Cosa sono le gengive ritirate e perché si verificano?


Scritto e verificato l'odontoiatra Vanesa Evangelina Buffa
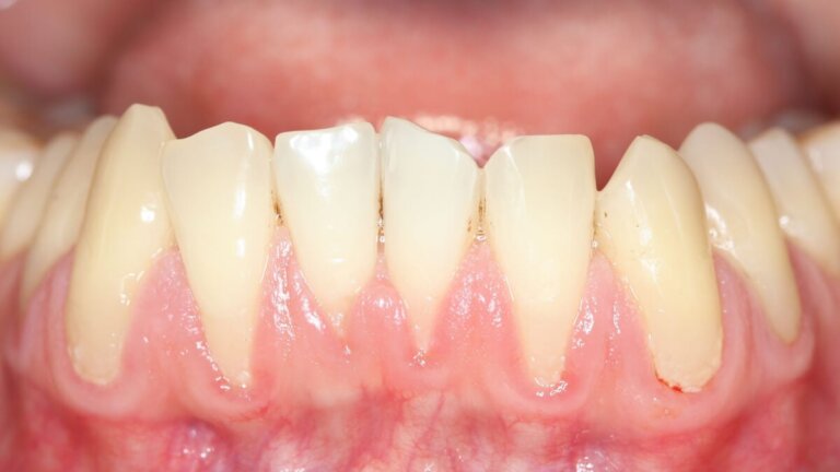
Alcune persone, quando si guardano allo specchio, credono di avere i denti più lunghi del normale. Possono anche notare che il tessuto rosa sopra i denti sembra essere più sottile. È probabile che si tratti di gengive ritirate.
Questa condizione, oltre alle conseguenze estetiche, può compromettere il normale funzionamento della bocca. Ecco perché è importante affrontarla in tempo e con l’aiuto di un dentista.
Cosa sono le gengive ritirate?
La gengiva o tessuto gengivale è la parte morbida, compatta e rosa che circonda il collo dei denti. In altre parole, copre quella che sarebbe la radice degli elementi dentali, che in condizioni normali non possiamo vedere.
Il tessuto gengivale ha la funzione di proteggere l’osso e la radice dentale. Inoltre, conferisce fermezza ai denti in modo che rimangano al loro posto.
Si può parlare di gengiva ritirata o recessione gengivale quando questo tessuto si sposta, lasciando visibile la radice. Secondo una pubblicazione scientifica del 2015, questa condizione espone il legame tra il cemento dentale e lo smalto.
Questo provoca l’effetto di “denti più lunghi”. In realtà, ogni dente ha le stesse misure, solo che ora siamo in grado di notare la radice, che dovrebbe trovarsi sotto la gengiva.
Qual è il problema delle gengive ritirate?
Oltre a incidere sull’estetica e sull’aspetto del sorriso, le gengive ritirate comportano conseguenze fisiche per la salute. In primo luogo, le radici, che dovrebbero essere protette, sono suscettibili all’azione della placca batterica.
Inoltre, la radice è molto sensibile agli stimoli esterni. Più della metà dei pazienti affetti da questo problema presenta spesso sensibilità dentale, soprattutto durante la masticazione o lo spazzolamento.
D’altra parte, il cemento dentale, che è un tessuto che ricopre la superficie delle radici, non è preparato ad affrontare le condizioni esterne. Il disturbo è quindi associato a un aumento del rischio di carie.
La situazione diventa più frequente con l’invecchiamento. A causa della recessione senile, gli adulti più anziani sono più a rischio di sviluppare carie radicolare, cioè carie nelle radici dei denti.
Sintomi comuni
Oltre a notare che i denti appaiono più lunghi o che le gengive sono più spostate verso l’alto o verso il basso, è possibile avvertire alcuni sintomi associati alla recessione, come i seguenti:
- Disagio durante l’alimentazione, dovuto alla sensibilità dei denti ai cibi caldi o freddi.
