Atelettasia polmonare: sintomi e cause

Il termine atelettasia polmonare, dal greco ἀτελής “imperfetto” e ἔκτασις “dilatazione”, descrive un disturbo nel quale parte del polmone risulta priva di aria e, pertanto, collassa.
Può interessare l’intero polmone o solo una parte (lobo). Generalmente è causata da un’ostruzione delle vie aeree o da una pressione esterna al polmone, motivo per cui gli alveoli si sgonfiano o si riempiono di liquido.
Rappresenta una complicazione frequente di alcuni problemi respiratori. Può verificarsi, per esempio, in seguito a fibrosi cistica, tumore del polmone, interventi chirurgici toracici e così via. L’atelettasia polmonare può manifestarsi anche come conseguenza dell’inalazione di un corpo estraneo.
Questa condizione può causare diversi problemi respiratori. Nelle prossime righe spieghiamo nel dettaglio in cosa consiste, quali sono i sintomi e le cause. Continuate a leggere!
Sintomi dell’atelettasia polmonare

L’atelettasia polmonare potrebbe non manifestare alcun sintomo evidente. Quando interessa una piccola porzione del polmone o si sviluppa lentamente, i sintomi possono risultare impercettibili.
Al contrario, quando interessa diversi alveoli o il decorso è rapido, l’individuo accusa gravi sintomi. Tra questi vi sono:
- Difficoltà respiratorie.
- Respirazione agitata e superficiale.
- Tosse.
- Respiro sibilante.
- Dolore al torace: soprattutto nei casi dovuti a traumi o polmoniti.
- Tachicardia e ipotensione.
- Cianosi dovuta all’ipossiemia, ovvero minore scambio di gas.
Quando la respirazione diventa progressivamente difficoltosa, è fondamentale rivolgersi al medico.
Può interessarvi anche: Malattie respiratorie nel neonato
Cause dell’atelettasia polmonare
L’atelettasia polmonare può essere causata dall’ostruzione dei bronchi o dei bronchioli, ma può anche essere dovuta a una pressione nella parte esterna del polmone.
L’anestesia generale è un’altra causa piuttosto frequente poiché altera il regolare ritmo respiratorio, compromettendo lo scambio dei gas polmonari. In seguito ad anestesia, gli alveoli possono gonfiarsi. Quasi tutte le persone sottoposte a interventi chirurgici maggiori sviluppano un certo grado di atelettasia.
Infine, nel citare le cause più frequenti di atelettasia, occorre distinguere tra atelettasia polmonare ostruttiva e non ostruttiva.
Cause dell’atelettasia ostruttiva
- Corpi estranei: è piuttosto comune nei bambini, i quali tendono a inalare piccoli oggetti, come parti di giocattoli.
- Tappi di muco: consistono in accumuli di muco nelle vie aeree. In genere si manifestano durante gli interventi chirurgici, poiché risulta più difficile espellere il muco, oltre al fatto che molti farmaci impiegati riducono la profondità della respirazione. Questi tappi si riscontrano più facilmente nei pazienti affetti da fibrosi cistica o da asma.
- Tumori: un tumore nelle vie aree ne comporta il restringimento e conseguente ostruzione.
Cause dell’atelettasia non ostruttiva
Le possibili cause includono:
- Traumi: in questi casi il dolore riduce la profondità della respirazione provocando una potenziale compressione dei polmoni.
- Versamento pleurico: consiste in un accumulo di liquido tra la pleura polmonare e l’interno della parete toracica.
- Polmonite.
- Cicatrici nel tessuto polmonare. Lesioni, malattie polmonari o interventi chirurgici possono causare delle cicatrici.
Leggete anche: Rafforzare i polmoni e respirare meglio: 4 rimedi
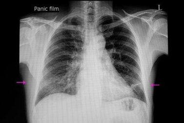
Diagnosi

