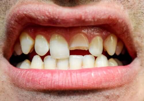
Trauma dentale: definizione e diversi tipi


Scritto e verificato l'odontoiatra Vanesa Evangelina Buffa
Un trauma dentale è molto comune durante l’infanzia e l’adolescenza, ma può succedere anche da adulti. In effetti, dopo le carie, è il secondo motivo per cui si richiede un consulto odontoiatrico.
Nello specifico, si tratta di una lesione ai denti e i tessuti che li circondano a causa di un urto o un trauma. La persona si ritrova ad affrontare conseguenze di natura estetica, ma anche legate alla masticazione e al linguaggio.
Agire nel più breve tempo possibile e con risolutezza, non appena si verifica il trauma dentale è determinante per una prognosi migliore.
In questo articolo spieghiamo come si verificano questi traumi, quali tipi esistono e come vanno trattati. Oltre a ciò, scopriremo cosa possiamo fare per ridurre il rischio di subire un urto sulla bocca.
Fattori di rischio del trauma dentale
Sbattere la bocca contro qualcosa al punto da subire un trauma dentale può capitare in qualsiasi momento e a qualunque età. Tuttavia, alcuni fattori aumentano le probabilità:
- Muovere i primi passi. Quando il bambino impara a spostarsi da solo non ha ancora il totale controllo del proprio equilibrio ed è facile che cada. Sbattere la bocca contro mobili bassi, inciampare sui tappeti o su altri oggetti, cadere dal girello sono tutte situazioni che possono causare un trauma dentale.
- Giochi fra bambini. Giocare con foga, lanciarsi oggetti, cadere dall’altalena, dalla bici, dai pattini e dallo skateboard.
- Sport. Alcuni sport, soprattutto da contatto, espongono a lesioni dentali.
- Incidenti automobilistici. Si tratta di una delle cause di un trauma dentale a qualsiasi età.
- Maltrattamento fisico. La letteratura scientifica considera la violenza sui bambini una delle cause delle lesioni a bocca e denti.
Ulteriori cause di un trauma dentale
- Fare la lotta. Anche i litigi che culminano in aggressioni fisiche sono un fattore che predispone alle lesioni dentali.
- Condizioni cliniche. Ovvero, soggetti con disturbi motori, attacchi epilettici, disturbi dell’attenzione o iperattività sono più soggetti ai traumi alla bocca.
- Avere una dipendenza. Le persone con problemi di alcolismo e dipendenza da stupefacenti sono più a rischio di traumi dentali.
- Condizioni cliniche del cavo orale. La morfologia facciale e orale fa sì che alcuni individui siano più a soggetti alle lesioni dentali quando sbattono. Alcuni tipi di malocclusione, incisivi superiori più sporgenti a causa della suzione del dito, ma anche l’uso prolungato del ciuccio o del biberon, respirazione con la bocca o il labbro corto sono tutte condizioni che predispongono i denti a lesioni.
Potrebbe interessarvi anche: La malocclusione dentale: cos’è e come si cura?
Tipo di traumi dentali
Un trauma dentale si può manifestare in diversi modi, può coinvolgere tessuti di diversa natura e può manifestarsi a diversi livelli di gravità. I denti che hanno subito il trauma, inoltre, possono essere quelli definitivi o da latte, e da quest’ultimo punto dipenderà il trattamento scelto. A seguire, faremo una distinzione tra i diversi tipi di trauma dentale a seconda del tessuto coinvolto.
Trauma della corona dentale
In questo caso, il trauma compromette la parte visibile del dente. A sua volta, in base ai tessuti interessati, possiamo distinguere i seguenti tipi di frattura coronale:
- Incompleta o infrazione dello smalto: la linea della frattura non arriva a intaccare la giunzione amelo-dentinale o si arresta non appena raggiunta. Di conseguenza, ne soffre solo lo smalto, senza alcun coinvolgimento della dentina.
Si può osservare una piccola fessura sullo smalto e non c’è perdita di tessuto dentario, per cui non è facile percepire questo trauma a occhio nudo. Il dentista potrà diagnosticarlo attraverso la transilluminazione e potrà procedere con il trattamento opportuno.
