Adenoma ipofisario: cause e sintomi


Revisionato e approvato da il dottore Diego Pereira
L’adenoma ipofisario è un tumore benigno a crescita lenta. Ha origine nelle cellule che formano la ghiandola pituitaria. Questa ghiandola regola la funzione di altre ghiandole dell’organismo, motivo per cui è ritenuta così importante.
L’adenoma ipofisario è relativamente raro e si manifesta con una frequenza approssimativa di 1 caso su 1000 adulti. In genere, è un tumore benigno e a crescita lenta. Al contrario, i carcinomi ipofisari e i tumori maligni sono piuttosto insoliti.
Non esiste distinzione di sesso, colpisce ugualmente sia uomini che donne. Per quanto riguarda l’età, si registra una maggiore incidenza tra i 30 e i 40 anni.
Le reali cause dell’adenoma ipofisario sono tuttora sconosciute, sebbene, in alcuni casi, sia associato a una malattia genetica chiamata sindrome da neoplasia endocrina multipla.
Sintomi dell’adenoma ipofisario

Il sintomo principale legato a questi tumori è l’alterazione delle secrezioni ormonali. In funzione dell’incidenza del tumore sulla ghiandola pituitaria, può infatti verificarsi un’eccessiva produzione di uno o più ormoni.
Come conseguenza dell’alterazione del sistema endocrino, si possono verificare i seguenti sintomi:
- Ipertiroidismo: la ghiandola tiroidea produce una quantità eccessiva di ormoni; questo sintomo è abbastanza insolito nei soggetti affetti da adenoma ipofisario.
- Sindrome di Cushing: i livelli di cortisolo sono più alti della norma.
- Acromegalia: nei bambini, gli alti livelli dell’ormone della crescita possono provocare il gigantismo. Quando ciò si verifica in una persona adulta, si parla di acromegalia.
- Secrezione e produzione di latte negli uomini e nelle donne.
- Ciclo mestruale irregolare nelle donne, a causa dell’alterazione degli ormoni sessuali.
D’altro canto, i sintomi che si verificano in caso di compressione delle strutture cerebrali a causa di un tumore ipofisario di grandi dimensioni possono includere:
- Disturbi della vista come visione doppia, perdita del campo visivo, palpebre cadenti o alterata visione dei colori.
- Mal di testa.
- Stanchezza e sonnolenza
- Naso che cola, con fuoriuscita di liquido trasparente.
- Nausea e vomito
- Disturbi dell’olfatto.
Quando i sintomi compaiono all’improvviso e insieme, si è di fronte a una condizione già grave. Inoltre, possono anche provocare un infarto ipofisario.
Leggete anche: Ipertiroidismo e ipotiroidismo: qual è la differenza?
Tipi di adenomi
Gli adenomi ipofisari si possono classificare in base alle dimensioni:
- Microadenomi: più piccoli di 1 cm.
- Macroadenomi: più grandi di 1 cm. Questo tipo causa, in percentuale elevata, dei deficit in uno o più ormoni ipofisari.
Possono essere classificati anche in base alla secrezione o meno degli ormoni. Secondo questo parametro, avremo adenomi funzionati se secernono ormoni e, in caso contrario, adenomi non funzionanti.
Diagnosi

Poi, si esegue un’analisi della funzione endocrina per ricercare eventuali segni di eccesso ormonale e irregolarità. Vengono misurati alcuni parametri quali i livelli di cortisolo, la sindrome di Cushing o l’eccesso di ormone della crescita.
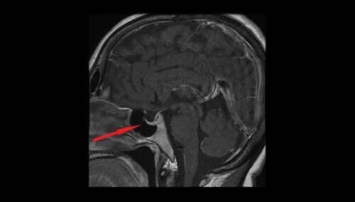
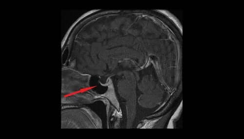
Gli esami più importanti per la conferma della diagnosi sono il campo visivo, la tomografia computerizzata (TC) e la risonanza magnetica cerebrale.
Può interessarvi anche: Livello di cortisolo alto: 14 segnali da considerare
Trattamento dell’adenoma ipofisario
Le opzioni terapeutiche attuali includono:
- Farmaci ormonali sostitutivi: i medicinali che bloccano la secrezione ormonale possono controllare i sintomi e persino ridurre le dimensioni del tumore.
- Tecniche radioterapiche: spesso utilizzate per ridurre le dimensioni del tumore.
- Chirurgia dell’adenoma ipofisario: la rimozione della maggior parte di questi tumori avviene attraverso la cavità nasale. Tuttavia, in altri casi, si rende necessaria la craniotomia o apertura del cranio.
La chirurgia nasale endoscopica consiste nell’introdurre un endoscopio attraverso le narici per farlo scorrere tra il turbinato medio e il setto nasale, fino a raggiungere l’ostio del seno sfenoidale. Si esegue quindi un’apertura sufficiente a identificare la sella turcica per poi aprirla e rimuovere il tumore.
La complicazione più grave di questo intervento, nel caso in cui venga gravemente danneggiato il nervo ottico, è il rischio di cecità. Il tumore o la sua escissione possono causare squilibri ormonali a vita e causare il diabete insipido. Questo tipo di diabete è caratterizzato da sintomi quali minzione frequente e sete intensa.
L’adenoma ipofisario è un tumore benigno a crescita lenta. Ha origine nelle cellule che formano la ghiandola pituitaria. Questa ghiandola regola la funzione di altre ghiandole dell’organismo, motivo per cui è ritenuta così importante.
L’adenoma ipofisario è relativamente raro e si manifesta con una frequenza approssimativa di 1 caso su 1000 adulti. In genere, è un tumore benigno e a crescita lenta. Al contrario, i carcinomi ipofisari e i tumori maligni sono piuttosto insoliti.
Non esiste distinzione di sesso, colpisce ugualmente sia uomini che donne. Per quanto riguarda l’età, si registra una maggiore incidenza tra i 30 e i 40 anni.
Le reali cause dell’adenoma ipofisario sono tuttora sconosciute, sebbene, in alcuni casi, sia associato a una malattia genetica chiamata sindrome da neoplasia endocrina multipla.
Sintomi dell’adenoma ipofisario

