Tronco arterioso comune: fattori di rischio


Revisionato e approvato da il biotecnologo Alejandro Duarte
Il tronco arterioso comune è una malformazione congenita in seguito alla quale si forma una sola arteria dal cuore e i ventricoli e gli atri non risultano ben formati.
È un’insufficienza cardiaca poco frequente, con un’incidenza pari allo 0,21 e 0,34% tra i neonati con una cardiopatia congenita e di circa il 2-3% dei pazienti ricoverati in un’unità di cardiochirurgia pediatrica.
In pratica, il tronco arterioso comune è un difetto del cuore nel quale la persona presenta una sola grande arteria, invece di due separate, per trasportare il sangue ai polmoni e al resto dell’organismo.
Le cause del tronco arterioso comune
In un cuore normale, il sangue segue questo percorso: corpo-cuore-polmoni-cuore-corpo. Quando la persona presenta un tronco arterioso comune, il sangue messo in circolo dal cuore non segue questo percorso naturale.
In questo caso, il cuore non possiede 4 compartimenti correttamente separati, ma solo una cavità. Di conseguenza, non ci sono atri né ventricoli che separano il sangue in base alla sua origine e destinazione. C’è solo un’arteria comune, senza un percorso specifico per il sangue ricco di anidride carbonica e per il sangue ossigenato.

Il tronco arterioso comune compare durante la crescita fetale, quando il cuore del bambino è in via di sviluppo. La malformazione, pertanto, è presente già al momento della nascita. Si tratta, dunque, di un problema congenito.
Attualmente non si conosce ancora la causa alla base di questa disfunzione cardiaca. Tuttavia, sono noti alcuni dei fattori che possono aumentare il rischio di tronco arterioso comune. Tra essi rileviamo:
- Casi di problemi cardiaci congeniti nella storia familiare.
- I bambini con problemi cromosomici, sindrome velo-cardio-facciale o sindrome di DiGeorge corrono un rischio maggiore di sviluppare il tronco arterioso comune.
- L’assunzione di determinati farmaci che possono danneggiare il feto.
- Le donne affette da malattie virali, come la rosolia, hanno probabilità maggiori di dare alla luce un bambino con tronco arterioso comune.
Quali sono i sintomi?
Ogni paziente può manifestare i sintomi in maniera diversa. Tuttavia, esistono una serie di segnali comuni ai bambini affetti da questa malattia. Tra i più frequenti abbiamo:
- Cianosi: la pelle diventa di un tono blu-viola.
- Fatica.
- Sudore.
- Pelle fredda
- Respiro accelerato e difficoltoso.
- Battito cardiaco accelerato
- Congestione respiratoria
- Mancanza d’appetito
Ovviamente, questi sintomi possono essere comuni anche ad altre patologie o disfunzioni cardiache. Risulta fondamentale consultare il proprio medico nel caso in cui il bambino presentasse uno dei sintomi elencati.
Leggete anche: 7 sintomi che indicano un soffio al cuore
La diagnosi del tronco arterioso comune

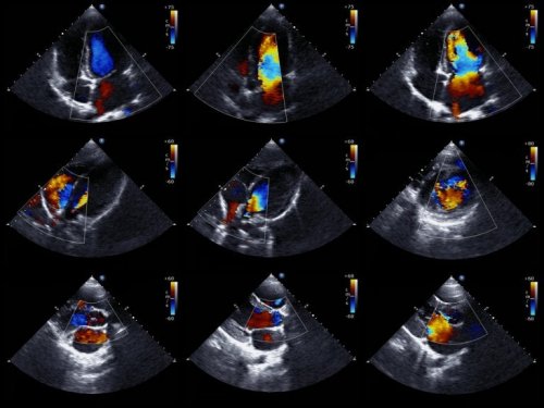
I medici sono in grado di diagnosticare questa anomalia già prima della nascita. A tal proposito, si avvalgono dell’ecocardiogramma fetale. Questa tecnica utilizza le onde sonore per creare un’immagine del cuore in movimento.
Grazie a ciò, è possibile esaminare l’aspetto del cuore e valutarne il funzionamento quando il bambino è ancora nell’utero. Con le informazioni ottenute, i medici sono in grado di programmare il trattamento del nascituro.
È disponibile anche un altro tipo di esame, noto come pulsossimetria. Si tratta di un semplice test che misura la quantità di ossigeno presente nel flusso sanguigno. Può essere utile per fornire un primo indizio riguardo a un eventuale problema cardiaco.
Può interessarvi anche: Attacco di cuore o attacco d’ansia?
Trattamento del tronco arterioso comune
I dati derivati dagli studi sulla storia naturale del tronco arterioso comune indicano una mortalità del 50% durante il primo mese di vita. Mentre la sopravvivenza nel primo anno di vita è del 10-25%.
La maggior parte dei pazienti che sopravvivono oltre il primo anno di vita soffre, in genere, di una grave malattia vascolare polmonare spesso irreversibile.
Per quanto riguarda il trattamento, il bambino dovrà sottoporsi a un intervento chirurgico a cuore aperto per prevenire possibili complicazioni. Questa operazione viene eseguita di solito nel primo mese di vita.
Durante l’operazione, l’aorta e le arterie polmonari vengono separate creando una via per il passaggio del sangue dal ventricolo destro ai polmoni. La comunicazione interventricolare e qualsiasi altra anomalia cardiaca rilevata verranno corretti.
Se non si riesce a correggere la patologia con l’intervento chirurgico, le probabilità di morte sono estremamente alte. Tuttavia, la chirurgia è generalmente efficace.
Il tronco arterioso comune è una malformazione congenita in seguito alla quale si forma una sola arteria dal cuore e i ventricoli e gli atri non risultano ben formati.
È un’insufficienza cardiaca poco frequente, con un’incidenza pari allo 0,21 e 0,34% tra i neonati con una cardiopatia congenita e di circa il 2-3% dei pazienti ricoverati in un’unità di cardiochirurgia pediatrica.
In pratica, il tronco arterioso comune è un difetto del cuore nel quale la persona presenta una sola grande arteria, invece di due separate, per trasportare il sangue ai polmoni e al resto dell’organismo.
Le cause del tronco arterioso comune
In un cuore normale, il sangue segue questo percorso: corpo-cuore-polmoni-cuore-corpo. Quando la persona presenta un tronco arterioso comune, il sangue messo in circolo dal cuore non segue questo percorso naturale.
In questo caso, il cuore non possiede 4 compartimenti correttamente separati, ma solo una cavità. Di conseguenza, non ci sono atri né ventricoli che separano il sangue in base alla sua origine e destinazione. C’è solo un’arteria comune, senza un percorso specifico per il sangue ricco di anidride carbonica e per il sangue ossigenato.