- Non complicata o amelo-dentinale senza esposizione pulpare. In questo caso avviene perdita di tessuto dentale e la lesione compromette o solo lo smalto o lo smalto e la dentina ma senza raggiungere il tessuto pulpare.
- Complicata o con esposizione pulpare. In questo secondo caso la perdita di tessuto riguarda sia lo smalto che la dentina ed è profondo al punto da comportare l’esposizione pulpare.

Trauma della radice del dente
In questi casi la parte della radice del dente ubicata all’interno dell’osso viene danneggiata dal trauma. Possiamo distinguere due tipi a seconda della parte in cui si verifica la lesione:
- Frattura radicolare alveolare: in questi casi la frattura interessa la radice del dente, con particolare incidenza sul terzo coronale, medio o apicale. Può essere orizzontale o verticale.
- Frattura corono-radicolare: coinvolge sia la corona sia la radice del dente. Può esserci esposizione pulpare o meno e i tessuti colpiti sono lo smalto, la dentina e il cemento radicolare.
Trauma dei tessuti parodontali
I traumi del cavo orale possono coinvolgere anche i tessuti che proteggono e sostengono i denti. A seguire, analizzeremo in dettaglio i disturbi del tessuto paradontale:
- Sublussazione: con trauma delle fibre paradontali che sostengono il dente, che tuttavia rimane al suo posto, all’interno dell’alveolo. Non si verifica migrazione del dente, bensì instabilità e sanguinamento interno.
- Lussazione laterale. Questo tipo prevede il danno del tessuto parodontale, con mobilità del dente e spostamento in avanti o indietro. In genere, in questi casi si verifica anche la frattura dell’osso alveolare.
- Estrusione: il danno parodontale comporta un allentamento del dente, che migra parzialmente verso l’esterno dell’alveolo. Oltrepassa anche il confine di occlusione rispetto ai denti limitrofi.
Inoltre…
- Intrusione. Si verifica qui la migrazione apicale del dente verso l’interno dell’osso alveolare. L’elemento dentario appare sprofondato nel tessuto osseo. Il danno coinvolge il legamento parodontale e il cemento radicolare. In genere, si verifica qui una frattura dell’alveolo, oltre a un’interruzione dell’afflusso neurovascolare alla polpa.
- Avulsione dentale. Questo è il quadro clinico più complicato e grave. In questo caso l’elemento dentario viene espulso del tutto dall’alverolo. In alcuni casi viene espulso del tutto dalla bocca. Quando questo trauma colpisce un dente definitivo sarà necessario trovare il dente e conservarlo in un ambiente adatto, per poi correre immediatamente dal dentista, in modo che possa riposizionarlo nella bocca.
Trauma osseo
Un danno al cavo orale può provocare una frattura dell’osso alveolare. Questo tipo di lesione coinvolge solo il tessuto osseo oppure può aggiungersi alle lesioni che abbiamo descritto.
Gli elementi dentari che presentano frattura alveolare in genere si muovono in blocco, con l’intero tessuto circostante. Ci sono poi traumi più gravi, in cui vengono compromesse le ossa della mascella o del volto.
Trauma dentale: diagnosi e trattamento
A seguito di un trauma dentale la cosa più giusta da fare è rivolgersi al dentista il prima possibile. Intervenire immediatamente sulla lesione determina una prognosi migliore e contribuisce al successo dell’intervento stesso.
Lo specialista si occuperà di esaminare e palpare la parte colpita, eseguirà delle radiografie, farà una valutazione dei tessuti molli e di quelli duri; inoltre, analizzerà la mobilità del dente, la sua vitalità e stabilirà il trattamento più indicato di caso in caso.
La terapia scelta dipenderà anche dal tipo di dente colpito: è definitivo o è un dente da latte? Vediamo alcuni degli approcci terapeutici più spesso prescritti.
Trattamento dei tessuti molli
Un trauma del cavo orale non riguarda solo gli elementi dentari; in genere coinvolge i tessuti molli, come labbra, lingua e guance.
Una volta accolto il paziente, il dentista esaminerà tutte le parti colpite. I tessuti della bocca sanguinano facilmente e spesso, per cui il professionista li pulirà ed eserciterà una certa pressione per bloccare il sanguinamento. In alcuni casi possono essere necessari dei punti di sutura.
