Mieloma multiplo: definizione, sintomi e trattamenti


Scritto e verificato il dottore Leonardo Biolatto
Il mieloma multiplo è un tumore che colpisce l’essere umano. Ha origine nel midollo osseo, il tessuto che forma le cellule del sangue che poi circolano in tutto l’organismo.
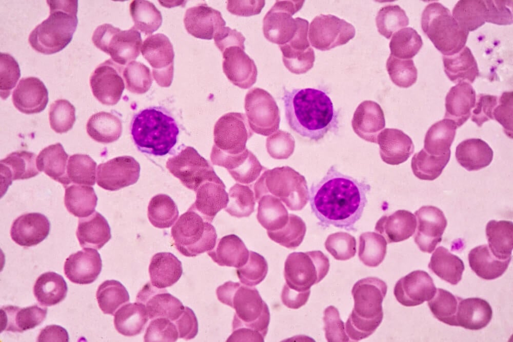
Il midollo osseo si trova all’interno delle ossa del corpo e da esso si formano le cellule che vengono trasferite al flusso sanguigno. Tra queste cellule, vi sono le plasmacellule, responsabili del mieloma multiplo quando iniziano a moltiplicarsi in modo anomalo.
In condizioni normali, le plasmacellule hanno la funzione di combattere le infezioni. Questo compito viene svolto attraverso la produzione di sostanze note come anticorpi. Gli anticorpi riconoscono gli agenti infettivi che tentano di ammalare gli esseri umani e li attaccano.
Nel caso del mieloma multiplo, in presenza di un eccessivo numero di plasmacellule, si ha anche una produzione anomala di anticorpi. Ciò tuttavia non scatena un aumento delle difese immunitarie, anzi favorisce le infezioni e le complicazioni che ne derivano.
Fattori di rischio per il mieloma multiplo
Come riporta la letteratura scientifica, una serie di fattori rendono una persona maggiormente suscettibile di soffrire di mieloma multiplo. Fra questi:
- Età: in età avanzata aumentano le probabilità di soffrire di questo cancro. Nello specifico, dopo i sessantacinque anni.
- Storia familiare: alcune famiglie hanno una certa predisposizione a questa condizione. Non è un fattore determinante, ma avere un genitore o un fratello con questa malattia aumenta il rischio di soffrirne.
- Sesso maschile: il mieloma multiplo colpisce gli uomini con una percentuale maggiore.
- Discendenza afroamericana: gli afroamericani sono un gruppo con un rischio maggiore di sviluppare mieloma multiplo rispetto al resto della popolazione.

Continuate a leggere: Sindrome di Sézary: cause e trattamenti
Sintomi del cancro
A volte la diagnosi di mieloma multiplo è ritardata a causa di sintomi aspecifici. Si tratta, di fatto, di una patologia in cui la maggior parte dei sintomi può essere confusa con quelli di altre malattie.
Se il medico non ha un chiaro sospetto, o se non rileva qualcosa di insolito tramite analisi complementari, si corre il rischio di una diagnosi ritardata. Tra i sintomi più comuni abbiamo:
- Dolore osseo: soprattutto nelle ossa del tronco del corpo, del torace e della schiena.
- Disturbi gastrointestinali: include vomito e costipazione.
- Inappetenza: la mancanza di appetito, nel tempo, porta al dimagrimento.
- Infezioni ripetute: le difese immunitarie indebolite, come abbiamo già spiegato, favoriscono l’ingresso di microrganismi che causano infezioni. Questi microrganismi possono causare infezioni comuni che non si risolvono rapidamente.
Diagnosi di mieloma multiplo
Il primo passo per diagnosticare il mieloma multiplo è sospettarlo. È comunque molto difficile a causa dei sintomi aspecifici della malattia. D’altra parte, può accadere anche che i risultati di analisi richieste per altri motivi insospettiscano il medico.
L’analisi di laboratorio per eccellenza in questo caso è la ricerca dell’anticorpo monoclonale. È una proteina anormale chiamata Proteina M che, se presente, è indicativa di mieloma multiplo.
La seconda fase del processo diagnostico è la biopsia del midollo osseo. Si tratta di prelevare un campione del midollo osseo, aspirandolo dall’interno di un osso per esaminare tale tessuto al microscopio. In questo modo è possibile vedere realmente in quali condizioni versano le plasmacellule. Sul campione prelevato in genere si eseguono anche:
- Citogenetica: è un’analisi del DNA delle cellule aspirate.
- Immunoistochimica: per differenziare le cellule normali da quelle anormali.
- Citometria a flusso: per determinare se le cellule anormali provengono da mieloma multiplo o da un altro tumore del sangue, come il linfoma.