- Sanguinamento delle gengive, poiché la disposizione del tessuto ne favorisce l’infiammazione e la lesione durante lo spazzolamento.
- Alito cattivo, dovuto alla maggiore presenza di placca batterica. Questo si verifica di solito perché i pazienti spazzolano meno o con una tecnica scorretta, a causa del disagio provocato dalla sensibilità.
Quali sono le cause della recessione gengivale?
Le origini della recessione gengivale sono varie. È persino possibile che una stessa persona combini contemporaneamente diversi fattori di rischio.
Conoscere le cause è importante per trattarle tempestivamente e prevenire le gengive ritirate. Di seguito sono elencate le circostanze più associate a questa condizione.
Gengivite e parodontite
L’infiammazione delle gengive è chiamata gengivite. È legata a una scarsa igiene orale che favorisce l’accumulo di placca batterica e tartaro. Quando questo accumulo è eccessivo, porta all’irritazione del tessuto gengivale.
Allo stesso modo, la parodontite è un’evoluzione della gengivite non trattata in tempo. La placca e il tartaro in eccesso si accumulano e formano “tasche” nei tessuti molli intorno ai denti. Le tasche si riempiono di batteri che avviano un processo di infezione e grave infiammazione.
Con il progredire del processo, i tessuti molli intorno ai denti vengono distrutti. Ciò include anche le gengive, che si ritirano a causa della stessa perdita di sostanza. La conseguenza più grave è la possibilità di perdere gli elementi dentari, che cadono perché non sono adeguatamente supportati.
Tuttavia, può verificarsi anche il processo inverso. La recessione gengivale dovuta ad altre cause può portare a problemi parodontali (gengivite e parodontite).

Fumo
Il fumo influisce sulla salute orale in molti modi. Uno di questi è l’infiammazione delle gengive, a causa delle sostanze tossiche contenute nelle sigarette.
Le persone che fumano sono anche più a rischio di sviluppare gengivite e parodontite. Pertanto, è più frequente che le gengive si ritirino.
Bruxismo
Il bruxismo è lo stringere e il digrignare inconsapevolmente i denti. Le forze meccaniche del serramento sono così potenti da danneggiare il tessuto parodontale. Questa abitudine non solo logora i denti, ma porta anche a gengive ritirate.
Tecnica di spazzolamento inadeguata
Sebbene la mancanza di una buona frequenza di spazzolamento porti alla formazione di placca, poi di gengivite e, forse, di gengive ritirate, è possibile anche il contrario. Una frequenza elevata o uno spazzolamento energico nel contesto di un’ossessione per l’igiene dentale traumatizzano il tessuto gengivale.
Non è consigliabile pulire con una forte pressione dello spazzolino o con movimenti energici che feriscono le gengive. Al contrario, è un fattore di rischio per il danneggiamento e la migrazione del tessuto verso la radice dei denti.
Ortodonzia
Esiste una controversia sull’effettiva influenza dell’ortodonzia sull’aspetto delle gengive ritirate. Sebbene il trattamento da solo non sia in grado di causare la condizione, aumenta il rischio nelle persone con gengive sottili.
Per questo motivo è importante che l’ortodonzia sia eseguita da professionisti certificati ed esperti. In questo modo, lo spostamento dei denti avviene in modo preciso e progressivo, cercando di ridurre al minimo il trauma alle gengive.
Piercing
La moda di indossare gioielli in bocca non è priva di rischi per la salute. Una pubblicazione scientifica dell’International Journal of Dental Hygiene sottolinea che i piercing al labbro e alla lingua sono direttamente associati alla recessione gengivale.
La spiegazione più probabile è che l’attrito dei gioielli contro le gengive sia traumatico. Pertanto, il tessuto si ritrae come meccanismo di difesa.

Esistono trattamenti efficaci per le gengive ritirate?