Applicazione locale di fluoro
Se il trauma dentale coinvolge solo lo smalto verranno ripuliti solo i bordi della zona colpita per evitare sfregamenti dei tessuti molli. Inoltre, l’applicazione del fluoro protegge il tessuto adamantino della superficie del dente.
Ricostruzione della corona
Se il trauma dentale ha provocato la perdita di tessuti della corona dentale, allora bisognerà ricostruirla. La ricostruzione andrà eseguita sia sui denti da latte che su quelli definitivi. In genere viene utilizzato un impasto a base di materiale estetico, che calca la forma e l’anatomia originali dell’elemento dentario.
Se il paziente ha conservato il frammento di dente perso e se si tratta di un dente definitivo, allora lo specialista proverà a riattaccarlo al dente fratturato.
Protezione della polpa dentale e devitalizzazione a seguito di un trauma dentale
Quando la frattura non compromette solo smalto e dentina, bensì anche la polpa, questa va trattata in modo particolare. Il trattamento dipenderà della dentizione (da latte o definitiva), dall’estensione della frattura e, in caso di dentizione definitiva, dal fatto che l’apice della radice sia aperto o si sia chiuso.
Nel caso degli elementi da latte, lo specialista valuterà quanto tempo resta al dente nella bocca, se l’esfoliazione è imminente allora è preferibile estrarre il dente e attendere l’eruzione di quello definitivo. Se invece ci vuole ancora tanto tempo per la sostituzione naturale del dente, allora viene applicata una protezione della polpa di tipo conservativo.
Nel caso dei denti definitivi, se il fondo della radice non si è chiusa, allora vengono applicate sostanze particolari per stimolare la chiusura apicale. Se invece l’elemento dentario è completo, allora si procede con la devitalizzazione (o trattamento di endodonzia).
A questo punto, si procede con la ricostruzione della corona per restituire all’elemento dentario l’anatomia andata perduta. In caso di una perdita di tessuto importante, si può procedere utilizzando delle capsule.
Riposizionamento dell’elemento dentario e immobilizzazione con ferule
Se i denti definitivi sono stati colpiti da una frattura radicolare, da frattura dell’osso alveolare, lussazioni o da estrusioni o se è presente una certa mobilità dell’elemento dentario, allora il suo alveolo andrà riposizionato. A questo scopo, il dentista anestetizza la zona e con il supporto delle radiografie, riposizionerà il dente rimettendolo al suo posto.
A questo punto lo immobilizzerà con una ferula di fili e resina adatta a tenere fermo il dente in posizione fino alla guarigione dei tessuti di sostegno.
Evitare il contatto occlusale e attuare delle misure postoperatorie è necessario per evitare complicazioni e per contribuire al recupero. Inoltre, andranno eseguiti dei controlli periodici e saranno necessari trattamenti da applicare sulla polpa.
Se i problemi descritti coinvolgono denti da latte, allora andrà fatta una valutazione dei danni del germe definitivo sottostante e, in genere, l’opzione più valida che viene considerata è una eventuale estrazione.
In caso di estrazione dell’elemento dentario e nel caso in cui ci voglia tempo per l’eruzione del dente definitivo, allora si procede con l’applicazione di mantenitore di spazio per assicurare che il dente futuro ne trovi uno.
Aspettare o stimolare l’eruzione dentale
Questo dubbio nasce nei casi in cui si manifesta intrusione dentale. Le radiografie, in effetti, sono fondamentali per osservare la posizione del dente all’interno dell’osso e la sua interazione con le altre strutture.
Se si tratta di un dente da latte andrà valutato il danno subito dal germe del dente definitivo che è in fase di formazione all’interno dell’osso. Nel caso in cui sia stato danneggiato, allora bisognerà estrarre il dente da latte. Se invece non c’è traccia di danno al dente definitivo o se si parla di un elemento permanente, allora si può attendere che sia l’organismo stesso a provocare l’espulsione spontanea.
Nel caso degli elementi definiti, se l’elemento non scende da sé, allora si può riposizionare sotto anestesia e poi si può applicare la ferula, come già spiegato. Oppure, si può procedere abbassando il dente mediante ortodonzia. Sarà necessario il trattamento endodontico dell’elemento dentale.