Il tronco arterioso comune compare durante la crescita fetale, quando il cuore del bambino è in via di sviluppo. La malformazione, pertanto, è presente già al momento della nascita. Si tratta, dunque, di un problema congenito.
Attualmente non si conosce ancora la causa alla base di questa disfunzione cardiaca. Tuttavia, sono noti alcuni dei fattori che possono aumentare il rischio di tronco arterioso comune. Tra essi rileviamo:
- Casi di problemi cardiaci congeniti nella storia familiare.
- I bambini con problemi cromosomici, sindrome velo-cardio-facciale o sindrome di DiGeorge corrono un rischio maggiore di sviluppare il tronco arterioso comune.
- L’assunzione di determinati farmaci che possono danneggiare il feto.
- Le donne affette da malattie virali, come la rosolia, hanno probabilità maggiori di dare alla luce un bambino con tronco arterioso comune.
Quali sono i sintomi?
Ogni paziente può manifestare i sintomi in maniera diversa. Tuttavia, esistono una serie di segnali comuni ai bambini affetti da questa malattia. Tra i più frequenti abbiamo:
- Cianosi: la pelle diventa di un tono blu-viola.
- Fatica.
- Sudore.
- Pelle fredda
- Respiro accelerato e difficoltoso.
- Battito cardiaco accelerato
- Congestione respiratoria
- Mancanza d’appetito
Ovviamente, questi sintomi possono essere comuni anche ad altre patologie o disfunzioni cardiache. Risulta fondamentale consultare il proprio medico nel caso in cui il bambino presentasse uno dei sintomi elencati.
Leggete anche: 7 sintomi che indicano un soffio al cuore
La diagnosi del tronco arterioso comune

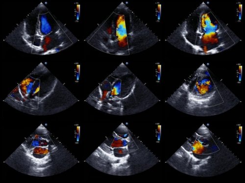
I medici sono in grado di diagnosticare questa anomalia già prima della nascita. A tal proposito, si avvalgono dell’ecocardiogramma fetale. Questa tecnica utilizza le onde sonore per creare un’immagine del cuore in movimento.
Grazie a ciò, è possibile esaminare l’aspetto del cuore e valutarne il funzionamento quando il bambino è ancora nell’utero. Con le informazioni ottenute, i medici sono in grado di programmare il trattamento del nascituro.
È disponibile anche un altro tipo di esame, noto come pulsossimetria. Si tratta di un semplice test che misura la quantità di ossigeno presente nel flusso sanguigno. Può essere utile per fornire un primo indizio riguardo a un eventuale problema cardiaco.
Può interessarvi anche: Attacco di cuore o attacco d’ansia?
Trattamento del tronco arterioso comune
I dati derivati dagli studi sulla storia naturale del tronco arterioso comune indicano una mortalità del 50% durante il primo mese di vita. Mentre la sopravvivenza nel primo anno di vita è del 10-25%.
La maggior parte dei pazienti che sopravvivono oltre il primo anno di vita soffre, in genere, di una grave malattia vascolare polmonare spesso irreversibile.
Per quanto riguarda il trattamento, il bambino dovrà sottoporsi a un intervento chirurgico a cuore aperto per prevenire possibili complicazioni. Questa operazione viene eseguita di solito nel primo mese di vita.
Durante l’operazione, l’aorta e le arterie polmonari vengono separate creando una via per il passaggio del sangue dal ventricolo destro ai polmoni. La comunicazione interventricolare e qualsiasi altra anomalia cardiaca rilevata verranno corretti.
Se non si riesce a correggere la patologia con l’intervento chirurgico, le probabilità di morte sono estremamente alte. Tuttavia, la chirurgia è generalmente efficace.
Tutte le fonti citate sono state esaminate a fondo dal nostro team per garantirne la qualità, l'affidabilità, l'attualità e la validità. La bibliografia di questo articolo è stata considerata affidabile e di precisione accademica o scientifica.
- Murphy, M. O., & Spray, T. L. (2016). Truncus arteriosus. In Surgery of Conotruncal Anomalies. https://doi.org/10.1007/978-3-319-23057-3_31
- Brown, J. W., Ruzmetov, M., Okada, Y., Vijay, P., & Turrentine, M. W. (2001). Truncus arteriosus repair: Outcomes, risk factors, reoperation and management. European Journal of Cardio-Thoracic Surgery. https://doi.org/10.1016/S1010-7940(01)00816-8
- Austin, E. H. (2003). Repair of truncus arteriosus. Operative Techniques in Thoracic and Cardiovascular Surgery. https://doi.org/10.1053/S1522-2942(03)00035-9
Questo testo è fornito solo a scopo informativo e non sostituisce la consultazione con un professionista. In caso di dubbi, consulta il tuo specialista.







