Fluoro: come aiuta a prevenire la carie?


Scritto e verificato l'odontoiatra Vanesa Evangelina Buffa
È ormai assodato da tempo che il fluoro aiuta a prevenire la carie. L’uso dello spazzolino insieme a un’alimentazione sana e all’uso del fluoro, sono i principali metodi per proteggere la salute dei denti.
Ma sapete come e quando assumere questo elemento? Sapete che in alcuni casi può persino essere dannoso? In questo articolo vi diremo tutto quello che c’è da sapere sul fluoro.
Cos’è il fluoro?
Il fluoro è un minerale naturale presente sulla superficie terrestre, nei depositi d’acqua e in diversi alimenti. Si può trovare nel salmone, nelle sardine e nel fegato; o in alcune piante e ortaggi, come tè, pomodori, patate e spinaci.
Oltre alle fonti naturali, si trova anche in forma d’integratore. Essendo comprovato che il fluoro contribuisce alla prevenzione della carie, in alcune nazioni viene aggiunto all’acqua della rete idrica per ridurre l’impatto della carie. In questo modo l’acqua viene fluorizzata, così come accade per molti tipi di sale e di latte.
Inoltre, si può trovare nei prodotti per l’igiene dentale come dentifrici, collutori e filo interdentale. Anche nel materiale usato dai dentisti per prevenire e trattare le patologie del cavo orale.
Il corpo umano dispone di meccanismi metabolici che regolano e controllano l’assorbimento, l’utilizzo e l’escrezione del fluoro. La maggior parte del fluoro viene trattenuta dalle ossa e dai denti; mentre una piccola parte è trattenuta dai tessuti molli. Il fluoro in eccesso si elimina attraverso le urine e, in misura minore, attraverso il sudore e le feci.

Cos’è la carie?
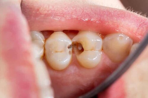
La carie è una malattia infettiva che aggredisce i sali minerali presenti sulla superficie del dente. I microrganismi che popolano il cavo orale metabolizzano gli zuccheri presenti nel cibo e producono acidi in grado di attaccare la componente inorganica dei denti.
Di conseguenza, i tessuti duri si demineralizzano. Man mano che il processo va avanti, gli elementi del dente perdono di struttura. Una volta iniziato il processo carioso, si inizia a osservare una macchia bianca opaca, che diventa più scura con il progredire della malattia.
Se non viene trattata e il processo di demineralizzazione continua, cominciano ad apparire cavità o buchi nei denti, che diventano via via più profondi e ampi. La superficie dei denti si ammorbidisce e la carie può colpire la polpa; causando sintomi dolorosi o processi infettivi.
Può interessarvi anche: Batteri che provocano le carie: quali e come prevenirli
Come agisce il fluoro nella prevenzione della carie?
Il fluoro previene la carie attraverso due meccanismi d’azione:
- Da un lato, si combina chimicamente con i cristalli dello smalto, trasformando l’idrossiapatite in fluorapatite, più resistente alla decalcificazione. Tuttavia, tale reazione non è né permanente né stabile, pertanto l’esposizione al minerale deve essere frequente.
- Dall’altro, la presenza dell’elemento nel cavo orale riduce il metabolismo dei batteri della placca. Di conseguenza riduce la produzione degli acidi responsabili della demineralizzazione. Inoltre, inibisce l’aggregazione e l’accumulo dei microrganismi.
L’assunzione di fluoro può avvenire principalmente per due vie. La prima è quella sistemica, in cui il minerale entra nell’organismo attraverso il consumo di acqua fluorizzata, alimenti o integratori. Da qui, si distribuisce nel corpo attraverso il sangue e si deposita sulle strutture dentali in formazione.
Tale azione del fluoro è particolarmente importante nella fase dello sviluppo dentale dei neonati e dei bambini. Combinandosi con i cristalli dello smalto, crea infatti un tessuto molto più resistente alla carie.
L’altra via è quella locale, che consiste nell’applicazione diretta del fluoro sulla superficie del dente. È questo il caso dei dentifrici, collutori o filo interdentale, contenenti il fluoro. Ma anche dei prodotti applicati dal dentista.