Reimpianto del dente
Nel caso in cui un elemento dentario definitivo sia stato espulso dalla bocca, l’obiettivo è rimetterlo al suo posto e procedere con trattamento conservativo. Non va mai ripristinato un dente da latte espulso, perché il rischio è di danneggiare l’elemento definitivo in fase di formazione all’interno dell’osso. In questi casi è attesa l’eruzione del dente permanente e se ci vuole ancora del tempo, allora andrà posizionato un mantenitore di spazio, in modo da conservare il posto al dente.
Per riposizionare l’elemento dentario all’interno del suo alveolo è fondamentale che il paziente trovi l’elemento espulso e corra dal dentista quanto prima.
Una volta trovato il dente sarà necessario evitare di toccare la parte della radice; bisognerà lavarlo per qualche secondo sotto il getto di acqua, senza strofinarlo. Quindi, andrà spostato in un bicchiere con del latte, con acqua distillata e, se non è possibile, nella bocca del paziente (facendo attenzione che non lo inghiotta).
Non appena il paziente si presenta dal dentista, sarà lo specialista a riposizionare l’elemento dentario al suo posto, dopo aver anestetizzato la parte. Procederà alla saldatura con le ferule, in modo da stimolare la sua reintegrazione all’interno della cavità orale.
L’elemento andrà limato per evitare che strofini con gli altri denti. Il paziente dovrà, inoltre, seguire una dieta liquido e sottoporsi a controlli periodici per monitorare il processo di recupero. Inoltre, dovrà sottoporsi a endodonzia e assicurarsi di essere vaccinato contro il tetano.
Ulteriori misure da adottare
Intervenire sui sintomi con antinfiammatori e antibiotici laddove necessario è fondamentale per la guarigione dei tessuti e perché i trattamenti abbiano successo. Seguire una dieta a base di liquidi e cibi freschi calma l’infiammazione e accelera la guarigione.
Inoltre, è importante monitorare la situazione e controllare la parte interessata dal trauma. Se la gengiva si infiamma, se compare pus o se il dente cambia colore, non esitate a consultare il dentista.
Leggete anche: 9 consigli per prendersi cura dei denti
Come prevenire un trauma dentale
Molto spesso è praticamente impossibile prevenire traumi del cavo orale, ma mettere in pratica alcuni accorgimenti può aiutare a ridurre il rischio:
- Creare un ambiente sicuro per i bambini piccoli ed evitare che usi il girello.
- Evitare giochi violenti.
- Usare un paradenti quando si pratica sport o se si va in bicicletta o sui pattini.
- Allacciare la cintura di sicurezza quando si viaggia.
Infine, come già detto, a seguito di un trauma dentale, agire con sangue freddo, calma e in fretta può fare la differenza. Rivolgersi al dentista tempestivamente aiuta a ripristinare i p
Un trauma dentale è molto comune durante l’infanzia e l’adolescenza, ma può succedere anche da adulti. In effetti, dopo le carie, è il secondo motivo per cui si richiede un consulto odontoiatrico.
Nello specifico, si tratta di una lesione ai denti e i tessuti che li circondano a causa di un urto o un trauma. La persona si ritrova ad affrontare conseguenze di natura estetica, ma anche legate alla masticazione e al linguaggio.
Agire nel più breve tempo possibile e con risolutezza, non appena si verifica il trauma dentale è determinante per una prognosi migliore.
In questo articolo spieghiamo come si verificano questi traumi, quali tipi esistono e come vanno trattati. Oltre a ciò, scopriremo cosa possiamo fare per ridurre il rischio di subire un urto sulla bocca.
Fattori di rischio del trauma dentale
Sbattere la bocca contro qualcosa al punto da subire un trauma dentale può capitare in qualsiasi momento e a qualunque età. Tuttavia, alcuni fattori aumentano le probabilità:
- Muovere i primi passi. Quando il bambino impara a spostarsi da solo non ha ancora il totale controllo del proprio equilibrio ed è facile che cada. Sbattere la bocca contro mobili bassi, inciampare sui tappeti o su altri oggetti, cadere dal girello sono tutte situazioni che possono causare un trauma dentale.
