Spina calcaneare: cause e trattamento

La spina calcaneare o sperone è causata da un processo di calcificazione a livello del tallone. È molto dolorosa e rende faticoso il movimento dell’articolazione nel piede.
Può essere favorita da una cattiva postura, dall’uso di calzature scomode o da tutto ciò che porta ad alterare questa zona del piede. Oggi parliamo della spina calcaneare, delle sue cause e delle terapie.
Cosa c’è da sapere sulla spina calcaneare

La principale caratteristica della spina calcaneare è la sensazione di dolore che si percepisce quando l’infiammazione del tallone si aggrava. In questo caso può sorgere una fascite plantare e il disagio si estende al resto del piede e alle dita.
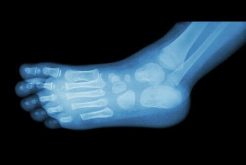
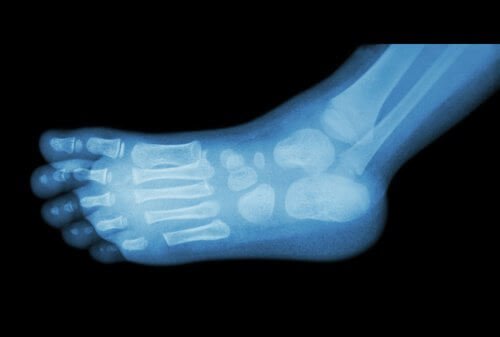
Per diagnosticare uno sperone è sufficiente una normale radiografia, anche se spesso è visibile a occhio nudo, dal momento che si tratta di una piccola protuberanza causata da un accumulo di calcio.
Tra i fattori che possono scatenare questa malattia ricordiamo l’esecuzione ripetitiva di determinati movimenti o l’abitudine di indossare tutti i giorni scarpe con i tacchi alti. È anche legata al sovrappeso, al piede piatto o molto arcuato e all’infiammazione del tendine d’Achille.
Il continuo ed eccessivo stiramento della fascia plantare (tessuto che riveste i muscoli del piede) è alla base del dolore e dell’insorgere di questa malattia, che rende doloroso appoggiare il tallone e quasi impossibile una prolungata permanenza in piedi.
La formazione dello sperone rappresenta una reazione del corpo, che cerca di riparare la lesione prodotta trasportando calcio attraverso il sangue. Se la quantità di calcio che si accumula diventa eccessiva, si produce, appunto, la spina calcaneare.
Di per sé, la spina calcaneare è asintomatica. Ciò che fa avvertire il dolore è la fascite plantare nella parte interna del tallone, ma anche in qualunque delle cinque ossa metatarsali, ovvero a livello delle dita.
La sensazione dolorosa è paragonabile a punture di spillo, che svaniscono quando il piede è a riposo.
Leggete anche: Perché smettere di indossare le scarpe con il tacco?
Come prevenire e curare la spina calcaneare

Per evitare la formazione dello sperone calcaneare è necessario, innanzitutto, prevenire la comparsa della fascite plantare.
L’ortopedico, a seguito di un’analisi del piede, può consigliare l’uso di plantari su misura; in questo modo si evitano sovraccarichi del tallone, viene riequilibrato il movimento del piede e se ne ottimizza l’appoggio.
È importante precisare che gli speroni non guariscono dall’oggi al domani. Il processo di guarigione richiede il suo tempo ed è fondamentale essere costanti. Alcuni trattamenti efficaci per ridurre il dolore e l’infiammazione sono quelli che indichiamo di seguito.
Applicazione del ghiaccio
Applicate il ghiaccio sull’area del tallone per un quarto d’ora, almeno due volte al giorno. Potete strofinare un paio di cubetti di ghiaccio oppure applicare una borsa del ghiaccio da lasciare nel freezer.
Un’altra soluzione è quella di far rotolare il piede sopra una bottiglietta o una lattina congelata.
Riposo, indispensabile per alleviare il dolore dovuto alla spina calcaneare
È importante che il piede non sia costantemente sotto tensione. Cercate di sollevarlo per qualche istante nel corso della giornata e di notte sistemate un cuscino sotto i talloni. In questo modo la pressione esercitata durante il giorno si allevierà e potrete riposare meglio.
Occorrerà, inoltre, fare qualche piccolo cambiamento nelle attività quotidiane. Ad esempio, se praticate sport, evitate quelli che esercitano una pressione o un impatto eccessivo in questa zona del piede.
Meglio optare per attività sportive più leggere, come il nuoto, andare in bicicletta o semplicemente camminare.
Tutore notturno
Questa specie di tavoletta viene prescritta dal medico e può essere acquistata nei negozi di articoli ortopedici. Aiuta a tenere distesa la fascia plantare durante il sonno. La sua forma a “L” mantiene il piede in posizione ideale.
In caso di forte dolore, si può usare anche durante il giorno.
Esercizio per alleviare i disturbi legati alla spina calcaneare