Continuate a scoprire: La biopsia liquida: in cosa consiste?
Trattamento per il mieloma multiplo
Il trattamento del mieloma multiplo richiede un approccio multidisciplinare che coinvolga diversi specialisti. Il team oncologico che tratta questi pazienti comprende ematologi e, quando possibile, ematologi con pregressa esperienza con questo tipo di malattia oncologica.
La radioterapia è una delle opzioni terapeutiche. Il mieloma multiplo è sensibile alle radiazioni mediche, che possono ridurre l’entità della malattia e aiutare a tenere sotto controllo anche il dolore osseo causato dalla malattia stessa.
La chemioterapia è indicata nei casi in stadio avanzato. Sfortunatamente, il tasso di sopravvivenza è basso nei pazienti sottoposti a chemioterapia. Si stima che in cinque anni il numero dei sopravvissuti sia inferiore a un terzo.
Infine, un trattamento molto efficace, supportato da innumerevoli studi scientifici, è il trapianto. In questo caso si utilizza l’autotrapianto di midollo osseo.
I punti chiave da ricordare
Il mieloma multiplo è una grave malattia grave. Come tutti i tumori, richiede una diagnosi tempestiva per aumentare le possibilità di sopravvivenza. Quindi, se avete sintomi che vi fanno sospettare, o una storia familiare, della malattia, dovreste consultare un medico per togliervi ogni dubbio.
In caso di sospetto, i professionisti medici vi guideranno nel processo diagnostico per eseguire tutti i test necessari. E se necessario, vi sottoporranno al miglior trattamento disponibile, continuamente oggetto di studio e revisione.
Il mieloma multiplo è un tumore che colpisce l’essere umano. Ha origine nel midollo osseo, il tessuto che forma le cellule del sangue che poi circolano in tutto l’organismo.
Il midollo osseo si trova all’interno delle ossa del corpo e da esso si formano le cellule che vengono trasferite al flusso sanguigno. Tra queste cellule, vi sono le plasmacellule, responsabili del mieloma multiplo quando iniziano a moltiplicarsi in modo anomalo.
In condizioni normali, le plasmacellule hanno la funzione di combattere le infezioni. Questo compito viene svolto attraverso la produzione di sostanze note come anticorpi. Gli anticorpi riconoscono gli agenti infettivi che tentano di ammalare gli esseri umani e li attaccano.
Nel caso del mieloma multiplo, in presenza di un eccessivo numero di plasmacellule, si ha anche una produzione anomala di anticorpi. Ciò tuttavia non scatena un aumento delle difese immunitarie, anzi favorisce le infezioni e le complicazioni che ne derivano.
Fattori di rischio per il mieloma multiplo
Come riporta la letteratura scientifica, una serie di fattori rendono una persona maggiormente suscettibile di soffrire di mieloma multiplo. Fra questi:
- Età: in età avanzata aumentano le probabilità di soffrire di questo cancro. Nello specifico, dopo i sessantacinque anni.
- Storia familiare: alcune famiglie hanno una certa predisposizione a questa condizione. Non è un fattore determinante, ma avere un genitore o un fratello con questa malattia aumenta il rischio di soffrirne.
- Sesso maschile: il mieloma multiplo colpisce gli uomini con una percentuale maggiore.
- Discendenza afroamericana: gli afroamericani sono un gruppo con un rischio maggiore di sviluppare mieloma multiplo rispetto al resto della popolazione.

