteriosa non può più essere tenuta sotto controllo cambiando abitudini di vita, il vostro medico vi prescriverà alcune medicine.

Controllare il peso
Per chi è in sovrappeso è indispensabile cercare di perdere qualche chilo di troppo, visto che questo è un altro fattore di rischio che potrebbe causare un ictus emorragico.
Il modo adeguato di ridurre il sovrappeso è attraverso l’attività fisica e, naturalmente, una sana alimentazione, in cui siano sempre presenti frutta e verdura. Cercate invece di evitare il più possibile i cibi ricchi di grassi e zuccheri.
Leggete anche: Consigli e rimedi per perdere peso
Seguire una sana alimentazione
Un’alimentazione bilanciata in cui gli alimenti salutari abbiano la priorità può davvero fare la differenza. Infatti, vi proteggerà dal rischio di soffrire di un’emorragia cerebrale, di diabete, di colesterolo alto, trigliceridi e pressione arteriosa alta, tra molti problemi.
Per riuscire a seguire una sana alimentazione, vi raccomandiamo di evitare gli alimenti fritti e i cibi pronti, aumentando il consumo di frutta, verdura, legumi, cereali integrali, pesce, pollo e tacchino.
Ricordate: molto meglio prevenire che curare!
Tutte le fonti citate sono state esaminate a fondo dal nostro team per garantirne la qualità, l'affidabilità, l'attualità e la validità. La bibliografia di questo articolo è stata considerata affidabile e di precisione accademica o scientifica.
- Kernan, W. N., Ovbiagele, B., Black, H. R., Bravata, D. M., Chimowitz, M. I., Ezekowitz, M. D., … Wilson, J. A. (2014). Guidelines for the prevention of stroke in patients with stroke and transient ischemic attack: A guideline for healthcare professionals from the American Heart Association/American Stroke Association. Stroke. https://doi.org/10.1161/STR.0000000000000024
- WHO, W. H. O., WHF, W. H. F., & WSO, W. S. O. (2011). Global atlas on cardiovascular disease prevention and control. World Health Organization. https://doi.org/NLM classification: WG 120
- National Stroke Foundation. (2010). Clinical guidelines for stroke management 2010. National Stroke Foundation. https://doi.org/10.1007/978-981-10-9035-6_165
Questo testo è fornito solo a scopo informativo e non sostituisce la consultazione con un professionista. In caso di dubbi, consulta il tuo specialista.