Le gengive non hanno la capacità di rigenerarsi. Se la recessione gengivale è confermata, il trattamento deve essere guidato da uno specialista in odontoiatria.
L’operatore sanitario stabilirà la causa più probabile del problema. Questa diagnosi sarà la chiave per pianificare un trattamento appropriato e con possibilità di successo.
Ad esempio, se la causa è un gioiello in bocca o uno spazzolamento eccessivo, l’approccio sarà più semplice e richiederà meno tempo, in quanto ci si concentrerà sull’eliminazione dell’agente causale. Al contrario, se è presente una parodontite, il trattamento è a lungo termine, poiché ci sono diversi aspetti da affrontare per migliorare la salute generale della bocca.
Le procedure terapeutiche possono essere suddivise in due gruppi principali:
- Non chirurgiche
- Chirurgiche
Trattamenti non chirurgici per la recessione gengivale
Se il problema è lieve e non ci sono complicazioni, è possibile rinunciare alla chirurgia. L’opzione è quella di utilizzare agenti chimici per ridurre la sensibilità associata alla recessione.
A tal fine, il dentista applica o prescrive una delle seguenti sostanze:
- Fluoro: attraverso vernici o indicato come ingrediente di specifici dentifrici e collutori.
- Ossido di zinco: ingrediente di alcuni dentifrici desensibilizzanti che possono sigillare i tubuli dentinali.
- Cloruro di stronzio: blocca i segnali nervosi dentinali per controllare il dolore ed è un ingrediente dei dentifrici.
- Arginina: anche questo aminoacido viene utilizzato per sigillare i tubuli dentinali, contribuendo a ridurre la trasmissione degli stimoli dolorosi.
- Nitrato di potassio: è un composto che blocca i segnali nervosi, come il cloruro di stronzio. Si trova anche nei dentifrici per denti sensibili.
L’uso di rimedi casalinghi per la recessione gengivale e di altre sostanze è a discrezione del medico, poiché molte opzioni non sono comprovate o sono ancora sperimentali. Ad esempio, sono stati riportati casi di utilizzo della propoli. Tuttavia, questi composti dovrebbero sempre essere valutati nel contesto di una cura specialistica.
I restauri adesivi in composito, invece, sono approcci non chirurgici che consistono nell’applicare sostanze di colore dentale per coprire la radice esposta. In questo modo si evita il problema della sensibilità.
Trattamenti chirurgici per le gengive ritirate
Come afferma una revisione della letteratura del 2018, esistono diversi modi per trattare le gengive ritirate. Il più delle volte, un approccio chirurgico è necessario e inevitabile se si vuole migliorare l’estetica e prevenire complicazioni future.
Le tecniche più comunemente utilizzate dai dentisti sono le seguenti:
- Stiramento gengivale: il nome tecnico è lembo mobilizzato coronalmente. Affinché la tecnica sia praticabile ed efficace, devono essere soddisfatte alcune condizioni nella bocca. Ad esempio, le papille interdentali (i triangoli di gengiva tra dente e dente) devono essere ben conservate. L’intervento in sé consiste nel prelevare parte della gengiva, staccarla come in un “involucro”, tramite un’incisione, spostarla e utilizzarla per riempire gli spazi lasciati vuoti.
- Innesto gengivale: chiamato anche chirurgia plastica mucogengivale, consiste nel prelevare parte della mucosa del palato e innestarla sulla zona di gengiva mancante che si vuole riempire. In questo modo, le radici dei denti vengono coperte. Sebbene possa sembrare un po’ complesso quando lo si descrive, si tratta di un intervento semplice e veloce. La sua controindicazione è la presenza di parodontite. Sebbene l’innesto presenti diverse varianti nella sua esecuzione, le analisi scientifiche non hanno ancora individuato la superiorità di una rispetto all’altra.
