Il versamento pericardico: a quali esami sottoporsi?

Il versamento pericardico è un eccessivo accumulo di liquido tra il cuore e il pericardio, la membrana che ricopre il cuore. Si parla di versamento quando la quantità di liquido supera i 50 ml.
Tra il cuore e il pericardio è sempre presente un sottile strato di liquido, ma in caso di malattia o lesione, si verifica un’infiammazione. Quest’ultima, a sua volta, porta a un aumento della quantità di liquido. Ciononostante, a volte il versamento pericardico si presenta in assenza di una precedente infiammazione.
Il versamento pericardico esercita una pressione sul cuore e interferisce con il suo funzionamento. Se non viene trattato, potrebbe provocare insufficienza cardiaca e condurre alla morte. Vediamo a seguire gli esami che consentono di rilevare questa condizione.
Esami per rilevare un versamento pericardico
Ecocardiogramma

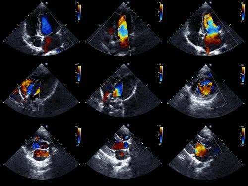
L’ecocardiogramma è l’esame preferenziale per rilevare un versamento pericardico. Viene chiamato anche ecocardiografia o ecografia cardiaca a ultrasuoni. Si tratta di una prova che consente di visualizzare la struttura del cuore e studiarne la capacità di pompaggio del sangue.
L’ecocardiogramma con tecnica Doppler permette anche di stabilire l’esatta velocità dei flussi sanguigni nel cuore. Dal punto di vista tecnico, l’ecocardiogramma bidimensionale e quello M-mode rappresentano la tecnica idonea per diagnosticare, quantificare e monitorare un versamento pericardico.
L’assenza di echi all’interno dell’epicardio e del pericardio laterale consente di diagnosticare un versamento pericardico. Il cardiologo determina le dimensioni del versamento a partire dalla quantità di spazio presente tra i due strati del pericardio.
Esistono due tipi di ecocardiogramma. Quello transtoracico, nel quale si fa uso di un dispositivo che viene collocato sul petto, all’altezza del cuore, e che emette dei suoni. Quello transesofageo, nel quale il dispositivo viene introdotto nell’apparato digerente fino all’esofago. Quest’ultima opzione fornisce dati più dettagliati.
Vi consigliamo di leggere anche: Sindrome coronarica acuta: sintomi e diagnosi
Elettrocardiogramma
L’elettrocardiogramma registra l’attività elettrica del cuore. Consente di valutare il ritmo e la funzione cardiaca. Il versamento pericardico provoca alterazioni visibili sul grafico, che però non hanno carattere specifico.
Nella maggior parte dei casi vengono individuate alcune anomalie nel complesso QRS. Quest’ultimo è un vettore che riflette la somma di tutte le scariche elettriche prodotte nelle cellule dei ventricoli. In genere, in presenza di un versamento pericardico è possibile osservare una riduzione del voltaggio del QRS.
In questi casi si produce anche un appiattimento delle onde T. Se il versamento è di grave entità, al punto da essersi formato un tamponamento, è possibile osservare un’alternanza elettrica. Di solito l’onda P diventa larga e bimodale, cosa che suggerisce la presenza di un’anomalia.
Potrebbe interessarvi leggere anche: Come leggere un elettrocardiogramma
Radiografia toracica, TAC e RMN