È vero che non sempre l’attività fisica è una buona alleata quando si soffre di spina calcaneare o di tallonite. Tuttavia, alcuni esercizi possono essere molto utili per ridurre i sintomi e rafforzare questa zona del piede.
- Stretching dei polpacci. Mettetevi in piedi, di fronte alla parete e appoggiate le mani alla stessa. Mettete un piede dietro l’altro. Il ginocchio della gamba anteriore è leggermente piegato. Spingete il corpo verso la parete e mantenete questa posizione per dieci secondi. Sentirete allungare i polpacci. Ripetete una ventina di volte, alternando le gambe.
- Stretching della fascia plantare. Da eseguire sempre la mattina, prima di alzarsi dal letto. Incrociate il piede sopra il ginocchio dell’altra gamba. Afferrate le dita del piede e spingetele delicatamente verso di voi. Mantenete la posizione per una decina di secondi, quindi tornate alla posizione iniziale. Ripetete per venti volte, quindi cambiate piede.
Leggete anche: Come curare lesioni e malattie delle dita dei piedi
Scarpe che possono causare la spina calcaneare

Innanzitutto, è importante che le scarpe siano comode e della vostra misura. Un buon momento per acquistarle è il tardo pomeriggio o dopo il lavoro, quando i piedi sono più gonfi.
Per provarle indossate un paio di calze simili a quelle che utilizzate solitamente. Fate qualche passo nel negozio, accertatevi che le dita dei piedi abbiano un po’ di movimento e che nella scarpa non ci siano parti che diano fastidio, tocchino o stringano troppo il piede.
Cercate di indossare scarpe con i tacchi solo se necessario. Se siete obbligate ad andare in ufficio con una scarpa di questo tipo, potete metterle in una borsa e indossarle prima di entrare a lavoro. Quando vi spostate o siete in pausa pranzo, sostituitele con un paio di scarpe più comode.
Se già vi è stata diagnosticata una spina calcaneare chiedete al medico se sia il caso di utilizzare qualche ausilio ortopedico, ad esempio, plantari per i talloni, solette su misura, cuscinetti ortopedici o altro.
La spina calcaneare o sperone è causata da un processo di calcificazione a livello del tallone. È molto dolorosa e rende faticoso il movimento dell’articolazione nel piede.
Può essere favorita da una cattiva postura, dall’uso di calzature scomode o da tutto ciò che porta ad alterare questa zona del piede. Oggi parliamo della spina calcaneare, delle sue cause e delle terapie.
Cosa c’è da sapere sulla spina calcaneare

La principale caratteristica della spina calcaneare è la sensazione di dolore che si percepisce quando l’infiammazione del tallone si aggrava. In questo caso può sorgere una fascite plantare e il disagio si estende al resto del piede e alle dita.
Per diagnosticare uno sperone è sufficiente una normale radiografia, anche se spesso è visibile a occhio nudo, dal momento che si tratta di una piccola protuberanza causata da un accumulo di calcio.
Tra i fattori che possono scatenare questa malattia ricordiamo l’esecuzione ripetitiva di determinati movimenti o l’abitudine di indossare tutti i giorni scarpe con i tacchi alti. È anche legata al sovrappeso, al piede piatto o molto arcuato e all’infiammazione del tendine d’Achille.
Il continuo ed eccessivo stiramento della fascia plantare (tessuto che riveste i muscoli del piede) è alla base del dolore e dell’insorgere di questa malattia, che rende doloroso appoggiare il tallone e quasi impossibile una prolungata permanenza in piedi.
La formazione dello sperone rappresenta una reazione del corpo, che cerca di riparare la lesione prodotta trasportando calcio attraverso il sangue. Se la quantità di calcio che si accumula diventa eccessiva, si produce, appunto, la spina calcaneare.
Di per sé, la spina calcaneare è asintomatica. Ciò che fa avvertire il dolore è la fascite plantare nella parte interna del tallone, ma anche in qualunque delle cinque ossa metatarsali, ovvero a livello delle dita.
La sensazione dolorosa è paragonabile a punture di spillo, che svaniscono quando il piede è a riposo.
Leggete anche: Perché smettere di indossare le scarpe con il tacco?
Come prevenire e curare la spina calcaneare