- Chirurgia parodontale: i casi gravi con malattia parodontale avanzata, grave carenza di tessuto e possibilità di perdita dei denti devono essere affrontati con una chirurgia complessa. L’obiettivo è quello di inserire materiale da otturazione o grandi innesti per coprire non solo la gengiva mancante, ma anche l’osso degradato dal processo infiammatorio.
Attualmente sono in corso esperimenti sugli animali per migliorare le future opzioni di trattamento per l’uomo. Tra queste alternative vi è l’uso di cellule staminali per rigenerare la gengiva perduta e l’impianto di tessuti biosintetici.

Il coinvolgimento del paziente è essenziale per il successo del trattamento delle gengive ritirate. Modificando i comportamenti che possono aver favorito la recessione, si eviterà che il problema si ripresenti.
In questo senso, è bene imparare e praticare la corretta tecnica di spazzolamento per evitare errori quando si lavano i denti. È possibile discutere con il dentista il tipo di spazzolino migliore da acquistare e i dentifrici che possono ridurre la sensibilità.
È necessario interrompere le abitudini dannose, come il fumo. E se si ha un piercing in bocca, è necessario rimuoverlo, poiché il trauma che crea non consente una corretta guarigione.
È possibile prevenire la recessione gengivale?
È possibile adottare alcune misure per ridurre il rischio di recessione gengivale. Non sempre è possibile, ma applicando i seguenti consigli si possono aumentare le possibilità di rimanere liberi dalle gengive:
- Lavarsi i denti almeno due volte al giorno. Utilizzate una tecnica di spazzolamento delicata e abbinate il filo interdentale ogni giorno. Potete aiutarvi con uno spazzolino elettrico: alcuni modelli sono dotati di sensori di pressione che avvisano quando si applica una forza eccessiva.
- Programmate visite dentistiche regolari. Le visite dal dentista consentono di individuare precocemente le condizioni che portano alla recessione. Seguite quindi le istruzioni del dentista per il trattamento.
- Se avete bisogno di un’ortodonzia, valutate attentamente il professionista a cui rivolgervi. Cercate uno studio approvato per la specialità e con esperienza.
- Utilizzate paradenti se soffrite di bruxismo.
- Smettete di fumare se avete questo vizio.
Se la diagnosi è già stata confermata, l’obiettivo è evitare le recidive. A tal fine, le misure indicate dal dentista non sono facoltative. Seguirle alla lettera vi aiuterà a ritrovare la salute e a sorridere di nuovo con fiducia.
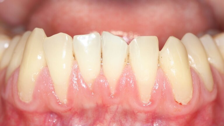
Alcune persone, quando si guardano allo specchio, credono di avere i denti più lunghi del normale. Possono anche notare che il tessuto rosa sopra i denti sembra essere più sottile. È probabile che si tratti di gengive ritirate.
Questa condizione, oltre alle conseguenze estetiche, può compromettere il normale funzionamento della bocca. Ecco perché è importante affrontarla in tempo e con l’aiuto di un dentista.
Cosa sono le gengive ritirate?
La gengiva o tessuto gengivale è la parte morbida, compatta e rosa che circonda il collo dei denti. In altre parole, copre quella che sarebbe la radice degli elementi dentali, che in condizioni normali non possiamo vedere.
Il tessuto gengivale ha la funzione di proteggere l’osso e la radice dentale. Inoltre, conferisce fermezza ai denti in modo che rimangano al loro posto.
Si può parlare di gengiva ritirata o recessione gengivale quando questo tessuto si sposta, lasciando visibile la radice. Secondo una pubblicazione scientifica del 2015, questa condizione espone il legame tra il cemento dentale e lo smalto.
Questo provoca l’effetto di “denti più lunghi”. In realtà, ogni dente ha le stesse misure, solo che ora siamo in grado di notare la radice, che dovrebbe trovarsi sotto la gengiva.
Qual è il problema delle gengive ritirate?
