Malattia di Marchiafava-Bignami: sintomi, cause e trattamento


Revisionato e approvato da la dottoressa Mariel Mendoza
a malattia di Marchiafava-Bignami è una condizione rara caratterizzata dall’erosione del corpo calloso. Si verifica più spesso negli uomini con disturbo da uso di alcol, ma anche in persone affette da grave malnutrizione.
I sintomi possono includere convulsioni, eloquio rallentato, depressione, apatia e aggressività. Il trattamento comprende la somministrazione per via endovenosa o orale di tiamina, acido folico e vitamina B, oltre a corticosteroidi.
Che cos’è la malattia di Marchiafava-Bignami?
La malattia di Marchiafava-Bignami prende il nome dai medici italiani Ettore Marchiafava e Amico Bignami, che la descrissero nel 1903. Inoltre, a questi patologi va il merito di aver studiato e identificato il parassita che trasmette la malaria.
La malattia di Marchiafava-Bignami (abbreviata MBD) è rara. Uno studio del 2001 riporta un totale di 250 casi segnalati, in uomini di varie nazionalità.
Molti di loro con un disturbo da uso di alcol.
È caratterizzata da demielinizzazione, nonché eventuale necrosi, del corpo calloso. Cosa significa? Il corpo calloso è una struttura del cervello che collega i due emisferi, aiutandoli a lavorare in modo coordinato.
La mielina è uno strato isolante, composto da proteine e grassi. Funziona come una guaina, che copre e isola i nervi. Oltre a questa funzione, la mielina contribuisce alla trasmissione degli impulsi elettrici.

Sintomi della malattia di Marchiafava-Bignami
L’insorgenza e il grado di sintomatologia della malattia di Marchiafava-Bignami variano da caso a caso, a seconda che sia acuta, subacuta o cronica. Alcuni sintomi sono legati al funzionamento psicologico, altri a quello neurologico:
- Atassia.
- Aprassia.
- Depressione.
- Disartria.
- Emiparesi.
- Aggressività.
- Convulsioni.
- Allucinazioni visive e uditive.
- Spasticità e disturbi della deambulazione.
- Confusione, demenza e paranoia.
La diagnostica per immagini del cervello può evidenziare anche un rigonfiamento del corpo calloso. In alcuni casi, sono presenti segni di sindrome da disconnessione interemisferica.
Potrebbe interessarvi anche: Battiti binaurali: come influenzano il cervello?
Cause e fattori di rischio
La MBD è più comune nei pazienti con disturbo da abuso di alcol. La sua eziologia, tuttavia, non è del tutto chiara, in quanto si verifica anche in persone che non hanno una dipendenza da alcol.
Alcune ricerche suggeriscono che possa verificarsi in pazienti che soffrono di malnutrizione cronica. A questo proposito, si pensa che sia legata a una carenza di vitamine del gruppo B.
Altre possibili cause citate sono le seguenti:
- Malattia falciforme e malaria cerebrale.
- Complicazione della chetoacidosi nel diabete mellito.
- Malnutrizione dopo un intervento di bypass gastrico.
- Chirurgia del carcinoma cardiaco.
L’età media dei casi diagnosticati è di 45 anni.
D’altra parte, la malattia di Marchiafava-Bignami è più comune negli uomini, forse perché, secondo le statistiche, sono più propensi a consumare alcolici.
Leggete anche: Conseguenze dell’alcol sulla salute dentale
Come viene effettuata la diagnosi?
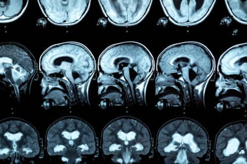
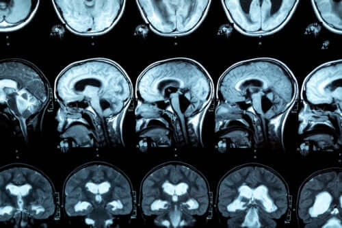
Per la diagnosi di questa patologia viene eseguita una risonanza magnetica, in modo da poter osservare le lesioni nel corpo calloso. Le ricerche indicano che le persone con disturbo da uso di alcol mostrano una riduzione dello spessore anteriore, medio e posteriore del corpo calloso, oltre a variazioni nelle dimensioni del lobo frontale e dei solchi corticali.
Inoltre, viene analizzata la storia del paziente e vengono effettuati esami fisici e psicologici dettagliati:
- Funzione neurologica, utilizzando alcune scale (MOHS e mRS).
- Funzione cognitiva (con test come il Montreal o il MoCA).
- Alterazione della coscienza (Glasgow Coma Scale).
- Consumo di alcol (MAST-C).
Vengono prescritti esami di laboratorio generali, come emocromo completo, elettroliti, glucosio, transaminasi, bilirubina e quadro sierologico del liquido cerebrospinale. Quest’ultimo per verificare la presenza di infezioni del sistema nervoso centrale.
Trattamento della malattia di Marchiafava-Bignami
Il trattamento della malattia di Marchiafava-Bignami prevede l’assunzione di integratori vitaminici a base di tiamina, folati e altre vitamine del gruppo B. Possono essere somministrati per via endovenosa o orale. Il dosaggio varia da caso a caso, a discrezione del medico.
Naturalmente, è necessario interrompere l’assunzione di alcol. Ma poiché questo può scatenare sintomi di astinenza, possono essere necessari ulteriori farmaci o addirittura il ricovero in ospedale.