La radiografia del torace è un’acquisizione di immagini mediante i raggi X che consente di visualizzare tutti gli organi della regione toracica. Anche la tomografia assiale computerizzata, o TAC, è un esame che, sfruttando i raggi X, permette di ottenere immagini sotto forma di tagli trasversali o tridimensionali.
D’altro canto, con la risonanza magnetica nucleare (RMN) si ottengono immagini dettagliate dell’interno del corpo bidimensionali o tridimensionali. Fornisce informazioni molto più specifiche di quelle offerte da una radiografia o da una TAC.
In caso di versamento pericardico, si presenta un’alterazione nel profilo cardiaco che uno o tutto questi esami sono in grado di individuare. In genere, si verifica un’espansione del profilo quando si accumulano più di 250 ml di liquido nella membrana pericardica.
Tuttavia, solamente in presenza di oltre 50 ml è possibile parlare di versamento pericardico. Di conseguenza, una radiografia toracica, per esempio, non mostra il profilo espanso, sebbene l’anomalia sia presente. La TAC e la RMN sono esami decisamente più precisi.
Quantificazione del versamento pericardico
Non esistono criteri universalmente accettati per quantificare il volume del versamento pericardico. Il motivo di ciò risiede nel fatto che tutti i metodi presentano dei limiti nella determinazione della reale quantità di liquido presente nella membrana pericardica.
La tecnica maggiormente accettata per la quantificazione è quella proposta da Weitzman. Si basa sull’ecocardiografia M-mode e consiste nella somma degli spazi liberi da eco nei sacchi anteriore e posteriore alla fine della diastole. Si parla di versamento lieve quando la somma equivale o è inferiore a 10 mm; moderato quando è compresa tra i 10 e i 19 mm; grave quando equivale o è superiore a 20 mm.
Prima di formulare la diagnosi, è importante scartare l’eventuale presenza di tumori cardiaci e cisti pericardiche. Altrettanto importante è verificare che non sia presente un versamento pleurico oppure del grasso epicardico.
Il versamento pericardico è un eccessivo accumulo di liquido tra il cuore e il pericardio, la membrana che ricopre il cuore. Si parla di versamento quando la quantità di liquido supera i 50 ml.
Tra il cuore e il pericardio è sempre presente un sottile strato di liquido, ma in caso di malattia o lesione, si verifica un’infiammazione. Quest’ultima, a sua volta, porta a un aumento della quantità di liquido. Ciononostante, a volte il versamento pericardico si presenta in assenza di una precedente infiammazione.
Il versamento pericardico esercita una pressione sul cuore e interferisce con il suo funzionamento. Se non viene trattato, potrebbe provocare insufficienza cardiaca e condurre alla morte. Vediamo a seguire gli esami che consentono di rilevare questa condizione.
Esami per rilevare un versamento pericardico
Ecocardiogramma

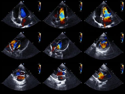
L’ecocardiogramma è l’esame preferenziale per rilevare un versamento pericardico. Viene chiamato anche ecocardiografia o ecografia cardiaca a ultrasuoni. Si tratta di una prova che consente di visualizzare la struttura del cuore e studiarne la capacità di pompaggio del sangue.
L’ecocardiogramma con tecnica Doppler permette anche di stabilire l’esatta velocità dei flussi sanguigni nel cuore. Dal punto di vista tecnico, l’ecocardiogramma bidimensionale e quello M-mode rappresentano la tecnica idonea per diagnosticare, quantificare e monitorare un versamento pericardico.
L’assenza di echi all’interno dell’epicardio e del pericardio laterale consente di diagnosticare un versamento pericardico. Il cardiologo determina le dimensioni del versamento a partire dalla quantità di spazio presente tra i due strati del pericardio.
Esistono due tipi di ecocardiogramma. Quello transtoracico, nel quale si fa uso di un dispositivo che viene collocato sul petto, all’altezza del cuore, e che emette dei suoni. Quello transesofageo, nel quale il dispositivo viene introdotto nell’apparato digerente fino all’esofago. Quest’ultima opzione fornisce dati più dettagliati.
Vi consigliamo di leggere anche: Sindrome coronarica acuta: sintomi e diagnosi
Elettrocardiogramma
L’elettrocardiogramma registra l’attività elettrica del cuore. Consente di valutare il ritmo e la funzione cardiaca. Il versamento pericardico provoca alterazioni visibili sul grafico, che però non hanno carattere specifico.
Nella maggior parte dei casi vengono individuate alcune anomalie nel complesso QRS. Quest’ultimo è un vettore che riflette la somma di tutte le scariche elettriche prodotte nelle cellule dei ventricoli. In genere, in presenza di un versamento pericardico è possibile osservare una riduzione del voltaggio del QRS.
In questi casi si produce anche un appiattimento delle onde T. Se il versamento è di grave entità, al punto da essersi formato un tamponamento, è possibile osservare un’alternanza elettrica. Di solito l’onda P diventa larga e bimodale, cosa che suggerisce la presenza di un’anomalia.
Potrebbe interessarvi leggere anche: Come leggere un elettrocardiogramma
Radiografia toracica, TAC e RMN