Oltre a incidere sull’estetica e sull’aspetto del sorriso, le gengive ritirate comportano conseguenze fisiche per la salute. In primo luogo, le radici, che dovrebbero essere protette, sono suscettibili all’azione della placca batterica.
Inoltre, la radice è molto sensibile agli stimoli esterni. Più della metà dei pazienti affetti da questo problema presenta spesso sensibilità dentale, soprattutto durante la masticazione o lo spazzolamento.
D’altra parte, il cemento dentale, che è un tessuto che ricopre la superficie delle radici, non è preparato ad affrontare le condizioni esterne. Il disturbo è quindi associato a un aumento del rischio di carie.
La situazione diventa più frequente con l’invecchiamento. A causa della recessione senile, gli adulti più anziani sono più a rischio di sviluppare carie radicolare, cioè carie nelle radici dei denti.
Sintomi comuni
Oltre a notare che i denti appaiono più lunghi o che le gengive sono più spostate verso l’alto o verso il basso, è possibile avvertire alcuni sintomi associati alla recessione, come i seguenti:
- Disagio durante l’alimentazione, dovuto alla sensibilità dei denti ai cibi caldi o freddi.
- Sanguinamento delle gengive, poiché la disposizione del tessuto ne favorisce l’infiammazione e la lesione durante lo spazzolamento.
- Alito cattivo, dovuto alla maggiore presenza di placca batterica. Questo si verifica di solito perché i pazienti spazzolano meno o con una tecnica scorretta, a causa del disagio provocato dalla sensibilità.
Quali sono le cause della recessione gengivale?
Le origini della recessione gengivale sono varie. È persino possibile che una stessa persona combini contemporaneamente diversi fattori di rischio.
Conoscere le cause è importante per trattarle tempestivamente e prevenire le gengive ritirate. Di seguito sono elencate le circostanze più associate a questa condizione.
Gengivite e parodontite
L’infiammazione delle gengive è chiamata gengivite. È legata a una scarsa igiene orale che favorisce l’accumulo di placca batterica e tartaro. Quando questo accumulo è eccessivo, porta all’irritazione del tessuto gengivale.
Allo stesso modo, la parodontite è un’evoluzione della gengivite non trattata in tempo. La placca e il tartaro in eccesso si accumulano e formano “tasche” nei tessuti molli intorno ai denti. Le tasche si riempiono di batteri che avviano un processo di infezione e grave infiammazione.
Con il progredire del processo, i tessuti molli intorno ai denti vengono distrutti. Ciò include anche le gengive, che si ritirano a causa della stessa perdita di sostanza. La conseguenza più grave è la possibilità di perdere gli elementi dentari, che cadono perché non sono adeguatamente supportati.
Tuttavia, può verificarsi anche il processo inverso. La recessione gengivale dovuta ad altre cause può portare a problemi parodontali (gengivite e parodontite).

Fumo
Il fumo influisce sulla salute orale in molti modi. Uno di questi è l’infiammazione delle gengive, a causa delle sostanze tossiche contenute nelle sigarette.
Le persone che fumano sono anche più a rischio di sviluppare gengivite e parodontite. Pertanto, è più frequente che le gengive si ritirino.
Bruxismo
Il bruxismo è lo stringere e il digrignare inconsapevolmente i denti. Le forze meccaniche del serramento sono così potenti da danneggiare il tessuto parodontale. Questa abitudine non solo logora i denti, ma porta anche a gengive ritirate.
Tecnica di spazzolamento inadeguata
Sebbene la mancanza di una buona frequenza di spazzolamento porti alla formazione di placca, poi di gengivite e, forse, di gengive ritirate, è possibile anche il contrario. Una frequenza elevata o uno spazzolamento energico nel contesto di un’ossessione per l’igiene dentale traumatizzano il tessuto gengivale.
Non è consigliabile pulire con una forte pressione dello spazzolino o con movimenti energici che feriscono le gengive. Al contrario, è un fattore di rischio per il danneggiamento e la migrazione del tessuto verso la radice dei denti.
