Sindrome coronarica acuta: sintomi e diagnosi

La sindrome coronarica acuta, o ACS, si verifica quando il flusso di sangue al cuore viene drasticamente ridotto. Nella maggior parte dei casi si verifica per erosione o rottura di una placca aterosclerotica nelle arterie coronarie.
L’ateroma è una placca di grasso formatasi alla periferia dei vasi sanguigni. Il distacco di un frammento di ateroma innesca la formazione di trombe e il successivo blocco, totale o parziale, della coronaria.
Dal momento che le arterie coronarie sono i principali vasi sanguigni che irrorano il cuore, il risultato di una loro ostruzione è una grave carenza di irrigazione nel muscolo cardiaco. Ne consegue una cardiopatia ischemica.
Sebbene sia la causa principale della comparsa della sindrome coronarica acuta, ci sono altre cause meno frequenti, tra cui si possono menzionare:
- Sindrome di Kawasaki.
- Artrite reumatoide.
- Traumi.
- Trombosi coronarica.
- Ipercoagulabilità.
- Embolia arteriosa.
- Dissezione spontanea coronarica.
- Anomalie congenite.
Manifestazioni cliniche della sindrome coronarica acuta

Il sintomo principale della sindrome coronarica acuta è un dolore al petto opprimente. Di solito si localizza tra lo sterno o la zona dello stomaco. Questo dolore può estendersi in aree come le spalle, il collo o la mascella.
L’inizio del dolore è improvviso e la sua intensità aumenta. Si tratta di un dolore che raggiunge il picco massimo intorno ai 2-5 minuti. Ma questi episodi sono a volte intermittenti.
Altri sintomi che possono essere sperimentati sono nausea, vomito, dolore addominale o vertigini. Alcuni pazienti possono presentare ipotensione, sudorazione, pallore e polso irregolare.
Inoltre, nei pazienti giovani tra i 25 e i 40 anni e negli anziani oltre i 75 anni, il quadro clinico può essere meno specifico e atipico. Possono manifestarsi sintomi quali dolore epigastrico, indigestione, stanchezza o sincope.
Forse vi interessa: Infarto femminile: quali sono i sintomi?
La diagnosi della sindrome coronarica acuta
Di solito la diagnosi della sindrome coronarica acuta viene stabilita dalla manifestazione di dolori al petto con sospetta ischemia. In questi casi, i medici eseguiranno una serie di esami complementari per determinare l’esistenza e la gravità della malattia.
Elettrocardiogramma

L’elettrocardiogramma è un esame medico che registra l’attività elettrica del cuore in ciascun battito cardiaco. Questa attività viene espressa attraverso una rappresentazione grafica che mostra la stimolazione elettrica degli atri e dei ventricoli.
Se si sospetta la presenza di SCA, l’elettrocardiogramma deve essere eseguito entro i primi 10 minuti dalla valutazione del paziente. Se il risultato non conferma il sospetto, ma l’evidenza clinica persiste, l’elettrocardiogramma verrà ripetuto ogni 15 o 30 minuti per continuare la valutazione.
Enzimi cardiaci
Grazie a un campione di sangue, vengono analizzati gli enzimi cardiaci indicativi di necrosi miocardica. Se uno qualsiasi di questi campioni è elevato, si dovrebbe sospettare un possibile infarto miocardico. Questo aspetto aumenterebbe il rischio di morte.
Questi campioni di necrosi miocardica sono le troponine e l’isoenzima della massa della creatina chinasi. L’analisi dovrebbe essere realizzata durante i primi 60 minuti.
Tuttavia, l’assenza di questi campioni durante una prima analisi non esclude il danno miocardico. Pertanto, l’esame deve essere ripetuto 6 e 12 ore dopo la comparsa del dolore toracico.
Forse siete interessati: Perché è pericolosa l’ostruzione delle arterie coronarie?
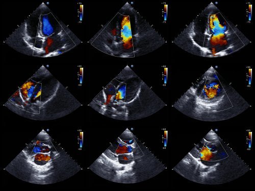
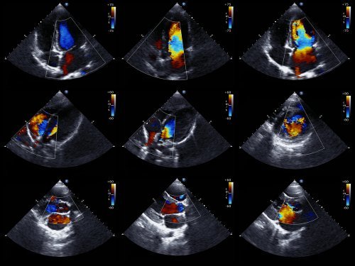
Ecocardiogramma