- Giochi fra bambini. Giocare con foga, lanciarsi oggetti, cadere dall’altalena, dalla bici, dai pattini e dallo skateboard.
- Sport. Alcuni sport, soprattutto da contatto, espongono a lesioni dentali.
- Incidenti automobilistici. Si tratta di una delle cause di un trauma dentale a qualsiasi età.
- Maltrattamento fisico. La letteratura scientifica considera la violenza sui bambini una delle cause delle lesioni a bocca e denti.
Ulteriori cause di un trauma dentale
- Fare la lotta. Anche i litigi che culminano in aggressioni fisiche sono un fattore che predispone alle lesioni dentali.
- Condizioni cliniche. Ovvero, soggetti con disturbi motori, attacchi epilettici, disturbi dell’attenzione o iperattività sono più soggetti ai traumi alla bocca.
- Avere una dipendenza. Le persone con problemi di alcolismo e dipendenza da stupefacenti sono più a rischio di traumi dentali.
- Condizioni cliniche del cavo orale. La morfologia facciale e orale fa sì che alcuni individui siano più a soggetti alle lesioni dentali quando sbattono. Alcuni tipi di malocclusione, incisivi superiori più sporgenti a causa della suzione del dito, ma anche l’uso prolungato del ciuccio o del biberon, respirazione con la bocca o il labbro corto sono tutte condizioni che predispongono i denti a lesioni.
Potrebbe interessarvi anche: La malocclusione dentale: cos’è e come si cura?
Tipo di traumi dentali
Un trauma dentale si può manifestare in diversi modi, può coinvolgere tessuti di diversa natura e può manifestarsi a diversi livelli di gravità. I denti che hanno subito il trauma, inoltre, possono essere quelli definitivi o da latte, e da quest’ultimo punto dipenderà il trattamento scelto. A seguire, faremo una distinzione tra i diversi tipi di trauma dentale a seconda del tessuto coinvolto.
Trauma della corona dentale
In questo caso, il trauma compromette la parte visibile del dente. A sua volta, in base ai tessuti interessati, possiamo distinguere i seguenti tipi di frattura coronale:
- Incompleta o infrazione dello smalto: la linea della frattura non arriva a intaccare la giunzione amelo-dentinale o si arresta non appena raggiunta. Di conseguenza, ne soffre solo lo smalto, senza alcun coinvolgimento della dentina.
Si può osservare una piccola fessura sullo smalto e non c’è perdita di tessuto dentario, per cui non è facile percepire questo trauma a occhio nudo. Il dentista potrà diagnosticarlo attraverso la transilluminazione e potrà procedere con il trattamento opportuno.
- Non complicata o amelo-dentinale senza esposizione pulpare. In questo caso avviene perdita di tessuto dentale e la lesione compromette o solo lo smalto o lo smalto e la dentina ma senza raggiungere il tessuto pulpare.
- Complicata o con esposizione pulpare. In questo secondo caso la perdita di tessuto riguarda sia lo smalto che la dentina ed è profondo al punto da comportare l’esposizione pulpare.

Trauma della radice del dente
In questi casi la parte della radice del dente ubicata all’interno dell’osso viene danneggiata dal trauma. Possiamo distinguere due tipi a seconda della parte in cui si verifica la lesione:
- Frattura radicolare alveolare: in questi casi la frattura interessa la radice del dente, con particolare incidenza sul terzo coronale, medio o apicale. Può essere orizzontale o verticale.
- Frattura corono-radicolare: coinvolge sia la corona sia la radice del dente. Può esserci esposizione pulpare o meno e i tessuti colpiti sono lo smalto, la dentina e il cemento radicolare.
Trauma dei tessuti parodontali
I traumi del cavo orale possono coinvolgere anche i tessuti che proteggono e sostengono i denti. A seguire, analizzeremo in dettaglio i disturbi del tessuto paradontale:
- Sublussazione: con trauma delle fibre paradontali che sostengono il dente, che tuttavia rimane al suo posto, all’interno dell’alveolo. Non si verifica migrazione del dente, bensì instabilità e sanguinamento interno.