Ortodonzia
Esiste una controversia sull’effettiva influenza dell’ortodonzia sull’aspetto delle gengive ritirate. Sebbene il trattamento da solo non sia in grado di causare la condizione, aumenta il rischio nelle persone con gengive sottili.
Per questo motivo è importante che l’ortodonzia sia eseguita da professionisti certificati ed esperti. In questo modo, lo spostamento dei denti avviene in modo preciso e progressivo, cercando di ridurre al minimo il trauma alle gengive.
Piercing
La moda di indossare gioielli in bocca non è priva di rischi per la salute. Una pubblicazione scientifica dell’International Journal of Dental Hygiene sottolinea che i piercing al labbro e alla lingua sono direttamente associati alla recessione gengivale.
La spiegazione più probabile è che l’attrito dei gioielli contro le gengive sia traumatico. Pertanto, il tessuto si ritrae come meccanismo di difesa.

Esistono trattamenti efficaci per le gengive ritirate?
Le gengive non hanno la capacità di rigenerarsi. Se la recessione gengivale è confermata, il trattamento deve essere guidato da uno specialista in odontoiatria.
L’operatore sanitario stabilirà la causa più probabile del problema. Questa diagnosi sarà la chiave per pianificare un trattamento appropriato e con possibilità di successo.
Ad esempio, se la causa è un gioiello in bocca o uno spazzolamento eccessivo, l’approccio sarà più semplice e richiederà meno tempo, in quanto ci si concentrerà sull’eliminazione dell’agente causale. Al contrario, se è presente una parodontite, il trattamento è a lungo termine, poiché ci sono diversi aspetti da affrontare per migliorare la salute generale della bocca.
Le procedure terapeutiche possono essere suddivise in due gruppi principali:
- Non chirurgiche
- Chirurgiche
Trattamenti non chirurgici per la recessione gengivale
Se il problema è lieve e non ci sono complicazioni, è possibile rinunciare alla chirurgia. L’opzione è quella di utilizzare agenti chimici per ridurre la sensibilità associata alla recessione.
A tal fine, il dentista applica o prescrive una delle seguenti sostanze:
- Fluoro: attraverso vernici o indicato come ingrediente di specifici dentifrici e collutori.
- Ossido di zinco: ingrediente di alcuni dentifrici desensibilizzanti che possono sigillare i tubuli dentinali.
- Cloruro di stronzio: blocca i segnali nervosi dentinali per controllare il dolore ed è un ingrediente dei dentifrici.
- Arginina: anche questo aminoacido viene utilizzato per sigillare i tubuli dentinali, contribuendo a ridurre la trasmissione degli stimoli dolorosi.
- Nitrato di potassio: è un composto che blocca i segnali nervosi, come il cloruro di stronzio. Si trova anche nei dentifrici per denti sensibili.
L’uso di rimedi casalinghi per la recessione gengivale e di altre sostanze è a discrezione del medico, poiché molte opzioni non sono comprovate o sono ancora sperimentali. Ad esempio, sono stati riportati casi di utilizzo della propoli. Tuttavia, questi composti dovrebbero sempre essere valutati nel contesto di una cura specialistica.
I restauri adesivi in composito, invece, sono approcci non chirurgici che consistono nell’applicare sostanze di colore dentale per coprire la radice esposta. In questo modo si evita il problema della sensibilità.
Trattamenti chirurgici per le gengive ritirate
Come afferma una revisione della letteratura del 2018, esistono diversi modi per trattare le gengive ritirate. Il più delle volte, un approccio chirurgico è necessario e inevitabile se si vuole migliorare l’estetica e prevenire complicazioni future.