Il sintomo principale legato a questi tumori è l’alterazione delle secrezioni ormonali. In funzione dell’incidenza del tumore sulla ghiandola pituitaria, può infatti verificarsi un’eccessiva produzione di uno o più ormoni.
Come conseguenza dell’alterazione del sistema endocrino, si possono verificare i seguenti sintomi:
- Ipertiroidismo: la ghiandola tiroidea produce una quantità eccessiva di ormoni; questo sintomo è abbastanza insolito nei soggetti affetti da adenoma ipofisario.
- Sindrome di Cushing: i livelli di cortisolo sono più alti della norma.
- Acromegalia: nei bambini, gli alti livelli dell’ormone della crescita possono provocare il gigantismo. Quando ciò si verifica in una persona adulta, si parla di acromegalia.
- Secrezione e produzione di latte negli uomini e nelle donne.
- Ciclo mestruale irregolare nelle donne, a causa dell’alterazione degli ormoni sessuali.
D’altro canto, i sintomi che si verificano in caso di compressione delle strutture cerebrali a causa di un tumore ipofisario di grandi dimensioni possono includere:
- Disturbi della vista come visione doppia, perdita del campo visivo, palpebre cadenti o alterata visione dei colori.
- Mal di testa.
- Stanchezza e sonnolenza
- Naso che cola, con fuoriuscita di liquido trasparente.
- Nausea e vomito
- Disturbi dell’olfatto.
Quando i sintomi compaiono all’improvviso e insieme, si è di fronte a una condizione già grave. Inoltre, possono anche provocare un infarto ipofisario.
Leggete anche: Ipertiroidismo e ipotiroidismo: qual è la differenza?
Tipi di adenomi
Gli adenomi ipofisari si possono classificare in base alle dimensioni:
- Microadenomi: più piccoli di 1 cm.
- Macroadenomi: più grandi di 1 cm. Questo tipo causa, in percentuale elevata, dei deficit in uno o più ormoni ipofisari.
Possono essere classificati anche in base alla secrezione o meno degli ormoni. Secondo questo parametro, avremo adenomi funzionati se secernono ormoni e, in caso contrario, adenomi non funzionanti.
Diagnosi

Poi, si esegue un’analisi della funzione endocrina per ricercare eventuali segni di eccesso ormonale e irregolarità. Vengono misurati alcuni parametri quali i livelli di cortisolo, la sindrome di Cushing o l’eccesso di ormone della crescita.
Gli esami più importanti per la conferma della diagnosi sono il campo visivo, la tomografia computerizzata (TC) e la risonanza magnetica cerebrale.
Può interessarvi anche: Livello di cortisolo alto: 14 segnali da considerare
Trattamento dell’adenoma ipofisario
Le opzioni terapeutiche attuali includono:
- Farmaci ormonali sostitutivi: i medicinali che bloccano la secrezione ormonale possono controllare i sintomi e persino ridurre le dimensioni del tumore.
- Tecniche radioterapiche: spesso utilizzate per ridurre le dimensioni del tumore.
- Chirurgia dell’adenoma ipofisario: la rimozione della maggior parte di questi tumori avviene attraverso la cavità nasale. Tuttavia, in altri casi, si rende necessaria la craniotomia o apertura del cranio.
La chirurgia nasale endoscopica consiste nell’introdurre un endoscopio attraverso le narici per farlo scorrere tra il turbinato medio e il setto nasale, fino a raggiungere l’ostio del seno sfenoidale. Si esegue quindi un’apertura sufficiente a identificare la sella turcica per poi aprirla e rimuovere il tumore.
La complicazione più grave di questo intervento, nel caso in cui venga gravemente danneggiato il nervo ottico, è il rischio di cecità. Il tumore o la sua escissione possono causare squilibri ormonali a vita e causare il diabete insipido. Questo tipo di diabete è caratterizzato da sintomi quali minzione frequente e sete intensa.
Tutte le fonti citate sono state esaminate a fondo dal nostro team per garantirne la qualità, l'affidabilità, l'attualità e la validità. La bibliografia di questo articolo è stata considerata affidabile e di precisione accademica o scientifica.
-
Jaime, M. de, López, F., & Cabrera, G. (2003). Patología de los adenomas hipofisarios. Patología.
-
Betanzos, R. R., Gerardo, E., Pérez, D., Apolonia, S., Montaño, A., Sánchez, V., … Mendoza, C. (2009). Artículo de revisión Acromegalia. Mcm.
-
CARNEIRO, C. C., MENDES, B. B., & BASTOS, L. G. (2015). ADENOMA HIPOFISÁRIO: CORRELAÇÃO CLÍNICA, LABORATORIAL E RADIOLÓGICA. REVISTA DA UNIVERSIDADE VALE DO RIO VERDE. https://doi.org/10.5892/ruvrd.v13i1.1979
Questo testo è fornito solo a scopo informativo e non sostituisce la consultazione con un professionista. In caso di dubbi, consulta il tuo specialista.