L’ecocardiogramma è un esame medico ampiamente utilizzato, poiché consente di ottenere immagini in movimento del cuore. In questo modo si può valutare lo stato delle camere cardiache e il loro movimento, e quindi confermare o escludere l’ischemia.
Si possono valutare anche la dimensione del cuore, la sua forza e lo stato delle pareti che definiscono le sue camere. È un esame non invasivo, che non comporta rischi per il paziente. Questo perché utilizza gli ultrasuoni per ottenere le immagini dell’organo.
L’assenza di alterazioni nella mobilità delle pareti cardiache esclude la presenza di ischemie. D’altra parte, tali anomalie non è sono esclusive della sindrome coronarica acuta. Per questo motivo, i risultati degli esami e i sintomi devono essere valutati nel dettaglio insieme al medico.
Altri possibili esami
Occasionalmente può essere eseguita un’angiografia coronarica. È un test che usa un colorante speciale insieme ai raggi X e che permette di osservare come il sangue scorre attraverso il cuore.
Infine, possono essere eseguiti altri esami complementari per formulare la diagnosi. Tra questi il test di sforzo fisico, di sforzo con radioisotopi e l’ecocardiografia da sforzo.
La sindrome coronarica acuta, o ACS, si verifica quando il flusso di sangue al cuore viene drasticamente ridotto. Nella maggior parte dei casi si verifica per erosione o rottura di una placca aterosclerotica nelle arterie coronarie.
L’ateroma è una placca di grasso formatasi alla periferia dei vasi sanguigni. Il distacco di un frammento di ateroma innesca la formazione di trombe e il successivo blocco, totale o parziale, della coronaria.
Dal momento che le arterie coronarie sono i principali vasi sanguigni che irrorano il cuore, il risultato di una loro ostruzione è una grave carenza di irrigazione nel muscolo cardiaco. Ne consegue una cardiopatia ischemica.
Sebbene sia la causa principale della comparsa della sindrome coronarica acuta, ci sono altre cause meno frequenti, tra cui si possono menzionare:
- Sindrome di Kawasaki.
- Artrite reumatoide.
- Traumi.
- Trombosi coronarica.
- Ipercoagulabilità.
- Embolia arteriosa.
- Dissezione spontanea coronarica.
- Anomalie congenite.
Manifestazioni cliniche della sindrome coronarica acuta

Il sintomo principale della sindrome coronarica acuta è un dolore al petto opprimente. Di solito si localizza tra lo sterno o la zona dello stomaco. Questo dolore può estendersi in aree come le spalle, il collo o la mascella.
L’inizio del dolore è improvviso e la sua intensità aumenta. Si tratta di un dolore che raggiunge il picco massimo intorno ai 2-5 minuti. Ma questi episodi sono a volte intermittenti.
Altri sintomi che possono essere sperimentati sono nausea, vomito, dolore addominale o vertigini. Alcuni pazienti possono presentare ipotensione, sudorazione, pallore e polso irregolare.
Inoltre, nei pazienti giovani tra i 25 e i 40 anni e negli anziani oltre i 75 anni, il quadro clinico può essere meno specifico e atipico. Possono manifestarsi sintomi quali dolore epigastrico, indigestione, stanchezza o sincope.
Forse vi interessa: Infarto femminile: quali sono i sintomi?
La diagnosi della sindrome coronarica acuta
Di solito la diagnosi della sindrome coronarica acuta viene stabilita dalla manifestazione di dolori al petto con sospetta ischemia. In questi casi, i medici eseguiranno una serie di esami complementari per determinare l’esistenza e la gravità della malattia.
Elettrocardiogramma

