Tumori alla mandibola: tipi e diagnosi

I tumori alla mandibola sono formazioni o lesioni che si formano nell’osso della mandibola o nei tessuti molli della bocca e del viso. Spesso si tratta di neoplasie benigne ad aspetto cistico. Un tumore è una crescita o massa anomala di tessuto, mentre una cisti è una lesione che contiene materiale liquido o semisolido.
A volte le cisti e i tumori alla mandibola sono odontogeni e possono variare molto in termini di dimensione e gravità. In linea di massima, si tratta di neoplasie benigne, ma possono essere aggressive e invadere le ossa e i tessuti circostanti, così come i denti.
Le opzioni di trattamento per i tumori e le cisti mandibolari variano a seconda del tipo di formazione e di lesione, della fase in cui si trovano e dei sintomi. I chirurghi maxillo-facciali possono intervenire sul tumore o sulla cisti mediante operazione chirurgica, trattamento farmacologico o con entrambi.
Tipi di cisti e tumori alla mandibola
Esistono diversi tipi di tumori e cisti mandibolari noti. Ne riportiamo alcuni:
Ameloblastoma

Si tratta di un tumore relativamente diffuso, dalla crescita lenta e in genere non maligno. Spesso colpisce la mandibola, nell’area circostante i molari. Può invadere le strutture locali, come l’osso o il tessuto molle.
Questo tumore può ripresentarsi a seguito di terapia farmacologica. Dopo un intervento chirurgico più aggressivo, tuttavia, le possibilità di recidiva diminuiscono.
Potrebbe interessarvi anche: Dolore alla mandibola: ne avete mai sofferto?
Granuloma centrale a cellule giganti
Il granuloma centrale è una formazione benigna che di solito colpisce l’area frontale della mandibola inferiore. Alcuni crescono molto in fretta e, oltre a provocare dolore, possono persino frantumare le ossa. Dopo l’asportazione chirurgica, tendono a ripresentarsi.
Cisti dentigera

Questa cisti si forma nel tessuto circostante i denti, in genere a carico della mandibola. In linea di massima, si diffonde nella zona circostante i denti del giudizio che devono ancora spuntare, ma può interessare anche altri denti.
Cheratocisti odontogene
Noto anche come tumore cheratocistico odontogeno, perché tende a ripresentarsi a seguito di intervento chirurgico. Si tratta di una cisti benigna che cresce lentamente, ma che può deteriorare le strutture locali.
In genere si sviluppa nella mandibola inferiore, vicino ai terzi molari. Queste cisti sono frequenti nelle persone affette da una malattia ereditaria che prende il nome di carcinoma basocellulare nevoide.
Mixoma odontogeno
Il mixoma è una neoplasia benigna, poco comune e dalla crescita lenta, a livello della mandibola inferiore. Può essere grande e invadere in modo aggressivo la mandibola, il tessuto circostante e persino modificare la dentatura. Anche questa forma è suscettibile a recidiva a seguito di intervento chirurgico.
Odontoma
Si tratta del tumore alla mandibola più diffuso. Gli odontomi spesso non provocano sintomi, ma possono interferire con lo sviluppo dei denti.
Questo tipo di tumore è caratterizzato da tessuto dentale che cresce intorno a un dente, nella mandibola. Può avere l’aspetto di un dente e si presenta come una massa calcificata, piccola o grande.
Cause delle cisti e dei tumori alla mandibola

Le cisti e i tumori alla mandibola odontogeni hanno origine da cellule e tessuti coinvolti nella formazione dei denti. Altre formazioni mandibolari, tuttavia, possono essere non odontogene, visto che si sviluppano a partire da altri tessuti.
La causa è di solito sconosciuta, ma alcune neoplasia sono state associate a sindromi genetiche. Per esempio, le persone affette da sindrome del carcinoma nevico delle cellule basali, conosciuto anche come sindrome di Gorlin, sono prive di un gene che reprime i tumori.
La mutazione genetica responsabile della sindrome è ereditaria e provoca lo sviluppo di diverse cheratocisti odontogene alla mandibola e diversi carcinomi delle cellule basali.
Potrebbe interessarvi anche: Salute dentale: 5 sane abitudini
Diagnosi delle cisti e dei tumori alla mandibola
Nella maggior parte dei casi cisti e tumori mandibolari non provocano sintomi, motivo per cui la loro scoperta è casuale. In alcuni casi, tuttavia, il soggetto accusa odontalgia, infiammazione, dolore e gonfiore alle gengive.
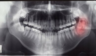
Per analizzare nel migliore dei modi le formazioni mandibolari, verranno prescritti esami diagnostici come radiografie, TAC e ortopantomografia.
È possibile eseguire una biopsia per estrarre un campione delle cellule tumorali o della cisti al fine di analizzarlo. Il medico potrà così stabilire il trattamento adatto per intervenire nel modo più efficace.
I tumori alla mandibola sono formazioni o lesioni che si formano nell’osso della mandibola o nei tessuti molli della bocca e del viso. Spesso si tratta di neoplasie benigne ad aspetto cistico. Un tumore è una crescita o massa anomala di tessuto, mentre una cisti è una lesione che contiene materiale liquido o semisolido.
A volte le cisti e i tumori alla mandibola sono odontogeni e possono variare molto in termini di dimensione e gravità. In linea di massima, si tratta di neoplasie benigne, ma possono essere aggressive e invadere le ossa e i tessuti circostanti, così come i denti.
Le opzioni di trattamento per i tumori e le cisti mandibolari variano a seconda del tipo di formazione e di lesione, della fase in cui si trovano e dei sintomi. I chirurghi maxillo-facciali possono intervenire sul tumore o sulla cisti mediante operazione chirurgica, trattamento farmacologico o con entrambi.
Tipi di cisti e tumori alla mandibola
Esistono diversi tipi di tumori e cisti mandibolari noti. Ne riportiamo alcuni:
Ameloblastoma