Infine, occorre segnalare che il fluoro svolge un’azione terapeutica nelle prime fasi della malattia, in quanto è in grado di remineralizzare lo smalto.
Pericoli legati all’uso eccessivo del fluoro
L’uso eccessivo del fluoro può anche essere dannoso. Il suo effetto dipende in gran parte dalla concentrazione. Se in piccole quantità produce un’azione benefica, ad alte dosi può causare effetti collaterali che comprendono danni ai denti.
L’eccessiva esposizione al minerale nella fase di formazione dei denti può produrre la fluorosi. In questo caso, i denti appaiono macchiati, presentando righe bianche o marroni. Lo smalto risulta danneggiato e nei casi più gravi possono manifestarsi piccoli buchi o alterazioni.
Il fluoro nella rete idrica
Come anticipato, il fluoro può anche essere immesso nell’acqua potabile per ridurre l’insorgenza della carie nella popolazione generale, ma in concentrazioni sicure. In questi casi, l’assunzione di fluoro per via sistemica attraverso l’integrazione non è necessaria.
La concentrazione ottimale va dai 0,7 ai 1,2 milligrammi per litro (mg/L). Con questi valori e l’uso dei comuni dentifrici al fluoro – con livelli di fluoro tra 1000 e 1200 parti per milione (ppm) – la protezione del cavo orale è assicurata.
Se invece l’acqua della rete idrica non è addizionata con il fluoro, il dentista può suggerire l’integrazione soprattutto nell’infanzia, quando i denti sono ancora in formazione. Dosi e modalità d’uso verranno indicate dal dentista, in funzione dell’età e del rischio di carie.
Infine, se il dentista lo ritiene necessario, può anche prescrivere l’uso di dentifrici o collutori con una concentrazione di fluoro più alta.
Leggete anche: Come fare un dentifricio rimineralizzante per i vostri denti
Alcuni consigli per prevenire la carie
Sebbene il fluoro aiuti a prevenire la carie, non è l’unico fattore in grado di assicurare la salute orale. Di seguito sono elencate alcune misure di prevenzione della carie.
- Spazzolare i denti: la pulizia di tutte le superfici del dente è essenziale per poter rimuovere la placca batterica che è causa della malattia. Va fatto almeno due volte al giorno, con uno spazzolino a setole morbide e un dentifricio al fluoro.
- Filo interdentale: necessario per una igiene dentale completa, dato che raggiunge zone inaccessibili allo spazzolino. Va usato almeno una volta al giorno. Questo tipo di pulizia può anche essere effettuata con spazzole interdentali e irrigatori.
- Alimentazione equilibrata: limitare il consumo di zuccheri semplici, cibi ultra-processati e bevande analcoliche aiuta a prevenire la carie.
- Masticare gomme senza zucchero: favorisce l’autopulizia grazie alla produzione di saliva prodotta dalla masticazione. Inoltre, questi prodotti contengono spesso lo xilitolo, che aiuta a prevenire la carie.
- Controlli periodici dal dentista: permettono d’individuare e trattare precocemente eventuali problemi. La pulizia professionale e i prodotti al fluoro, contribuiscono a proteggere i denti.
- Sigillatura dei denti: viene eseguita dal dentista con materiali speciali applicati sulla superficie occlusale dei denti. Evita che i batteri si accumulino nelle aree più difficili da pulire.
- Risolvere la secchezza delle fauci: i pazienti che soffrono di xerostomia (secchezza delle fauci) devono idratarsi frequentemente e usare sostituti della saliva per contrastare questo effetto che promuove la formazione della carie.
- Trattare le malattie che abbassano il pH orale: malattie quali bulimia, anoressia nervosa e reflusso gastro-esofageo, sono associate alla formazione di carie.

Seguite i consigli del vostro dentista
Il fluoro aiuta a prevenire la carie e tale beneficio va sfruttato per prendersi cura della salute orale. Tuttavia, sebbene sia un evento piuttosto raro, un suo eccessivo consumo, soprattutto nella fase dello sviluppo, può essere dannoso.