La radiografia del torace è un’acquisizione di immagini mediante i raggi X che consente di visualizzare tutti gli organi della regione toracica. Anche la tomografia assiale computerizzata, o TAC, è un esame che, sfruttando i raggi X, permette di ottenere immagini sotto forma di tagli trasversali o tridimensionali.
D’altro canto, con la risonanza magnetica nucleare (RMN) si ottengono immagini dettagliate dell’interno del corpo bidimensionali o tridimensionali. Fornisce informazioni molto più specifiche di quelle offerte da una radiografia o da una TAC.
In caso di versamento pericardico, si presenta un’alterazione nel profilo cardiaco che uno o tutto questi esami sono in grado di individuare. In genere, si verifica un’espansione del profilo quando si accumulano più di 250 ml di liquido nella membrana pericardica.
Tuttavia, solamente in presenza di oltre 50 ml è possibile parlare di versamento pericardico. Di conseguenza, una radiografia toracica, per esempio, non mostra il profilo espanso, sebbene l’anomalia sia presente. La TAC e la RMN sono esami decisamente più precisi.
Quantificazione del versamento pericardico
Non esistono criteri universalmente accettati per quantificare il volume del versamento pericardico. Il motivo di ciò risiede nel fatto che tutti i metodi presentano dei limiti nella determinazione della reale quantità di liquido presente nella membrana pericardica.
La tecnica maggiormente accettata per la quantificazione è quella proposta da Weitzman. Si basa sull’ecocardiografia M-mode e consiste nella somma degli spazi liberi da eco nei sacchi anteriore e posteriore alla fine della diastole. Si parla di versamento lieve quando la somma equivale o è inferiore a 10 mm; moderato quando è compresa tra i 10 e i 19 mm; grave quando equivale o è superiore a 20 mm.
Prima di formulare la diagnosi, è importante scartare l’eventuale presenza di tumori cardiaci e cisti pericardiche. Altrettanto importante è verificare che non sia presente un versamento pleurico oppure del grasso epicardico.
Tutte le fonti citate sono state esaminate a fondo dal nostro team per garantirne la qualità, l'affidabilità, l'attualità e la validità. La bibliografia di questo articolo è stata considerata affidabile e di precisione accademica o scientifica.
- Martín-García, A. C., Peláez, E. D., Martín-García, A., & Sánchez, P. L. (2017). Derrame pericárdico. Taponamiento cardíaco. Medicine-Programa de Formación Médica Continuada Acreditado, 12(44), 2621-2628.
- Sociedad Española de Imagen Cardíaca. Complejo QRS. https://ecocardio.com/documentos/biblioteca-preguntas-basicas/preguntas-al-cardiologo/1046-complejo-qrs.html
- MedlinePlus. Ecocardiografía. https://medlineplus.gov/spanish/ency/article/003869.htm
- MedlinePlus. Trastornos del pericardio. https://medlineplus.gov/spanish/pericardialdisorders.html
- MedlinePlus. Electrocardiograma.https://medlineplus.gov/spanish/pruebas-de-laboratorio/electrocardiograma/
- National Heart, Lung and Blood Institute. Radiografía de tórax. https://www.nhlbi.nih.gov/health-topics/espanol/radiografia-de-torax
Questo testo è fornito solo a scopo informativo e non sostituisce la consultazione con un professionista. In caso di dubbi, consulta il tuo specialista.