- Lussazione laterale. Questo tipo prevede il danno del tessuto parodontale, con mobilità del dente e spostamento in avanti o indietro. In genere, in questi casi si verifica anche la frattura dell’osso alveolare.
- Estrusione: il danno parodontale comporta un allentamento del dente, che migra parzialmente verso l’esterno dell’alveolo. Oltrepassa anche il confine di occlusione rispetto ai denti limitrofi.
Inoltre…
- Intrusione. Si verifica qui la migrazione apicale del dente verso l’interno dell’osso alveolare. L’elemento dentario appare sprofondato nel tessuto osseo. Il danno coinvolge il legamento parodontale e il cemento radicolare. In genere, si verifica qui una frattura dell’alveolo, oltre a un’interruzione dell’afflusso neurovascolare alla polpa.
- Avulsione dentale. Questo è il quadro clinico più complicato e grave. In questo caso l’elemento dentario viene espulso del tutto dall’alverolo. In alcuni casi viene espulso del tutto dalla bocca. Quando questo trauma colpisce un dente definitivo sarà necessario trovare il dente e conservarlo in un ambiente adatto, per poi correre immediatamente dal dentista, in modo che possa riposizionarlo nella bocca.
Trauma osseo
Un danno al cavo orale può provocare una frattura dell’osso alveolare. Questo tipo di lesione coinvolge solo il tessuto osseo oppure può aggiungersi alle lesioni che abbiamo descritto.
Gli elementi dentari che presentano frattura alveolare in genere si muovono in blocco, con l’intero tessuto circostante. Ci sono poi traumi più gravi, in cui vengono compromesse le ossa della mascella o del volto.
Trauma dentale: diagnosi e trattamento
A seguito di un trauma dentale la cosa più giusta da fare è rivolgersi al dentista il prima possibile. Intervenire immediatamente sulla lesione determina una prognosi migliore e contribuisce al successo dell’intervento stesso.
Lo specialista si occuperà di esaminare e palpare la parte colpita, eseguirà delle radiografie, farà una valutazione dei tessuti molli e di quelli duri; inoltre, analizzerà la mobilità del dente, la sua vitalità e stabilirà il trattamento più indicato di caso in caso.
La terapia scelta dipenderà anche dal tipo di dente colpito: è definitivo o è un dente da latte? Vediamo alcuni degli approcci terapeutici più spesso prescritti.
Trattamento dei tessuti molli
Un trauma del cavo orale non riguarda solo gli elementi dentari; in genere coinvolge i tessuti molli, come labbra, lingua e guance.
Una volta accolto il paziente, il dentista esaminerà tutte le parti colpite. I tessuti della bocca sanguinano facilmente e spesso, per cui il professionista li pulirà ed eserciterà una certa pressione per bloccare il sanguinamento. In alcuni casi possono essere necessari dei punti di sutura.
Applicazione locale di fluoro
Se il trauma dentale coinvolge solo lo smalto verranno ripuliti solo i bordi della zona colpita per evitare sfregamenti dei tessuti molli. Inoltre, l’applicazione del fluoro protegge il tessuto adamantino della superficie del dente.
Ricostruzione della corona
Se il trauma dentale ha provocato la perdita di tessuti della corona dentale, allora bisognerà ricostruirla. La ricostruzione andrà eseguita sia sui denti da latte che su quelli definitivi. In genere viene utilizzato un impasto a base di materiale estetico, che calca la forma e l’anatomia originali dell’elemento dentario.
Se il paziente ha conservato il frammento di dente perso e se si tratta di un dente definitivo, allora lo specialista proverà a riattaccarlo al dente fratturato.
Protezione della polpa dentale e devitalizzazione a seguito di un trauma dentale
Quando la frattura non compromette solo smalto e dentina, bensì anche la polpa, questa va trattata in modo particolare. Il trattamento dipenderà della dentizione (da latte o definitiva), dall’estensione della frattura e, in caso di dentizione definitiva, dal fatto che l’apice della radice sia aperto o si sia chiuso.
Nel caso degli elementi da latte, lo specialista valuterà quanto tempo resta al dente nella bocca, se l’esfoliazione è imminente allora è preferibile estrarre il dente e attendere l’eruzione di quello definitivo. Se invece ci vuole ancora tanto tempo per la sostituzione naturale del dente, allora viene applicata una protezione della polpa di tipo conservativo.