Pertanto, prima di usare prodotti per la prevenzione della carie è bene consultare il dentista. Il professionista è in grado di valutare le condizioni del cavo orale, le abitudini del paziente, la presenza o l’assenza di fluoro nell’acqua, così da consigliare i prodotti più adatti. Inoltre, indicherà anche come usarli e per quanto tempo.
Questo è il motivo per cui le visite dentistiche regolari sono il modo migliore per proteggere la salute della bocca. Parlare con il dentista dei vostri dubbi sul fluoro e seguire i suoi consigli vi aiuterà ad avere un sorriso sano e smagliante.
È ormai assodato da tempo che il fluoro aiuta a prevenire la carie. L’uso dello spazzolino insieme a un’alimentazione sana e all’uso del fluoro, sono i principali metodi per proteggere la salute dei denti.
Ma sapete come e quando assumere questo elemento? Sapete che in alcuni casi può persino essere dannoso? In questo articolo vi diremo tutto quello che c’è da sapere sul fluoro.
Cos’è il fluoro?
Il fluoro è un minerale naturale presente sulla superficie terrestre, nei depositi d’acqua e in diversi alimenti. Si può trovare nel salmone, nelle sardine e nel fegato; o in alcune piante e ortaggi, come tè, pomodori, patate e spinaci.
Oltre alle fonti naturali, si trova anche in forma d’integratore. Essendo comprovato che il fluoro contribuisce alla prevenzione della carie, in alcune nazioni viene aggiunto all’acqua della rete idrica per ridurre l’impatto della carie. In questo modo l’acqua viene fluorizzata, così come accade per molti tipi di sale e di latte.
Inoltre, si può trovare nei prodotti per l’igiene dentale come dentifrici, collutori e filo interdentale. Anche nel materiale usato dai dentisti per prevenire e trattare le patologie del cavo orale.
Il corpo umano dispone di meccanismi metabolici che regolano e controllano l’assorbimento, l’utilizzo e l’escrezione del fluoro. La maggior parte del fluoro viene trattenuta dalle ossa e dai denti; mentre una piccola parte è trattenuta dai tessuti molli. Il fluoro in eccesso si elimina attraverso le urine e, in misura minore, attraverso il sudore e le feci.

Cos’è la carie?
La carie è una malattia infettiva che aggredisce i sali minerali presenti sulla superficie del dente. I microrganismi che popolano il cavo orale metabolizzano gli zuccheri presenti nel cibo e producono acidi in grado di attaccare la componente inorganica dei denti.
Di conseguenza, i tessuti duri si demineralizzano. Man mano che il processo va avanti, gli elementi del dente perdono di struttura. Una volta iniziato il processo carioso, si inizia a osservare una macchia bianca opaca, che diventa più scura con il progredire della malattia.
Se non viene trattata e il processo di demineralizzazione continua, cominciano ad apparire cavità o buchi nei denti, che diventano via via più profondi e ampi. La superficie dei denti si ammorbidisce e la carie può colpire la polpa; causando sintomi dolorosi o processi infettivi.
Può interessarvi anche: Batteri che provocano le carie: quali e come prevenirli
Come agisce il fluoro nella prevenzione della carie?
Il fluoro previene la carie attraverso due meccanismi d’azione:
- Da un lato, si combina chimicamente con i cristalli dello smalto, trasformando l’idrossiapatite in fluorapatite, più resistente alla decalcificazione. Tuttavia, tale reazione non è né permanente né stabile, pertanto l’esposizione al minerale deve essere frequente.
- Dall’altro, la presenza dell’elemento nel cavo orale riduce il metabolismo dei batteri della placca. Di conseguenza riduce la produzione degli acidi responsabili della demineralizzazione. Inoltre, inibisce l’aggregazione e l’accumulo dei microrganismi.
L’assunzione di fluoro può avvenire principalmente per due vie. La prima è quella sistemica, in cui il minerale entra nell’organismo attraverso il consumo di acqua fluorizzata, alimenti o integratori. Da qui, si distribuisce nel corpo attraverso il sangue e si deposita sulle strutture dentali in formazione.