Possibili complicazioni
Diversi studi riportano che i pazienti con MBD hanno mostrato un miglioramento significativo dopo la somministrazione di multivitaminici e corticosteroidi. Nei diabetici è necessaria la stabilizzazione e la normalizzazione del glucosio plasmatico.
Tuttavia, nella fase acuta, le aree danneggiate del corpo calloso possono mostrare alterazioni edematose citotossiche. Sono possibili anche lesioni ad altre parti del cervello, come i lobi cerebrali, la materia bianca emisferica e i gangli della base.
Nei pazienti non trattati, così come in quelli che non rispondono al trattamento, la demielinizzazione e la necrosi possono diventare permanenti. Può anche verificarsi una trasformazione cistica.
Non sono rari altri danni associati all’alcol o a carenze alimentari:
- Metabolismo lipidico anormale.
- Disturbi gastrointestinali.
- Disturbi metabolici.
- Ipovitaminosi.
- Danni al fegato.
Inoltre, quando è colpito il corpo calloso, la connessione tra i due emisferi viene meno, con conseguenti problemi cognitivi, sensoriali e motori. In alcuni casi, infine, i pazienti possono entrare in coma.
Mentre una parte di essi può guarire spontaneamente, in altri casi è possibile il decesso. Il tasso di mortalità è del 20%.
Prognosi
Poiché la gravità della malattia è variabile, la prognosi è incerta. Anche in presenza di sintomi, una persona può sopravvivere per anni, persino guarire, o peggiorare fino alla morte.
Quanto più precocemente viene fatta la diagnosi e quanto più attentamente viene seguito il trattamento, tanto maggiori sono le possibilità di guarigione del paziente. Questo include la cessazione dell’assunzione di alcol.
a malattia di Marchiafava-Bignami è una condizione rara caratterizzata dall’erosione del corpo calloso. Si verifica più spesso negli uomini con disturbo da uso di alcol, ma anche in persone affette da grave malnutrizione.
I sintomi possono includere convulsioni, eloquio rallentato, depressione, apatia e aggressività. Il trattamento comprende la somministrazione per via endovenosa o orale di tiamina, acido folico e vitamina B, oltre a corticosteroidi.
Che cos’è la malattia di Marchiafava-Bignami?
La malattia di Marchiafava-Bignami prende il nome dai medici italiani Ettore Marchiafava e Amico Bignami, che la descrissero nel 1903. Inoltre, a questi patologi va il merito di aver studiato e identificato il parassita che trasmette la malaria.
La malattia di Marchiafava-Bignami (abbreviata MBD) è rara. Uno studio del 2001 riporta un totale di 250 casi segnalati, in uomini di varie nazionalità.
Molti di loro con un disturbo da uso di alcol.
È caratterizzata da demielinizzazione, nonché eventuale necrosi, del corpo calloso. Cosa significa? Il corpo calloso è una struttura del cervello che collega i due emisferi, aiutandoli a lavorare in modo coordinato.
La mielina è uno strato isolante, composto da proteine e grassi. Funziona come una guaina, che copre e isola i nervi. Oltre a questa funzione, la mielina contribuisce alla trasmissione degli impulsi elettrici.