Le tecniche più comunemente utilizzate dai dentisti sono le seguenti:
- Stiramento gengivale: il nome tecnico è lembo mobilizzato coronalmente. Affinché la tecnica sia praticabile ed efficace, devono essere soddisfatte alcune condizioni nella bocca. Ad esempio, le papille interdentali (i triangoli di gengiva tra dente e dente) devono essere ben conservate. L’intervento in sé consiste nel prelevare parte della gengiva, staccarla come in un “involucro”, tramite un’incisione, spostarla e utilizzarla per riempire gli spazi lasciati vuoti.
- Innesto gengivale: chiamato anche chirurgia plastica mucogengivale, consiste nel prelevare parte della mucosa del palato e innestarla sulla zona di gengiva mancante che si vuole riempire. In questo modo, le radici dei denti vengono coperte. Sebbene possa sembrare un po’ complesso quando lo si descrive, si tratta di un intervento semplice e veloce. La sua controindicazione è la presenza di parodontite. Sebbene l’innesto presenti diverse varianti nella sua esecuzione, le analisi scientifiche non hanno ancora individuato la superiorità di una rispetto all’altra.
- Chirurgia parodontale: i casi gravi con malattia parodontale avanzata, grave carenza di tessuto e possibilità di perdita dei denti devono essere affrontati con una chirurgia complessa. L’obiettivo è quello di inserire materiale da otturazione o grandi innesti per coprire non solo la gengiva mancante, ma anche l’osso degradato dal processo infiammatorio.
Attualmente sono in corso esperimenti sugli animali per migliorare le future opzioni di trattamento per l’uomo. Tra queste alternative vi è l’uso di cellule staminali per rigenerare la gengiva perduta e l’impianto di tessuti biosintetici.

Il coinvolgimento del paziente è essenziale per il successo del trattamento delle gengive ritirate. Modificando i comportamenti che possono aver favorito la recessione, si eviterà che il problema si ripresenti.
In questo senso, è bene imparare e praticare la corretta tecnica di spazzolamento per evitare errori quando si lavano i denti. È possibile discutere con il dentista il tipo di spazzolino migliore da acquistare e i dentifrici che possono ridurre la sensibilità.
È necessario interrompere le abitudini dannose, come il fumo. E se si ha un piercing in bocca, è necessario rimuoverlo, poiché il trauma che crea non consente una corretta guarigione.
È possibile prevenire la recessione gengivale?
È possibile adottare alcune misure per ridurre il rischio di recessione gengivale. Non sempre è possibile, ma applicando i seguenti consigli si possono aumentare le possibilità di rimanere liberi dalle gengive:
- Lavarsi i denti almeno due volte al giorno. Utilizzate una tecnica di spazzolamento delicata e abbinate il filo interdentale ogni giorno. Potete aiutarvi con uno spazzolino elettrico: alcuni modelli sono dotati di sensori di pressione che avvisano quando si applica una forza eccessiva.
- Programmate visite dentistiche regolari. Le visite dal dentista consentono di individuare precocemente le condizioni che portano alla recessione. Seguite quindi le istruzioni del dentista per il trattamento.
- Se avete bisogno di un’ortodonzia, valutate attentamente il professionista a cui rivolgervi. Cercate uno studio approvato per la specialità e con esperienza.
- Utilizzate paradenti se soffrite di bruxismo.
- Smettete di fumare se avete questo vizio.
Se la diagnosi è già stata confermata, l’obiettivo è evitare le recidive. A tal fine, le misure indicate dal dentista non sono facoltative. Seguirle alla lettera vi aiuterà a ritrovare la salute e a sorridere di nuovo con fiducia.
Tutte le fonti citate sono state esaminate a fondo dal nostro team per garantirne la qualità, l'affidabilità, l'attualità e la validità. La bibliografia di questo articolo è stata considerata affidabile e di precisione accademica o scientifica.
