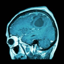
Vaccino per il tumore al cervello: presto in commercio?

Sarà possibile, un giorno, disporre di un vaccino per il tumore al cervello? I vaccini rappresentano un ottimo sistema di prevenzione e consentono anche di curare alcune malattie. Non è dunque assurdo che i ricercatori analizzino diverse possibilità per debellare neoplasie aggressive come il tumore al cervello. E se ci fosse già un vaccino?
Scoprire di avere un tumore al cervello rappresenta un duro colpo non solo per il paziente, ma anche per i familiari. La depressione nella quale a volte cadono le persone a cui viene diagnosticato il tumore causa in loro ansia e un forte malessere, come segnala l’articolo pubblicato sulla rivista Clínica y Salud.
Forse, però, non abbiamo più motivo di preoccuparci per eventualità come questa. Sono molte le fonti che ci informano dell’esistenza di un vaccino che potrebbe costituire la soluzione definitiva contro il tumore al cervello. Vediamo quali sono le aspettative disponibili e in che modo questo vaccino agisce nella distruzione della massa tumorale.
Il vaccino per il tumore al cervello
Nel giugno del 2018, il quotidiano Il Fatto Quotidiano pubblicava una notizia che parlava di vaccini personalizzati per pazienti affetti da tumore al cervello. La sperimentazione è stata condotta attraverso uno studio che ha coinvolto un numero limitato di persone e che ha dato risultati piuttosto incoraggianti.
Tuttavia, proprio a causa del ridotto numero dei soggetti che hanno partecipato alla sperimentazione, i ricercatori non possono affermare con decisione di essere riusciti a scoprire la cura per questo cancro. Per confermarne l’efficacia, bisogna eseguire ulteriori ricerche.

Immunoterapia
L’immunoterapia è un concetto di notevole importanza nell’ambito del vaccino scoperto. Questo termine indica l’uso da parte dell’organismo delle proprie difese immunitarie contro il tumore al cervello.
I ricercatori, però, hanno scoperto che i tumori non sono tutti esattamente uguali e non tutti rispondono bene al trattamento mediante immunoterapia. Per questo motivo, gli sforzi sono stati orientati verso una “immunoterapia di precisione” per trattare pazienti che soffrono di glioblastoma.
Potrebbe interessarvi leggere anche: Vaccini antitumorali: progressi scientifici
Vaccino personalizzato
Il glioblastoma è uno dei tumori più aggressivi. Per ottenere esiti favorevoli, i volontari che hanno preso parte allo studio avevano bisogno di un vaccino personalizzato. In che modo, però?
Il modo migliore consiste nel formulare un vaccino utilizzando gli antigeni del tumore del paziente. Questa operazione fornisce una risposta immunitaria molto più efficace. I linfociti, infatti, riescono a riconoscere le cellule “cattive” e le distruggono.
Nel corso della ricerca ci si è accorti che i pazienti rispondevano in modo favorevole al vaccino personalizzato e non a quello generico. In altre parole, un vaccino formulato per qualsiasi neoplasia non è efficace. Per distruggere il tumore al cervello, il vaccino deve essere personalizzato.
Vi consigliamo di leggere anche: Vaccino contro il cancro: al via la sperimentazione umana
Aspettative per il vaccino