Continuate a leggere: Sindrome di Sézary: cause e trattamenti
Sintomi del cancro
A volte la diagnosi di mieloma multiplo è ritardata a causa di sintomi aspecifici. Si tratta, di fatto, di una patologia in cui la maggior parte dei sintomi può essere confusa con quelli di altre malattie.
Se il medico non ha un chiaro sospetto, o se non rileva qualcosa di insolito tramite analisi complementari, si corre il rischio di una diagnosi ritardata. Tra i sintomi più comuni abbiamo:
- Dolore osseo: soprattutto nelle ossa del tronco del corpo, del torace e della schiena.
- Disturbi gastrointestinali: include vomito e costipazione.
- Inappetenza: la mancanza di appetito, nel tempo, porta al dimagrimento.
- Infezioni ripetute: le difese immunitarie indebolite, come abbiamo già spiegato, favoriscono l’ingresso di microrganismi che causano infezioni. Questi microrganismi possono causare infezioni comuni che non si risolvono rapidamente.
Diagnosi di mieloma multiplo
Il primo passo per diagnosticare il mieloma multiplo è sospettarlo. È comunque molto difficile a causa dei sintomi aspecifici della malattia. D’altra parte, può accadere anche che i risultati di analisi richieste per altri motivi insospettiscano il medico.
L’analisi di laboratorio per eccellenza in questo caso è la ricerca dell’anticorpo monoclonale. È una proteina anormale chiamata Proteina M che, se presente, è indicativa di mieloma multiplo.
La seconda fase del processo diagnostico è la biopsia del midollo osseo. Si tratta di prelevare un campione del midollo osseo, aspirandolo dall’interno di un osso per esaminare tale tessuto al microscopio. In questo modo è possibile vedere realmente in quali condizioni versano le plasmacellule. Sul campione prelevato in genere si eseguono anche:
- Citogenetica: è un’analisi del DNA delle cellule aspirate.
- Immunoistochimica: per differenziare le cellule normali da quelle anormali.
- Citometria a flusso: per determinare se le cellule anormali provengono da mieloma multiplo o da un altro tumore del sangue, come il linfoma.

Continuate a scoprire: La biopsia liquida: in cosa consiste?
Trattamento per il mieloma multiplo
Il trattamento del mieloma multiplo richiede un approccio multidisciplinare che coinvolga diversi specialisti. Il team oncologico che tratta questi pazienti comprende ematologi e, quando possibile, ematologi con pregressa esperienza con questo tipo di malattia oncologica.
La radioterapia è una delle opzioni terapeutiche. Il mieloma multiplo è sensibile alle radiazioni mediche, che possono ridurre l’entità della malattia e aiutare a tenere sotto controllo anche il dolore osseo causato dalla malattia stessa.
La chemioterapia è indicata nei casi in stadio avanzato. Sfortunatamente, il tasso di sopravvivenza è basso nei pazienti sottoposti a chemioterapia. Si stima che in cinque anni il numero dei sopravvissuti sia inferiore a un terzo.
Infine, un trattamento molto efficace, supportato da innumerevoli studi scientifici, è il trapianto. In questo caso si utilizza l’autotrapianto di midollo osseo.
I punti chiave da ricordare
Il mieloma multiplo è una grave malattia grave. Come tutti i tumori, richiede una diagnosi tempestiva per aumentare le possibilità di sopravvivenza. Quindi, se avete sintomi che vi fanno sospettare, o una storia familiare, della malattia, dovreste consultare un medico per togliervi ogni dubbio.
In caso di sospetto, i professionisti medici vi guideranno nel processo diagnostico per eseguire tutti i test necessari. E se necessario, vi sottoporranno al miglior trattamento disponibile, continuamente oggetto di studio e revisione.
Tutte le fonti citate sono state esaminate a fondo dal nostro team per garantirne la qualità, l'affidabilità, l'attualità e la validità. La bibliografia di questo articolo è stata considerata affidabile e di precisione accademica o scientifica.
- García-Sanz, Ramón, María Victoria Mateos, and Jesús Fernando San Miguel. “Mieloma múltiple.” Medicina Clínica 129.3 (2007): 104-115.
- Díaz-Maqueo, José C. “Historia del mieloma múltiple.” Revista Biomédica 17.3 (2006): 225-229.
- Charlot-Lambrecht, I., et al. “Mieloma múltiple.” EMC-Aparato locomotor 45.1 (2012): 1-13.
Questo testo è fornito solo a scopo informativo e non sostituisce la consultazione con un professionista. In caso di dubbi, consulta il tuo specialista.