Nel caso dei denti definitivi, se il fondo della radice non si è chiusa, allora vengono applicate sostanze particolari per stimolare la chiusura apicale. Se invece l’elemento dentario è completo, allora si procede con la devitalizzazione (o trattamento di endodonzia).
A questo punto, si procede con la ricostruzione della corona per restituire all’elemento dentario l’anatomia andata perduta. In caso di una perdita di tessuto importante, si può procedere utilizzando delle capsule.
Riposizionamento dell’elemento dentario e immobilizzazione con ferule
Se i denti definitivi sono stati colpiti da una frattura radicolare, da frattura dell’osso alveolare, lussazioni o da estrusioni o se è presente una certa mobilità dell’elemento dentario, allora il suo alveolo andrà riposizionato. A questo scopo, il dentista anestetizza la zona e con il supporto delle radiografie, riposizionerà il dente rimettendolo al suo posto.
A questo punto lo immobilizzerà con una ferula di fili e resina adatta a tenere fermo il dente in posizione fino alla guarigione dei tessuti di sostegno.
Evitare il contatto occlusale e attuare delle misure postoperatorie è necessario per evitare complicazioni e per contribuire al recupero. Inoltre, andranno eseguiti dei controlli periodici e saranno necessari trattamenti da applicare sulla polpa.
Se i problemi descritti coinvolgono denti da latte, allora andrà fatta una valutazione dei danni del germe definitivo sottostante e, in genere, l’opzione più valida che viene considerata è una eventuale estrazione.
In caso di estrazione dell’elemento dentario e nel caso in cui ci voglia tempo per l’eruzione del dente definitivo, allora si procede con l’applicazione di mantenitore di spazio per assicurare che il dente futuro ne trovi uno.
Aspettare o stimolare l’eruzione dentale
Questo dubbio nasce nei casi in cui si manifesta intrusione dentale. Le radiografie, in effetti, sono fondamentali per osservare la posizione del dente all’interno dell’osso e la sua interazione con le altre strutture.
Se si tratta di un dente da latte andrà valutato il danno subito dal germe del dente definitivo che è in fase di formazione all’interno dell’osso. Nel caso in cui sia stato danneggiato, allora bisognerà estrarre il dente da latte. Se invece non c’è traccia di danno al dente definitivo o se si parla di un elemento permanente, allora si può attendere che sia l’organismo stesso a provocare l’espulsione spontanea.
Nel caso degli elementi definiti, se l’elemento non scende da sé, allora si può riposizionare sotto anestesia e poi si può applicare la ferula, come già spiegato. Oppure, si può procedere abbassando il dente mediante ortodonzia. Sarà necessario il trattamento endodontico dell’elemento dentale.

Reimpianto del dente
Nel caso in cui un elemento dentario definitivo sia stato espulso dalla bocca, l’obiettivo è rimetterlo al suo posto e procedere con trattamento conservativo. Non va mai ripristinato un dente da latte espulso, perché il rischio è di danneggiare l’elemento definitivo in fase di formazione all’interno dell’osso. In questi casi è attesa l’eruzione del dente permanente e se ci vuole ancora del tempo, allora andrà posizionato un mantenitore di spazio, in modo da conservare il posto al dente.
Per riposizionare l’elemento dentario all’interno del suo alveolo è fondamentale che il paziente trovi l’elemento espulso e corra dal dentista quanto prima.
Una volta trovato il dente sarà necessario evitare di toccare la parte della radice; bisognerà lavarlo per qualche secondo sotto il getto di acqua, senza strofinarlo. Quindi, andrà spostato in un bicchiere con del latte, con acqua distillata e, se non è possibile, nella bocca del paziente (facendo attenzione che non lo inghiotta).
Non appena il paziente si presenta dal dentista, sarà lo specialista a riposizionare l’elemento dentario al suo posto, dopo aver anestetizzato la parte. Procederà alla saldatura con le ferule, in modo da stimolare la sua reintegrazione all’interno della cavità orale.