L’elettrocardiogramma è un esame medico che registra l’attività elettrica del cuore in ciascun battito cardiaco. Questa attività viene espressa attraverso una rappresentazione grafica che mostra la stimolazione elettrica degli atri e dei ventricoli.
Se si sospetta la presenza di SCA, l’elettrocardiogramma deve essere eseguito entro i primi 10 minuti dalla valutazione del paziente. Se il risultato non conferma il sospetto, ma l’evidenza clinica persiste, l’elettrocardiogramma verrà ripetuto ogni 15 o 30 minuti per continuare la valutazione.
Enzimi cardiaci
Grazie a un campione di sangue, vengono analizzati gli enzimi cardiaci indicativi di necrosi miocardica. Se uno qualsiasi di questi campioni è elevato, si dovrebbe sospettare un possibile infarto miocardico. Questo aspetto aumenterebbe il rischio di morte.
Questi campioni di necrosi miocardica sono le troponine e l’isoenzima della massa della creatina chinasi. L’analisi dovrebbe essere realizzata durante i primi 60 minuti.
Tuttavia, l’assenza di questi campioni durante una prima analisi non esclude il danno miocardico. Pertanto, l’esame deve essere ripetuto 6 e 12 ore dopo la comparsa del dolore toracico.
Forse siete interessati: Perché è pericolosa l’ostruzione delle arterie coronarie?
Ecocardiogramma

L’ecocardiogramma è un esame medico ampiamente utilizzato, poiché consente di ottenere immagini in movimento del cuore. In questo modo si può valutare lo stato delle camere cardiache e il loro movimento, e quindi confermare o escludere l’ischemia.
Si possono valutare anche la dimensione del cuore, la sua forza e lo stato delle pareti che definiscono le sue camere. È un esame non invasivo, che non comporta rischi per il paziente. Questo perché utilizza gli ultrasuoni per ottenere le immagini dell’organo.
L’assenza di alterazioni nella mobilità delle pareti cardiache esclude la presenza di ischemie. D’altra parte, tali anomalie non è sono esclusive della sindrome coronarica acuta. Per questo motivo, i risultati degli esami e i sintomi devono essere valutati nel dettaglio insieme al medico.
Altri possibili esami
Occasionalmente può essere eseguita un’angiografia coronarica. È un test che usa un colorante speciale insieme ai raggi X e che permette di osservare come il sangue scorre attraverso il cuore.
Infine, possono essere eseguiti altri esami complementari per formulare la diagnosi. Tra questi il test di sforzo fisico, di sforzo con radioisotopi e l’ecocardiografia da sforzo.
Tutte le fonti citate sono state esaminate a fondo dal nostro team per garantirne la qualità, l'affidabilità, l'attualità e la validità. La bibliografia di questo articolo è stata considerata affidabile e di precisione accademica o scientifica.
- Cabrera S, Serrano I, Sans J, Bardají A. Protocolo diagnóstico del dolor torácico agudo. En: Urgencias. Unidades de dolor torácico. Medicine 2009;10(37)2511-4.
- Fauci, Braunwald, Kasper, Hauser, Longo, Jameson et al. Harrison, principios de Medicina Interna. Vol I-17a Edición. Mc Graw Hill Año 2009:87-91.
- Segura De La Cal, T., Carbonell San Román, S. A., & Zamorano Gómez, J. L. (2013). Síndrome coronario agudo. Medicine (Spain). https://doi.org/10.1016/S0304-5412(13)70608-5
- Sociedad Española de Cardiología. (2017). Proceso asistencial simplificado del síndrome coronario agudo. Sociedad Española de Cardiología. https://doi.org/http://dx.doi.org/10.2139/
- Lee Th, Goldman L. Evaluation Of The Patient With Acte Chest Pain. New England Journal Med 2000;342:1187-95
Questo testo è fornito solo a scopo informativo e non sostituisce la consultazione con un professionista. In caso di dubbi, consulta il tuo specialista.