Per evitare la formazione dello sperone calcaneare è necessario, innanzitutto, prevenire la comparsa della fascite plantare.
L’ortopedico, a seguito di un’analisi del piede, può consigliare l’uso di plantari su misura; in questo modo si evitano sovraccarichi del tallone, viene riequilibrato il movimento del piede e se ne ottimizza l’appoggio.
È importante precisare che gli speroni non guariscono dall’oggi al domani. Il processo di guarigione richiede il suo tempo ed è fondamentale essere costanti. Alcuni trattamenti efficaci per ridurre il dolore e l’infiammazione sono quelli che indichiamo di seguito.
Applicazione del ghiaccio
Applicate il ghiaccio sull’area del tallone per un quarto d’ora, almeno due volte al giorno. Potete strofinare un paio di cubetti di ghiaccio oppure applicare una borsa del ghiaccio da lasciare nel freezer.
Un’altra soluzione è quella di far rotolare il piede sopra una bottiglietta o una lattina congelata.
Riposo, indispensabile per alleviare il dolore dovuto alla spina calcaneare
È importante che il piede non sia costantemente sotto tensione. Cercate di sollevarlo per qualche istante nel corso della giornata e di notte sistemate un cuscino sotto i talloni. In questo modo la pressione esercitata durante il giorno si allevierà e potrete riposare meglio.
Occorrerà, inoltre, fare qualche piccolo cambiamento nelle attività quotidiane. Ad esempio, se praticate sport, evitate quelli che esercitano una pressione o un impatto eccessivo in questa zona del piede.
Meglio optare per attività sportive più leggere, come il nuoto, andare in bicicletta o semplicemente camminare.
Tutore notturno
Questa specie di tavoletta viene prescritta dal medico e può essere acquistata nei negozi di articoli ortopedici. Aiuta a tenere distesa la fascia plantare durante il sonno. La sua forma a “L” mantiene il piede in posizione ideale.
In caso di forte dolore, si può usare anche durante il giorno.
Esercizio per alleviare i disturbi legati alla spina calcaneare

È vero che non sempre l’attività fisica è una buona alleata quando si soffre di spina calcaneare o di tallonite. Tuttavia, alcuni esercizi possono essere molto utili per ridurre i sintomi e rafforzare questa zona del piede.
- Stretching dei polpacci. Mettetevi in piedi, di fronte alla parete e appoggiate le mani alla stessa. Mettete un piede dietro l’altro. Il ginocchio della gamba anteriore è leggermente piegato. Spingete il corpo verso la parete e mantenete questa posizione per dieci secondi. Sentirete allungare i polpacci. Ripetete una ventina di volte, alternando le gambe.
- Stretching della fascia plantare. Da eseguire sempre la mattina, prima di alzarsi dal letto. Incrociate il piede sopra il ginocchio dell’altra gamba. Afferrate le dita del piede e spingetele delicatamente verso di voi. Mantenete la posizione per una decina di secondi, quindi tornate alla posizione iniziale. Ripetete per venti volte, quindi cambiate piede.
Leggete anche: Come curare lesioni e malattie delle dita dei piedi
Scarpe che possono causare la spina calcaneare

Innanzitutto, è importante che le scarpe siano comode e della vostra misura. Un buon momento per acquistarle è il tardo pomeriggio o dopo il lavoro, quando i piedi sono più gonfi.
Per provarle indossate un paio di calze simili a quelle che utilizzate solitamente. Fate qualche passo nel negozio, accertatevi che le dita dei piedi abbiano un po’ di movimento e che nella scarpa non ci siano parti che diano fastidio, tocchino o stringano troppo il piede.
Cercate di indossare scarpe con i tacchi solo se necessario. Se siete obbligate ad andare in ufficio con una scarpa di questo tipo, potete metterle in una borsa e indossarle prima di entrare a lavoro. Quando vi spostate o siete in pausa pranzo, sostituitele con un paio di scarpe più comode.
Se già vi è stata diagnosticata una spina calcaneare chiedete al medico se sia il caso di utilizzare qualche ausilio ortopedico, ad esempio, plantari per i talloni, solette su misura, cuscinetti ortopedici o altro.
Questo testo è fornito solo a scopo informativo e non sostituisce la consultazione con un professionista. In caso di dubbi, consulta il tuo specialista.