L’elemento andrà limato per evitare che strofini con gli altri denti. Il paziente dovrà, inoltre, seguire una dieta liquido e sottoporsi a controlli periodici per monitorare il processo di recupero. Inoltre, dovrà sottoporsi a endodonzia e assicurarsi di essere vaccinato contro il tetano.
Ulteriori misure da adottare
Intervenire sui sintomi con antinfiammatori e antibiotici laddove necessario è fondamentale per la guarigione dei tessuti e perché i trattamenti abbiano successo. Seguire una dieta a base di liquidi e cibi freschi calma l’infiammazione e accelera la guarigione.
Inoltre, è importante monitorare la situazione e controllare la parte interessata dal trauma. Se la gengiva si infiamma, se compare pus o se il dente cambia colore, non esitate a consultare il dentista.
Leggete anche: 9 consigli per prendersi cura dei denti
Come prevenire un trauma dentale
Molto spesso è praticamente impossibile prevenire traumi del cavo orale, ma mettere in pratica alcuni accorgimenti può aiutare a ridurre il rischio:
- Creare un ambiente sicuro per i bambini piccoli ed evitare che usi il girello.
- Evitare giochi violenti.
- Usare un paradenti quando si pratica sport o se si va in bicicletta o sui pattini.
- Allacciare la cintura di sicurezza quando si viaggia.
Infine, come già detto, a seguito di un trauma dentale, agire con sangue freddo, calma e in fretta può fare la differenza. Rivolgersi al dentista tempestivamente aiuta a ripristinare i p
Tutte le fonti citate sono state esaminate a fondo dal nostro team per garantirne la qualità, l'affidabilità, l'attualità e la validità. La bibliografia di questo articolo è stata considerata affidabile e di precisione accademica o scientifica.
- García Ballesta, Carlos, Leonor Pérez Lajarín, and Isabel Castejón Navas. “Prevalencia y etiología de los traumatismos dentales: Una revisión.” RCOe 8.2 (2003): 131-141.
- Sánchez, Tamara Batista, et al. “Traumatismos dentarios en niños y adolescentes.” Correo Científico Médico de Holguín 20.4 (2016): 741-756.
- Leyva Infante, Maite, et al. “El traumatismo dental como urgencia estomatológica: a stomatologic emergency.” Correo Científico Médico 22.1 (2018): 66-78.
- Pasarón Pérez, María Victoria, et al. “Nivel de conocimientos en pacientes con traumatismo dental.” Revista Médica Electrónica 39.1 (2017): 24-32.
- Oliveira-del Río, Juan A., Alcira M. Alvarado-Solórzano, and Betty E. Guanotoa-Lincango. “Características de traumatismo dental en niños de 5-13 años de edad.” Polo del Conocimiento 3.5 (2018): 150-159.
- Torres Silva, María del Carmen, et al. “Factores predisponentes de trauma dental en escolares del municipio Rafael Freyre.” Correo Científico Médico 21.3 (2017): 798-808.
- Zaldivar, Héctor Andrés Naranjo. “Traumatismos dentarios: un acercamiento imprescindible.” 16 de Abril 56.265 (2017): 113-118.
- ENDODONCIA, EN. ABORDAJE CLÍNICO DE TRAUMATISMOS DENTARIOS LUXACIÓN LATERAL Y FRACTURA RADICULAR. Diss. UNIVERSIDAD NACIONAL DE CUYO, 2020.
- SALVATORE, OD ANA CARLA. “Avulsión dentaria. Tratamiento y seguimiento a 9 años. A propósito de un caso clínico.”
- VALLEJO, ERICA DAYANA QUITO. “MANEJO CLÍNICO DE DIENTE PERMANENTE AVULSIONADO. REPORTE DE CASO.” Odontología Activa Revista Científica 4.3 (2019): 47-52.
- Duarte, Luis A. Jeffers. “Reimplante Dentario en Diente Avulsionado. Presentación de un Caso.” Revista Científica Hallazgos21 2.3 (2017).
- Luján, Gabriela, and Gabriela Gioino. “Traumatismos dentarios.”
Questo testo è fornito solo a scopo informativo e non sostituisce la consultazione con un professionista. In caso di dubbi, consulta il tuo specialista.