Si tratta di un tumore relativamente diffuso, dalla crescita lenta e in genere non maligno. Spesso colpisce la mandibola, nell’area circostante i molari. Può invadere le strutture locali, come l’osso o il tessuto molle.
Questo tumore può ripresentarsi a seguito di terapia farmacologica. Dopo un intervento chirurgico più aggressivo, tuttavia, le possibilità di recidiva diminuiscono.
Potrebbe interessarvi anche: Dolore alla mandibola: ne avete mai sofferto?
Granuloma centrale a cellule giganti
Il granuloma centrale è una formazione benigna che di solito colpisce l’area frontale della mandibola inferiore. Alcuni crescono molto in fretta e, oltre a provocare dolore, possono persino frantumare le ossa. Dopo l’asportazione chirurgica, tendono a ripresentarsi.
Cisti dentigera

Questa cisti si forma nel tessuto circostante i denti, in genere a carico della mandibola. In linea di massima, si diffonde nella zona circostante i denti del giudizio che devono ancora spuntare, ma può interessare anche altri denti.
Cheratocisti odontogene
Noto anche come tumore cheratocistico odontogeno, perché tende a ripresentarsi a seguito di intervento chirurgico. Si tratta di una cisti benigna che cresce lentamente, ma che può deteriorare le strutture locali.
In genere si sviluppa nella mandibola inferiore, vicino ai terzi molari. Queste cisti sono frequenti nelle persone affette da una malattia ereditaria che prende il nome di carcinoma basocellulare nevoide.
Mixoma odontogeno
Il mixoma è una neoplasia benigna, poco comune e dalla crescita lenta, a livello della mandibola inferiore. Può essere grande e invadere in modo aggressivo la mandibola, il tessuto circostante e persino modificare la dentatura. Anche questa forma è suscettibile a recidiva a seguito di intervento chirurgico.
Odontoma
Si tratta del tumore alla mandibola più diffuso. Gli odontomi spesso non provocano sintomi, ma possono interferire con lo sviluppo dei denti.
Questo tipo di tumore è caratterizzato da tessuto dentale che cresce intorno a un dente, nella mandibola. Può avere l’aspetto di un dente e si presenta come una massa calcificata, piccola o grande.
Cause delle cisti e dei tumori alla mandibola

Le cisti e i tumori alla mandibola odontogeni hanno origine da cellule e tessuti coinvolti nella formazione dei denti. Altre formazioni mandibolari, tuttavia, possono essere non odontogene, visto che si sviluppano a partire da altri tessuti.
La causa è di solito sconosciuta, ma alcune neoplasia sono state associate a sindromi genetiche. Per esempio, le persone affette da sindrome del carcinoma nevico delle cellule basali, conosciuto anche come sindrome di Gorlin, sono prive di un gene che reprime i tumori.
La mutazione genetica responsabile della sindrome è ereditaria e provoca lo sviluppo di diverse cheratocisti odontogene alla mandibola e diversi carcinomi delle cellule basali.
Potrebbe interessarvi anche: Salute dentale: 5 sane abitudini
Diagnosi delle cisti e dei tumori alla mandibola
Nella maggior parte dei casi cisti e tumori mandibolari non provocano sintomi, motivo per cui la loro scoperta è casuale. In alcuni casi, tuttavia, il soggetto accusa odontalgia, infiammazione, dolore e gonfiore alle gengive.
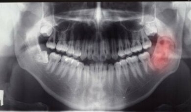
Per analizzare nel migliore dei modi le formazioni mandibolari, verranno prescritti esami diagnostici come radiografie, TAC e ortopantomografia.
È possibile eseguire una biopsia per estrarre un campione delle cellule tumorali o della cisti al fine di analizzarlo. Il medico potrà così stabilire il trattamento adatto per intervenire nel modo più efficace.
Tutte le fonti citate sono state esaminate a fondo dal nostro team per garantirne la qualità, l'affidabilità, l'attualità e la validità. La bibliografia di questo articolo è stata considerata affidabile e di precisione accademica o scientifica.
- Butler, F. S., & Harrigan, W. F. (1954). Ameloblastoma. The American Journal of Surgery. https://doi.org/10.1016/0002-9610(54)90435-3
- Chrcanovic, B. R., López Alvarenga, R., & Freire-Maia, B. (2011). Quiste óseo simple: Reporte de un caso y revisión de la literatura. Avances En Odontoestomatología. https://doi.org/10.4321/s0213-12852011000400005
- Radich Michea, A. (2003). Quiste Odontogénico calcificante asociado a Odontoma Fibrodontoma ameloblástico ¿ Versatilidad diagnóstica? Informe de caso clínico con seguimiento a siete años sin recidiva. Revista de La Facultad de Odontología Universidad de Valparaíso.
Questo testo è fornito solo a scopo informativo e non sostituisce la consultazione con un professionista. In caso di dubbi, consulta il tuo specialista.