Per formulare la diagnosi di atelettasia sono in genere sufficienti la valutazione clinica e gli esami radiologici del caso. Tuttavia, è anche possibile impiegare determinate tecniche per confermare la diagnosi o stabilirne la gravità.
Tra questi troviamo la tomografia computerizzata, la broncoscopia, l’ecografia e l’ossimetria. La broncoscopia consente di osservare il tipo di ostruzione e persino di eliminarla.
Trattamento per l’atelettasia polmonare
Il trattamento dipende ovviamente dalla causa. Un lieve episodio di atelettasia può scomparire senza alcun trattamento. Se necessario, invece, troviamo:
- Rimozione dell’ostruzione mediante broncoscopia
- Percussione del torace per fluidificare i tappi di muco.
- Medicinali inalati per l’apertura delle vie aeree. Risultano utili anche i fluidificanti.
- Trattamento del tumore quando presente.
In alcuni casi, si ricorre alla pressione positiva continua delle vie aeree (C-PAP). Essa si rivela utile nei pazienti impossibilitati a tossire e che soffrono di ipossiemia, in genere a seguito di un intervento chirurgico.
Conclusioni
L’atelettasia è un disturbo che può passare del tutto inosservato. Tuttavia, può evolvere in un problema più serio o essere il risultato di una patologia soggiacente. È dunque importane conoscerne le cause e i sintomi per poter stabilire il trattamento più adeguato. In caso di difficoltà respiratorie, è sempre essenziale rivolgersi al medico.
Il termine atelettasia polmonare, dal greco ἀτελής “imperfetto” e ἔκτασις “dilatazione”, descrive un disturbo nel quale parte del polmone risulta priva di aria e, pertanto, collassa.
Può interessare l’intero polmone o solo una parte (lobo). Generalmente è causata da un’ostruzione delle vie aeree o da una pressione esterna al polmone, motivo per cui gli alveoli si sgonfiano o si riempiono di liquido.
Rappresenta una complicazione frequente di alcuni problemi respiratori. Può verificarsi, per esempio, in seguito a fibrosi cistica, tumore del polmone, interventi chirurgici toracici e così via. L’atelettasia polmonare può manifestarsi anche come conseguenza dell’inalazione di un corpo estraneo.
Questa condizione può causare diversi problemi respiratori. Nelle prossime righe spieghiamo nel dettaglio in cosa consiste, quali sono i sintomi e le cause. Continuate a leggere!
Sintomi dell’atelettasia polmonare

L’atelettasia polmonare potrebbe non manifestare alcun sintomo evidente. Quando interessa una piccola porzione del polmone o si sviluppa lentamente, i sintomi possono risultare impercettibili.
Al contrario, quando interessa diversi alveoli o il decorso è rapido, l’individuo accusa gravi sintomi. Tra questi vi sono:
- Difficoltà respiratorie.
- Respirazione agitata e superficiale.
- Tosse.
- Respiro sibilante.
- Dolore al torace: soprattutto nei casi dovuti a traumi o polmoniti.
- Tachicardia e ipotensione.
- Cianosi dovuta all’ipossiemia, ovvero minore scambio di gas.
Quando la respirazione diventa progressivamente difficoltosa, è fondamentale rivolgersi al medico.
Può interessarvi anche: Malattie respiratorie nel neonato
Cause dell’atelettasia polmonare
L’atelettasia polmonare può essere causata dall’ostruzione dei bronchi o dei bronchioli, ma può anche essere dovuta a una pressione nella parte esterna del polmone.
L’anestesia generale è un’altra causa piuttosto frequente poiché altera il regolare ritmo respiratorio, compromettendo lo scambio dei gas polmonari. In seguito ad anestesia, gli alveoli possono gonfiarsi. Quasi tutte le persone sottoposte a interventi chirurgici maggiori sviluppano un certo grado di atelettasia.
Infine, nel citare le cause più frequenti di atelettasia, occorre distinguere tra atelettasia polmonare ostruttiva e non ostruttiva.
Cause dell’atelettasia ostruttiva
- Corpi estranei: è piuttosto comune nei bambini, i quali tendono a inalare piccoli oggetti, come parti di giocattoli.
- Tappi di muco: consistono in accumuli di muco nelle vie aeree. In genere si manifestano durante gli interventi chirurgici, poiché risulta più difficile espellere il muco, oltre al fatto che molti farmaci impiegati riducono la profondità della respirazione. Questi tappi si riscontrano più facilmente nei pazienti affetti da fibrosi cistica o da asma.
- Tumori: un tumore nelle vie aree ne comporta il restringimento e conseguente ostruzione.
Cause dell’atelettasia non ostruttiva
Le possibili cause includono:
- Traumi: in questi casi il dolore riduce la profondità della respirazione provocando una potenziale compressione dei polmoni.
- Versamento pleurico: consiste in un accumulo di liquido tra la pleura polmonare e l’interno della parete toracica.
- Polmonite.
- Cicatrici nel tessuto polmonare. Lesioni, malattie polmonari o interventi chirurgici possono causare delle cicatrici.
Leggete anche: Rafforzare i polmoni e respirare meglio: 4 rimedi
Diagnosi