I progressi nella cura delle diverse forme tumorali (e nello specifico nei confronti del tumore al cervello) sono piuttosto incoraggianti. Ciononostante, allo studio citato hanno partecipato solamente 30 persone.
Sorge spontaneo chiedersi se è davvero fattibile studiare e ottenere un vaccino personalizzato per ogni persona affetta da tumore al cervello. Si tratta di una soluzione attuabile? Il suo costo sarebbe accessibile per tutti?
Oltre a ciò, è importante ricordare che durante lo studio non è stato possibile curare il cancro dei volontari. Bisogna sottolineare, tuttavia, che il glioblastoma è un tumore molto aggressivo, con un alto tasso di mortalità nonostante i trattamenti portati a termine.
Si è però riusciti ad aumentare il tasso di sopravvivenza. In genere un individuo affetto da glioblastoma ha un’aspettativa di vita pari a 14 mesi. Il vaccino ha permesso di raggiungere i 29 mesi. Si tratta indubbiamente di un dato incoraggiante, che indica che ci troviamo sulla strada giusta e che la cura definitiva potrebbe essere vicina.
Conclusioni sul vaccino per il cervello
Oggi i ricercatori continuano a studiare le diverse possibilità per combattere queste malattie che ogni anno tolgono la vita a migliaia di persone. Ci auguriamo di ricevere prima del previsto la notizia di un vaccino in grado di debellare il cancro.
Bambini, giovani, adulti e anziani vengono colpiti da diverse neoplasie. Sottoporsi a chemioterapia e radioterapia è un’esperienza che speriamo possa essere sostituita dalla somministrazione di un vaccino accessibile, sicuro ed efficace.
Pensate che alla fine sarà possibile trovare una cura per il cancro? Ritenete che sarà efficace anche per i tumori più aggressivi come il glioblastoma?
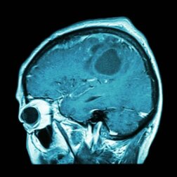
Sarà possibile, un giorno, disporre di un vaccino per il tumore al cervello? I vaccini rappresentano un ottimo sistema di prevenzione e consentono anche di curare alcune malattie. Non è dunque assurdo che i ricercatori analizzino diverse possibilità per debellare neoplasie aggressive come il tumore al cervello. E se ci fosse già un vaccino?
Scoprire di avere un tumore al cervello rappresenta un duro colpo non solo per il paziente, ma anche per i familiari. La depressione nella quale a volte cadono le persone a cui viene diagnosticato il tumore causa in loro ansia e un forte malessere, come segnala l’articolo pubblicato sulla rivista Clínica y Salud.
Forse, però, non abbiamo più motivo di preoccuparci per eventualità come questa. Sono molte le fonti che ci informano dell’esistenza di un vaccino che potrebbe costituire la soluzione definitiva contro il tumore al cervello. Vediamo quali sono le aspettative disponibili e in che modo questo vaccino agisce nella distruzione della massa tumorale.
Il vaccino per il tumore al cervello
Nel giugno del 2018, il quotidiano Il Fatto Quotidiano pubblicava una notizia che parlava di vaccini personalizzati per pazienti affetti da tumore al cervello. La sperimentazione è stata condotta attraverso uno studio che ha coinvolto un numero limitato di persone e che ha dato risultati piuttosto incoraggianti.
Tuttavia, proprio a causa del ridotto numero dei soggetti che hanno partecipato alla sperimentazione, i ricercatori non possono affermare con decisione di essere riusciti a scoprire la cura per questo cancro. Per confermarne l’efficacia, bisogna eseguire ulteriori ricerche.

Immunoterapia
L’immunoterapia è un concetto di notevole importanza nell’ambito del vaccino scoperto. Questo termine indica l’uso da parte dell’organismo delle proprie difese immunitarie contro il tumore al cervello.
I ricercatori, però, hanno scoperto che i tumori non sono tutti esattamente uguali e non tutti rispondono bene al trattamento mediante immunoterapia. Per questo motivo, gli sforzi sono stati orientati verso una “immunoterapia di precisione” per trattare pazienti che soffrono di glioblastoma.
Potrebbe interessarvi leggere anche: Vaccini antitumorali: progressi scientifici
Vaccino personalizzato
Il glioblastoma è uno dei tumori più aggressivi. Per ottenere esiti favorevoli, i volontari che hanno preso parte allo studio avevano bisogno di un vaccino personalizzato. In che modo, però?
Il modo migliore consiste nel formulare un vaccino utilizzando gli antigeni del tumore del paziente. Questa operazione fornisce una risposta immunitaria molto più efficace. I linfociti, infatti, riescono a riconoscere le cellule “cattive” e le distruggono.
Nel corso della ricerca ci si è accorti che i pazienti rispondevano in modo favorevole al vaccino personalizzato e non a quello generico. In altre parole, un vaccino formulato per qualsiasi neoplasia non è efficace. Per distruggere il tumore al cervello, il vaccino deve essere personalizzato.
Vi consigliamo di leggere anche: Vaccino contro il cancro: al via la sperimentazione umana
Aspettative per il vaccino