Tale azione del fluoro è particolarmente importante nella fase dello sviluppo dentale dei neonati e dei bambini. Combinandosi con i cristalli dello smalto, crea infatti un tessuto molto più resistente alla carie.
L’altra via è quella locale, che consiste nell’applicazione diretta del fluoro sulla superficie del dente. È questo il caso dei dentifrici, collutori o filo interdentale, contenenti il fluoro. Ma anche dei prodotti applicati dal dentista.
Infine, occorre segnalare che il fluoro svolge un’azione terapeutica nelle prime fasi della malattia, in quanto è in grado di remineralizzare lo smalto.
Pericoli legati all’uso eccessivo del fluoro
L’uso eccessivo del fluoro può anche essere dannoso. Il suo effetto dipende in gran parte dalla concentrazione. Se in piccole quantità produce un’azione benefica, ad alte dosi può causare effetti collaterali che comprendono danni ai denti.
L’eccessiva esposizione al minerale nella fase di formazione dei denti può produrre la fluorosi. In questo caso, i denti appaiono macchiati, presentando righe bianche o marroni. Lo smalto risulta danneggiato e nei casi più gravi possono manifestarsi piccoli buchi o alterazioni.
Il fluoro nella rete idrica
Come anticipato, il fluoro può anche essere immesso nell’acqua potabile per ridurre l’insorgenza della carie nella popolazione generale, ma in concentrazioni sicure. In questi casi, l’assunzione di fluoro per via sistemica attraverso l’integrazione non è necessaria.
La concentrazione ottimale va dai 0,7 ai 1,2 milligrammi per litro (mg/L). Con questi valori e l’uso dei comuni dentifrici al fluoro – con livelli di fluoro tra 1000 e 1200 parti per milione (ppm) – la protezione del cavo orale è assicurata.
Se invece l’acqua della rete idrica non è addizionata con il fluoro, il dentista può suggerire l’integrazione soprattutto nell’infanzia, quando i denti sono ancora in formazione. Dosi e modalità d’uso verranno indicate dal dentista, in funzione dell’età e del rischio di carie.
Infine, se il dentista lo ritiene necessario, può anche prescrivere l’uso di dentifrici o collutori con una concentrazione di fluoro più alta.
Leggete anche: Come fare un dentifricio rimineralizzante per i vostri denti
Alcuni consigli per prevenire la carie
Sebbene il fluoro aiuti a prevenire la carie, non è l’unico fattore in grado di assicurare la salute orale. Di seguito sono elencate alcune misure di prevenzione della carie.
- Spazzolare i denti: la pulizia di tutte le superfici del dente è essenziale per poter rimuovere la placca batterica che è causa della malattia. Va fatto almeno due volte al giorno, con uno spazzolino a setole morbide e un dentifricio al fluoro.
- Filo interdentale: necessario per una igiene dentale completa, dato che raggiunge zone inaccessibili allo spazzolino. Va usato almeno una volta al giorno. Questo tipo di pulizia può anche essere effettuata con spazzole interdentali e irrigatori.
- Alimentazione equilibrata: limitare il consumo di zuccheri semplici, cibi ultra-processati e bevande analcoliche aiuta a prevenire la carie.
- Masticare gomme senza zucchero: favorisce l’autopulizia grazie alla produzione di saliva prodotta dalla masticazione. Inoltre, questi prodotti contengono spesso lo xilitolo, che aiuta a prevenire la carie.
- Controlli periodici dal dentista: permettono d’individuare e trattare precocemente eventuali problemi. La pulizia professionale e i prodotti al fluoro, contribuiscono a proteggere i denti.
- Sigillatura dei denti: viene eseguita dal dentista con materiali speciali applicati sulla superficie occlusale dei denti. Evita che i batteri si accumulino nelle aree più difficili da pulire.
- Risolvere la secchezza delle fauci: i pazienti che soffrono di xerostomia (secchezza delle fauci) devono idratarsi frequentemente e usare sostituti della saliva per contrastare questo effetto che promuove la formazione della carie.