Per formulare la diagnosi di atelettasia sono in genere sufficienti la valutazione clinica e gli esami radiologici del caso. Tuttavia, è anche possibile impiegare determinate tecniche per confermare la diagnosi o stabilirne la gravità.
Tra questi troviamo la tomografia computerizzata, la broncoscopia, l’ecografia e l’ossimetria. La broncoscopia consente di osservare il tipo di ostruzione e persino di eliminarla.
Trattamento per l’atelettasia polmonare
Il trattamento dipende ovviamente dalla causa. Un lieve episodio di atelettasia può scomparire senza alcun trattamento. Se necessario, invece, troviamo:
- Rimozione dell’ostruzione mediante broncoscopia
- Percussione del torace per fluidificare i tappi di muco.
- Medicinali inalati per l’apertura delle vie aeree. Risultano utili anche i fluidificanti.
- Trattamento del tumore quando presente.
In alcuni casi, si ricorre alla pressione positiva continua delle vie aeree (C-PAP). Essa si rivela utile nei pazienti impossibilitati a tossire e che soffrono di ipossiemia, in genere a seguito di un intervento chirurgico.
Conclusioni
L’atelettasia è un disturbo che può passare del tutto inosservato. Tuttavia, può evolvere in un problema più serio o essere il risultato di una patologia soggiacente. È dunque importane conoscerne le cause e i sintomi per poter stabilire il trattamento più adeguato. In caso di difficoltà respiratorie, è sempre essenziale rivolgersi al medico.
Tutte le fonti citate sono state esaminate a fondo dal nostro team per garantirne la qualità, l'affidabilità, l'attualità e la validità. La bibliografia di questo articolo è stata considerata affidabile e di precisione accademica o scientifica.
- Duggan, M., & Kavanagh, B. P. (2005). Pulmonary atelectasis: a pathogenic perioperative entity. Anesthesiology, 102(4), 838–54. Retrieved from http://www.ncbi.nlm.nih.gov/pubmed/15791115
- Hedenstierna, G., & Edmark, L. (2010, June). Mechanisms of atelectasis in the perioperative period. Best Practice and Research: Clinical Anaesthesiology. https://doi.org/10.1016/j.bpa.2009.12.002
- Magnusson, L. (2003). New concepts of atelectasis during general anaesthesia. British Journal of Anaesthesia, 91(1), 61–72. https://doi.org/10.1093/bja/aeg085
- Schindler, M. B. (2005). Treatment of atelectasis: Where is the evidence? Critical Care, 9(4), 341–342. https://doi.org/10.1186/cc3766
- Peroni, D. G., & Boner, A. L. (2000). Atelectasis: Mechanisms, diagnosis and management. Paediatric Respiratory Reviews, 1(3), 274–278. https://doi.org/10.1054/prrv.2000.0059
Questo testo è fornito solo a scopo informativo e non sostituisce la consultazione con un professionista. In caso di dubbi, consulta il tuo specialista.