I progressi nella cura delle diverse forme tumorali (e nello specifico nei confronti del tumore al cervello) sono piuttosto incoraggianti. Ciononostante, allo studio citato hanno partecipato solamente 30 persone.
Sorge spontaneo chiedersi se è davvero fattibile studiare e ottenere un vaccino personalizzato per ogni persona affetta da tumore al cervello. Si tratta di una soluzione attuabile? Il suo costo sarebbe accessibile per tutti?
Oltre a ciò, è importante ricordare che durante lo studio non è stato possibile curare il cancro dei volontari. Bisogna sottolineare, tuttavia, che il glioblastoma è un tumore molto aggressivo, con un alto tasso di mortalità nonostante i trattamenti portati a termine.
Si è però riusciti ad aumentare il tasso di sopravvivenza. In genere un individuo affetto da glioblastoma ha un’aspettativa di vita pari a 14 mesi. Il vaccino ha permesso di raggiungere i 29 mesi. Si tratta indubbiamente di un dato incoraggiante, che indica che ci troviamo sulla strada giusta e che la cura definitiva potrebbe essere vicina.
Conclusioni sul vaccino per il cervello
Oggi i ricercatori continuano a studiare le diverse possibilità per combattere queste malattie che ogni anno tolgono la vita a migliaia di persone. Ci auguriamo di ricevere prima del previsto la notizia di un vaccino in grado di debellare il cancro.
Bambini, giovani, adulti e anziani vengono colpiti da diverse neoplasie. Sottoporsi a chemioterapia e radioterapia è un’esperienza che speriamo possa essere sostituita dalla somministrazione di un vaccino accessibile, sicuro ed efficace.
Pensate che alla fine sarà possibile trovare una cura per il cancro? Ritenete che sarà efficace anche per i tumori più aggressivi come il glioblastoma?
Tutte le fonti citate sono state esaminate a fondo dal nostro team per garantirne la qualità, l'affidabilità, l'attualità e la validità. La bibliografia di questo articolo è stata considerata affidabile e di precisione accademica o scientifica.
- Espinosa-Montero, Rubén, Santana, Blanca, Flores-Armas, Eduardo Miguel, & Sadowinski-Pine, Stanislaw. (2009). Astrocitoma pilocítico de cerebelo (K-07-1028) con tumor residual. Boletín médico del Hospital Infantil de México, 66(1), 80-91. Recuperado en 15 de abril de 2019, de http://www.scielo.org.mx/scielo.php?script=sci_arttext&pid=S1665-11462009000100009&lng=es&tlng=es.
- González Trujillo, F., Castro Noriega, C., Castro Ramírez, O. J., Olaya, N., Penagos González, P. J., Zubieta Vega, C., & Melo Gómez, G. (2014). Multiform glioblastomas:<: current discussions on biomolecular markers as factors for prognosis regarding a series of cases with a survival rate over 2 years in the Instituto Nacional de Cancerología INC-Colombia. Acta Neurológica Colombiana, 30(4), 282-289.
- Pinilla-Arias, D., Mateo-Sierra, O., Gutiérrez, F.A., Fernández-Carballal, C., & Carrillo, R.. (2005). Inmunoterapia en astrocitomas de alto grado: principios y estado actual. Neurocirugía, 16(4), 345-358. Recuperado en 15 de abril de 2019, de http://scielo.isciii.es/scielo.php?script=sci_arttext&pid=S1130-14732005000400005&lng=es&tlng=es.
Questo testo è fornito solo a scopo informativo e non sostituisce la consultazione con un professionista. In caso di dubbi, consulta il tuo specialista.