- Bahal, P., Malhi, M., Shah, S., & Ide, M. (2019). Managing the consequences of periodontal diseases/treatment: gingival recession. Dental Update, 46(10), 966-977. https://www.magonlinelibrary.com/doi/abs/10.12968/denu.2019.46.10.966
- Heasman, P. A., Ritchie, M., Asuni, A., Gavillet, E., Simonsen, J. L., & Nyvad, B. (2017). Gingival recession and root caries in the ageing population: a critical evaluation of treatments. Journal of clinical periodontology, 44, S178-S193. https://onlinelibrary.wiley.com/doi/full/10.1111/jcpe.12676
- Hennequin‐Hoenderdos, N. L., Slot, D. E., & Van der Weijden, G. A. (2016). The incidence of complications associated with lip and/or tongue piercings: a systematic review. International journal of dental hygiene, 14(1), 62-73. https://onlinelibrary.wiley.com/doi/abs/10.1111/idh.12118
- Jati, A. S., Furquim, L. Z., & Consolaro, A. (2016). Gingival recession: its causes and types, and the importance of orthodontic treatment. Dental press journal of orthodontics, 21, 18-29. https://www.scielo.br/j/dpjo/a/Q5JFsKRd6fm3kvkT3QsKmsq/
- Masud, M., Al-Bayaty, F. H., Muhamed, N. A. H., Alwi, A. S., Takiyudin, Z., & Hidayat, M. F. H. (2017). Gingival Recession and Dentine Hypersensitivity in Periodontal Patients: is It Affecting Their Oral Health Related Quality of Life?. Journal of International Dental and Medical Research, 10(3), 909-914. https://search.proquest.com/openview/88de5fcb72ee17782249edfe600545ae/1?pq-origsite=gscholar&cbl=1036416
- Mostafa, D., & Mandil, O. A. (2021). Treatment of gingival recession defects using non-invasive pinhole technique with propolis application, a case report. International Journal of Surgery Case Reports, 83, 106042. https://www.sciencedirect.com/science/article/pii/S2210261221005447
- Mythri, S., Arunkumar, S. M., Hegde, S., Rajesh, S. K., Munaz, M., & Ashwin, D. (2015). Etiology and occurrence of gingival recession-An epidemiological study. Journal of Indian Society of Periodontology, 19(6), 671. https://www.ncbi.nlm.nih.gov/pmc/articles/PMC4753713/
- Rubnikovich, S. P., Denisova, Y. L., Vladimirskaya, Т. E., Andreyeva, V. А., Kvacheva, Z. B., Panasenkova, G. Y., & Volotovsky, I. D. (2018). Regenerative cell technologies for gingival recession treatment. Современные технологии в медицине, 10(4 (eng)), 94-102. https://cyberleninka.ru/article/n/regenerative-cell-technologies-for-gingival-recession-treatment
- Shkreta, M., Atanasovska-Stojanovska, A., Dollaku, B., & Belazelkoska, Z. (2018). Exploring the gingival recession surgical treatment modalities: A literature review. Open access Macedonian journal of medical sciences, 6(4), 698. https://www.ncbi.nlm.nih.gov/pmc/articles/PMC5927507/
- Sidharthan, S., Dharmarajan, G., Kale, S., Dharmadhikari, S., & Chordia, D. (2023). Comparison of the effectiveness of Gingival unit transfer and free Gingival graft in the management of localized Gingival recession-A systematic review. Journal of Oral Biology and Craniofacial Research, 13(2), 130-137. https://www.sciencedirect.com/science/article/pii/S221242682200166X
- Zucchelli, G., Stefanini, M., Ganz, S., Mazzotti, C., Mounssif, I., & Marzadori, M. (2016). Coronally Advanced Flap with Different Designs in the Treatment of Gingival Recession: A Comparative Controlled Randomized Clinical Trial. https://pubmed.ncbi.nlm.nih.gov/27100801/
Questo testo è fornito solo a scopo informativo e non sostituisce la consultazione con un professionista. In caso di dubbi, consulta il tuo specialista.







