Placca: come eliminarla per migliorare la salute orale

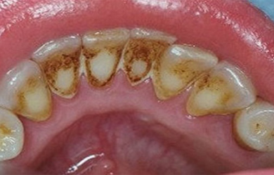
La placca è l’accumulo di residui alimentari sulle superfici interne ed esterne dei denti. Questo disturbo orale può causare alito cattivo e sviluppare altri tipi di problemi, come ad esempio il tartaro, cioè depositi di placca che si indurisce e si calcifica sui denti provocando sanguinamento e alitosi.
Anche se non c’è una soluzione definitiva per impedire lo sviluppo della placca dentale, potete seguire una serie di trattamenti casalinghi per diminuire l’accumulo di questi residui nella bocca.
Innanzitutto, la cosa migliore che potete fare è cambiare il modo di spazzolare i denti. La maggior parte delle persone sfrega lo spazzolino sui denti in maniera orizzontale, da sinistra a destra, ma non sanno che in questa maniera possono aumentare la sensibilità dei denti e il rischio di problemi di mal occlusione.
Spazzolate i denti in senso verticale, prima la parte superiore e poi quella inferiore, in maniera circolare. Terminate la pulizia dei denti passando il filo interdentale per eliminare eventuali residui che si trovano negli spazi interdentali poco accessibili con lo spazzolino.
Una volta terminato, risciacquate la bocca con il collutorio e ricordate di asciugare sempre lo spazzolino dopo averlo lavato dai residui di cibo o di dentifricio.
Nota: Cambiate lo spazzolino almeno quattro volte all’anno e utilizzate un dentifricio che contenga fluoro.
Cambiate la vostra alimentazione
Seguire una dieta sana ed equilibrata è molto importante al fine di rafforzare la salute dei denti. Cercate di evitare il consumo di zuccheri e carboidrati, non bevete bibite gassate o scure e se lo fate, utilizzate una cannuccia in modo da evitare il contatto diretto con i denti.
Non consumate troppi alimenti a base di farine e leganti oppure lavate subito i denti dopo averli mangiati per evitare malattie o infezioni batteriche.
Come prevenire la placca e migliorale la salute e l’igiene della bocca?
I rimedi casalinghi a volte sono piuttosto efficaci quando si tratta di combattere disturbi come la placca dentale, ma è molto importante non esagerare per evitare di compromettere la buona salute dei denti.
Alcuni dei rimedi casalinghi per combattere la placca e migliorare la salute dei denti e della bocca sono:
Le gomme da masticare prevengo la formazione della placca

Leggete anche: L’olio di cocco contro placca, gengivite e alito cattivo
Per alcune persone le gomme da masticare non sono di alcun aiuto, ma recenti studi dimostrano che i chewing gum senza zucchero aiutano a ridurre la produzione di placca sui denti.
È sufficiente masticare una gomma dopo ogni pasto per liberare i denti da residui alimentari che poi verranno eliminati completamente e più facilmente grazie allo spazzolino.
Il bicarbonato di sodio

Quando dovete lavarvi i denti, aggiungete un po’ di bicarbonato di sodio al dentifricio (molto poco). Il bicarbonato di sodio scioglie tutti i residui che si depositano sui denti e aiuta anche a sbiancarli in maniera significativa.
Potete realizzare questo rimedio una volta ogni due settimane prima di andare a dormire, ma ricordate di non esagerare con la quantità di bicarbonato così come con la frequenza di applicazione; in caso contrario otterrete l’effetto opposto.
Il limone

Può interessarvi anche: Rimuovere la placca dentale in modo naturale
Il succo di limone è perfetto per combattere la placca e il tartaro dei denti. L’acidità del limone ha proprietà abrasive che puliscono la bocca in profondità. Il succo di limone, inoltre, dona luminosità ai denti, elimina l’alito cattivo e aiuta a sbiancare i denti.
È sufficiente realizzare questo rimedio una volta alla settimana per diminuire l’accumulo di placca. Facendo attenzione a non esagerare perché potrebbe anche intaccare la salute dei denti.
Non dimenticate…
Esistono pochissimi metodi e rimedi casalinghi per pulire, sbiancare i denti ed evitare malattie che possono compromettere la salute orale. La cosa migliore che potete fare per avere dei denti sani è fissare un appuntamento dall’igienista dentale ogni sei mesi.
Non c’è niente di meglio di una pulizia dei denti professionale per eliminare completamente disturbi fastidiosi e a volte pericolosi come la placca.
Tutte le fonti citate sono state esaminate a fondo dal nostro team per garantirne la qualità, l'affidabilità, l'attualità e la validità. La bibliografia di questo articolo è stata considerata affidabile e di precisione accademica o scientifica.
- Chetruş, V., & Ion, I. R. (2013). Dental plaque–classification, formation and identification. International Journal of Medical Dentistry, 3(2), 139-143. https://www.ijmd.ro/articole/306_306_6%20chetrus.pdf
- PPoyato Ferrera, M. M., Segura-Egea, J. J., Ríos-Santos, J. V., & Bullon, P. (2001). La placa bacteriana: Conceptos básicos para el higienista bucodental. Periodoncia, 11 (2), 149-164. https://idus.us.es/xmlui/handle/11441/39214
- Rosan, B., & Lamont, R. J. (2000). Dental plaque formation. Microbes and infection, 2(13), 1599-1607. https://www.sciencedirect.com/science/article/abs/pii/S1286457900013162
- Touger-Decker, R., & Van Loveren, C. (2003). Sugars and dental caries. The American journal of clinical nutrition, 78(4), 881S-892S. https://academic.oup.com/ajcn/article/78/4/881S/4690063
- Putt, M. S., Milleman, K. R., Ghassemi, A., Vorwerk, L. M., Hooper, W. J., Soparkar, P. M., … & Proskin, H. M. (2008). Enhancement of plaque removal efficacy by tooth brushing with baking soda dentifrices: results of five clinical studies. Journal of Clinical Dentistry, 19(4), 111. https://www.researchgate.net/profile/Mark_Putt/publication/24193167_Enhancement_of_plaque_removal_efficacy_by_tooth_brushing_with_baking_soda_dentifrices_Results_of_five_clinical_studies/links/555b610608ae6aea0816bf4d.pdf
Questo testo è fornito solo a scopo informativo e non sostituisce la consultazione con un professionista. In caso di dubbi, consulta il tuo specialista.