Nodulo polmonare: diagnosi e cura

Quando sentiamo parlare di un nodulo polmonare, il primo pensiero che viene in mente è il cancro. Tuttavia, sebbene a volte entrambe le patologie siano correlate, può trattarsi di una condizione benigna.
Un nodulo polmonare è una massa che appare nel polmone, e che può misurare tra i cinque e i trenta millimetri. È una patologia sempre più frequente, che si stima colpisca circa lo 0,2% della popolazione. Tuttavia, quasi il 60% di questi noduli è benigno.
Le cause di questa malattia sono molto varie, da un’infezione a un tumore. Nella maggior parte dei casi queste formazioni vengono diagnosticate accidentalmente durante l’esecuzione di una TAC – tomografia assiale computerizzata- o una radiografia.
È importante diagnosticare precocemente questa patologia per evitare complicazioni ed escludere una condizione più seria. In questo articolo spieghiamo tutto quello che bisogna sapere sul nodulo polmonare e quali sintomi provoca.
Quali sono le cause di un nodulo polmonare?
Come abbiamo già detto, un nodulo polmonare è una massa che compare nel polmone. Le cause possono essere molto varie, anche se molto spesso si deve a un’infezione causata da batteri, funghi o parassiti.
Tra le cause infettive, i noduli polmonari sono comuni nelle persone affette da tubercolosi. Sebbene l’incidenza sia in calo, rimane comunque un’infezione relativamente frequente.
Ti potrebbe piacere: Problemi ai polmoni, riconoscerli da 10 segnali
Causa neoplastica
Quando si rileva la presenza di un nodulo polmonare, prima di tutto bisogna escludere che si tratti di un tumore. Questo perché il tumore al polmone è uno dei più frequenti, anche a causa del fumo.
In questi casi, di solito i noduli appaiono irregolari dalla radiografia, con bordi scarsamente definiti. Generalmente sono anche più piccoli di quelli benigni e sono associati ad alcuni fattori di rischio, come:
- Essere fumatori.
- Avere più di 35 anni.
- Aver avuto un cancro in precedenza.
- Il nodulo polmonare è cresciuto velocemente negli ultimi mesi.
Tuttavia, è importante sapere che non tutti i noduli polmonari neoplastici sono maligni. Esistono anche alcuni tumori benigni, anche se la verità è che sono molto meno frequenti dei primi.

Altre cause del nodulo polmonare
Esistono altre malattie che possono provocare questa patologia polmonare. Ad esempio, alcuni processi autoimmuni come la granulomatosi di Wegener o il nodulo reumatoide. Entrambe sono considerate malattie rare.
Allo stesso modo, in alcune persone il nodulo polmonare può apparire a causa di un trauma, una malattia metabolica chiamata amiloidosi o dopo la genesi di una cisti bronchiale.
Come viene diagnosticato il nodulo polmonare?
Per diagnosticare il nodulo polmonare e conoscerne la causa, è innanzitutto essenziale stilare una completa anamnesi, o storia medica, del paziente. Bisogna sapere se ha avuto la tubercolosi o se è stato esposto a determinate infezioni o persone infette.
È anche importante sapere se è un fumatore o no. Numerosi studi hanno dimostrato che gran parte dei noduli sono cancerogeni e sono correlati al tabacco.
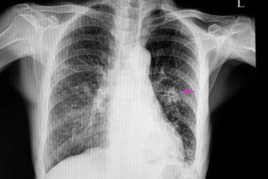
Completata la storia clinica, è necessario eseguire alcuni test di imaging per individuare il nodulo. Le immagini consentono anche di osservare alcune caratteristiche, come la forma e le dimensioni, che sono importanti per differenziare una condizione benigna da una potenzialmente maligna.
Quelli usati più spesso sono la radiografia del torace e la tomografia computerizzata o TAC. Per conoscere esattamente la causa scatenante del nodulo polmonare, a volte vengono eseguite delle biopsie che consentono di analizzare il tessuto che lo forma.