- Trattare le malattie che abbassano il pH orale: malattie quali bulimia, anoressia nervosa e reflusso gastro-esofageo, sono associate alla formazione di carie.

Seguite i consigli del vostro dentista
Il fluoro aiuta a prevenire la carie e tale beneficio va sfruttato per prendersi cura della salute orale. Tuttavia, sebbene sia un evento piuttosto raro, un suo eccessivo consumo, soprattutto nella fase dello sviluppo, può essere dannoso.
Pertanto, prima di usare prodotti per la prevenzione della carie è bene consultare il dentista. Il professionista è in grado di valutare le condizioni del cavo orale, le abitudini del paziente, la presenza o l’assenza di fluoro nell’acqua, così da consigliare i prodotti più adatti. Inoltre, indicherà anche come usarli e per quanto tempo.
Questo è il motivo per cui le visite dentistiche regolari sono il modo migliore per proteggere la salute della bocca. Parlare con il dentista dei vostri dubbi sul fluoro e seguire i suoi consigli vi aiuterà ad avere un sorriso sano e smagliante.
Tutte le fonti citate sono state esaminate a fondo dal nostro team per garantirne la qualità, l'affidabilità, l'attualità e la validità. La bibliografia di questo articolo è stata considerata affidabile e di precisione accademica o scientifica.
- Guerrero-Concepción, Alexander, and Roger Domínguez-Guerrero. “Fluorosis dental y su prevención en la atención primaria de salud.” Revista Electrónica Dr. Zoilo E. Marinello Vidaurreta 43.3 (2018).
- JUDITH, ARJONA SERRANO. “PREVENCION DE FLUOROSIS DENTAL.” (2019).
- Brandt, Lorenna Mendes Temóteo, et al. “Relationship between risk behavior for eating disorders and dental caries and dental erosion.” The Scientific World Journal 2017 (2017).
- Lovón, Whashington E., and Rildo P. Tapia. “Tratamiento manifestaciones Clínicas Bucales de la Anorexia y Bulimia.” (2019).
- Palma-Portaro, Camila, et al. “Recomendaciones basadas en la evidencia para la prevención de caries en infantes.” Revista Odontología Pediátrica 16.2 (2017): 51-64.
- González Sanz, Ángel Miguel, Blanca Aurora González Nieto, and Esther González Nieto. “Salud dental: relación entre la caries dental y el consumo de alimentos.” Nutrición hospitalaria 28 (2013): 64-71.
- Duque de Estrada Riverón, Johany, José Alberto Pérez Quiñonez, and Iliana Hidalgo-Gato Fuentes. “Caries dental y ecología bucal, aspectos importantes a considerar.” Revista cubana de estomatología 43.1 (2006): 0-0.
- Villacís Lascano, Estela Cleofé, Catalina Del Rosario Boada Zurita, and Carlos Iván Aguirre Pinos. “El flúor en la reducción del índice de caries en niños de etapa escolar.” Dilemas Contemporáneos: Educación, Política y Valores 7 (2020).
- Bustamante, Omayra Cova, et al. “ANTISÉPTICOS ORALES: CLORHEXIDINA, FLÚOR Y TRICLOSÁN.” Salud & Vida Sipanense 7.1 (2020): 4-16.
- Miñana, Vitoria. “El flúor oral para la prevención de caries,¿ cómo, cuándo ya quién?.” Form Act Pediatr Aten Prim 5.2 (2012): 108-13.
- Nieto Maya, Gregory Jesús. Efectividad del barniz de flúor en lesiones iniciales de caries en el periodo 2018-2020. BS thesis. Universidad de Guayaquil. Facultad Piloto de Odontología, 2020.
- Cabello Marquez, Juan José. “EFICACIA DEL USO TOPICO DE FLUOR PARA LA PREVENCIÓN DE CARIES DENTAL EN NIÑOS DE 6 AÑOS DEL CENTRO POBLADO SANTA ROSA DE SIRABAMBA, HUANUCO 2018.” (2019).
Questo testo è fornito solo a scopo informativo e non sostituisce la consultazione con un professionista. In caso di dubbi, consulta il tuo specialista.