Potrebbero interessarvi anche: Edema polmonare: sintomi e cause
Qual è il trattamento?
Il trattamento dipenderà dalla causa del nodulo. Quando si tratta di un processo infettivo, potrebbe non essere necessario alcun trattamento oppure il medico può decidere di prescrivere antibiotici o antimicotici per frenare l’infezione.
Quando la causa non è chiara, il trattamento è orientato in base al rischio di cancro. Ad esempio, nei giovani non fumatori in cui nodulo non sembra essere maligno, può essere sufficiente un controllo periodico. Questo monitoraggio serve per verificare possibili cambiamenti del nodulo, se cambia forma o cresce.
Se invece esiste un rischio di cancro, l’esame più importante da eseguire è la biopsia. Se fosse effettivamente cancerogeno, potrebbe risultare necessario un intervento chirurgico per rimuoverlo. Quando la chirurgia non è una via praticabile, si opta per la chemioterapia o la radioterapia.
Per concludere, è essenziale evidenziare nuovamente l’influenza negativa del tabacco. Dobbiamo essere consapevoli del rischio e sottoporci a frequenti controlli medici per diagnosticare precocemente questa patologia.
Quando sentiamo parlare di un nodulo polmonare, il primo pensiero che viene in mente è il cancro. Tuttavia, sebbene a volte entrambe le patologie siano correlate, può trattarsi di una condizione benigna.
Un nodulo polmonare è una massa che appare nel polmone, e che può misurare tra i cinque e i trenta millimetri. È una patologia sempre più frequente, che si stima colpisca circa lo 0,2% della popolazione. Tuttavia, quasi il 60% di questi noduli è benigno.
Le cause di questa malattia sono molto varie, da un’infezione a un tumore. Nella maggior parte dei casi queste formazioni vengono diagnosticate accidentalmente durante l’esecuzione di una TAC – tomografia assiale computerizzata- o una radiografia.
È importante diagnosticare precocemente questa patologia per evitare complicazioni ed escludere una condizione più seria. In questo articolo spieghiamo tutto quello che bisogna sapere sul nodulo polmonare e quali sintomi provoca.
Quali sono le cause di un nodulo polmonare?
Come abbiamo già detto, un nodulo polmonare è una massa che compare nel polmone. Le cause possono essere molto varie, anche se molto spesso si deve a un’infezione causata da batteri, funghi o parassiti.
Tra le cause infettive, i noduli polmonari sono comuni nelle persone affette da tubercolosi. Sebbene l’incidenza sia in calo, rimane comunque un’infezione relativamente frequente.
Ti potrebbe piacere: Problemi ai polmoni, riconoscerli da 10 segnali
Causa neoplastica
Quando si rileva la presenza di un nodulo polmonare, prima di tutto bisogna escludere che si tratti di un tumore. Questo perché il tumore al polmone è uno dei più frequenti, anche a causa del fumo.
In questi casi, di solito i noduli appaiono irregolari dalla radiografia, con bordi scarsamente definiti. Generalmente sono anche più piccoli di quelli benigni e sono associati ad alcuni fattori di rischio, come:
- Essere fumatori.
- Avere più di 35 anni.
- Aver avuto un cancro in precedenza.
- Il nodulo polmonare è cresciuto velocemente negli ultimi mesi.
Tuttavia, è importante sapere che non tutti i noduli polmonari neoplastici sono maligni. Esistono anche alcuni tumori benigni, anche se la verità è che sono molto meno frequenti dei primi.

Altre cause del nodulo polmonare
Esistono altre malattie che possono provocare questa patologia polmonare. Ad esempio, alcuni processi autoimmuni come la granulomatosi di Wegener o il nodulo reumatoide. Entrambe sono considerate malattie rare.
Allo stesso modo, in alcune persone il nodulo polmonare può apparire a causa di un trauma, una malattia metabolica chiamata amiloidosi o dopo la genesi di una cisti bronchiale.
Come viene diagnosticato il nodulo polmonare?
Per diagnosticare il nodulo polmonare e conoscerne la causa, è innanzitutto essenziale stilare una completa anamnesi, o storia medica, del paziente. Bisogna sapere se ha avuto la tubercolosi o se è stato esposto a determinate infezioni o persone infette.
È anche importante sapere se è un fumatore o no. Numerosi studi hanno dimostrato che gran parte dei noduli sono cancerogeni e sono correlati al tabacco.
Completata la storia clinica, è necessario eseguire alcuni test di imaging per individuare il nodulo. Le immagini consentono anche di osservare alcune caratteristiche, come la forma e le dimensioni, che sono importanti per differenziare una condizione benigna da una potenzialmente maligna.
Quelli usati più spesso sono la radiografia del torace e la tomografia computerizzata o TAC. Per conoscere esattamente la causa scatenante del nodulo polmonare, a volte vengono eseguite delle biopsie che consentono di analizzare il tessuto che lo forma.

Potrebbero interessarvi anche: Edema polmonare: sintomi e cause
Qual è il trattamento?
Il trattamento dipenderà dalla causa del nodulo. Quando si tratta di un processo infettivo, potrebbe non essere necessario alcun trattamento oppure il medico può decidere di prescrivere antibiotici o antimicotici per frenare l’infezione.
Quando la causa non è chiara, il trattamento è orientato in base al rischio di cancro. Ad esempio, nei giovani non fumatori in cui nodulo non sembra essere maligno, può essere sufficiente un controllo periodico. Questo monitoraggio serve per verificare possibili cambiamenti del nodulo, se cambia forma o cresce.
Se invece esiste un rischio di cancro, l’esame più importante da eseguire è la biopsia. Se fosse effettivamente cancerogeno, potrebbe risultare necessario un intervento chirurgico per rimuoverlo. Quando la chirurgia non è una via praticabile, si opta per la chemioterapia o la radioterapia.
Per concludere, è essenziale evidenziare nuovamente l’influenza negativa del tabacco. Dobbiamo essere consapevoli del rischio e sottoporci a frequenti controlli medici per diagnosticare precocemente questa patologia.
Tutte le fonti citate sono state esaminate a fondo dal nostro team per garantirne la qualità, l'affidabilità, l'attualità e la validità. La bibliografia di questo articolo è stata considerata affidabile e di precisione accademica o scientifica.
- Un nódulo pulmonar solitario | Medicina Integral. (n.d.). Retrieved December 24, 2019, from https://www.elsevier.es/es-revista-medicina-integral-63-articulo-un-nodulo-pulmonar-solitario-13046283
- Nódulos pulmonares: ¿Pueden ser cancerosos? Mayo Clinic. https://www.mayoclinic.org/es-es/diseases-conditions/lung-cancer/expert-answers/lung-nodules/faq-20058445#:~:text=Los%20n%C3%B3dulos%20pulmonares%20no%20cancerosos%20generalmente%20no%20requieren%20tratamiento.,o%20cambia%20con%20el%20tiempo.
- Prevención del cáncer de pulmón (PDQ®)–Versión para profesionales de salud. Instituto Nacional del Cáncer. https://www.cancer.gov/espanol/tipos/pulmon/pro/prevencion-pulmon-pdq
Questo testo è fornito solo a scopo informativo e non sostituisce la consultazione con un professionista. In caso di dubbi, consulta il tuo specialista.