Sintomi della malattia di Marchiafava-Bignami
L’insorgenza e il grado di sintomatologia della malattia di Marchiafava-Bignami variano da caso a caso, a seconda che sia acuta, subacuta o cronica. Alcuni sintomi sono legati al funzionamento psicologico, altri a quello neurologico:
- Atassia.
- Aprassia.
- Depressione.
- Disartria.
- Emiparesi.
- Aggressività.
- Convulsioni.
- Allucinazioni visive e uditive.
- Spasticità e disturbi della deambulazione.
- Confusione, demenza e paranoia.
La diagnostica per immagini del cervello può evidenziare anche un rigonfiamento del corpo calloso. In alcuni casi, sono presenti segni di sindrome da disconnessione interemisferica.
Potrebbe interessarvi anche: Battiti binaurali: come influenzano il cervello?
Cause e fattori di rischio
La MBD è più comune nei pazienti con disturbo da abuso di alcol. La sua eziologia, tuttavia, non è del tutto chiara, in quanto si verifica anche in persone che non hanno una dipendenza da alcol.
Alcune ricerche suggeriscono che possa verificarsi in pazienti che soffrono di malnutrizione cronica. A questo proposito, si pensa che sia legata a una carenza di vitamine del gruppo B.
Altre possibili cause citate sono le seguenti:
- Malattia falciforme e malaria cerebrale.
- Complicazione della chetoacidosi nel diabete mellito.
- Malnutrizione dopo un intervento di bypass gastrico.
- Chirurgia del carcinoma cardiaco.
L’età media dei casi diagnosticati è di 45 anni.
D’altra parte, la malattia di Marchiafava-Bignami è più comune negli uomini, forse perché, secondo le statistiche, sono più propensi a consumare alcolici.
Leggete anche: Conseguenze dell’alcol sulla salute dentale
Come viene effettuata la diagnosi?
Per la diagnosi di questa patologia viene eseguita una risonanza magnetica, in modo da poter osservare le lesioni nel corpo calloso. Le ricerche indicano che le persone con disturbo da uso di alcol mostrano una riduzione dello spessore anteriore, medio e posteriore del corpo calloso, oltre a variazioni nelle dimensioni del lobo frontale e dei solchi corticali.
Inoltre, viene analizzata la storia del paziente e vengono effettuati esami fisici e psicologici dettagliati:
- Funzione neurologica, utilizzando alcune scale (MOHS e mRS).
- Funzione cognitiva (con test come il Montreal o il MoCA).
- Alterazione della coscienza (Glasgow Coma Scale).
- Consumo di alcol (MAST-C).
Vengono prescritti esami di laboratorio generali, come emocromo completo, elettroliti, glucosio, transaminasi, bilirubina e quadro sierologico del liquido cerebrospinale. Quest’ultimo per verificare la presenza di infezioni del sistema nervoso centrale.
Trattamento della malattia di Marchiafava-Bignami
Il trattamento della malattia di Marchiafava-Bignami prevede l’assunzione di integratori vitaminici a base di tiamina, folati e altre vitamine del gruppo B. Possono essere somministrati per via endovenosa o orale. Il dosaggio varia da caso a caso, a discrezione del medico.
Naturalmente, è necessario interrompere l’assunzione di alcol. Ma poiché questo può scatenare sintomi di astinenza, possono essere necessari ulteriori farmaci o addirittura il ricovero in ospedale.

Possibili complicazioni
Diversi studi riportano che i pazienti con MBD hanno mostrato un miglioramento significativo dopo la somministrazione di multivitaminici e corticosteroidi. Nei diabetici è necessaria la stabilizzazione e la normalizzazione del glucosio plasmatico.
Tuttavia, nella fase acuta, le aree danneggiate del corpo calloso possono mostrare alterazioni edematose citotossiche. Sono possibili anche lesioni ad altre parti del cervello, come i lobi cerebrali, la materia bianca emisferica e i gangli della base.
Nei pazienti non trattati, così come in quelli che non rispondono al trattamento, la demielinizzazione e la necrosi possono diventare permanenti. Può anche verificarsi una trasformazione cistica.
Non sono rari altri danni associati all’alcol o a carenze alimentari:
- Metabolismo lipidico anormale.
- Disturbi gastrointestinali.
- Disturbi metabolici.
- Ipovitaminosi.
- Danni al fegato.
Inoltre, quando è colpito il corpo calloso, la connessione tra i due emisferi viene meno, con conseguenti problemi cognitivi, sensoriali e motori. In alcuni casi, infine, i pazienti possono entrare in coma.
Mentre una parte di essi può guarire spontaneamente, in altri casi è possibile il decesso. Il tasso di mortalità è del 20%.
Prognosi
Poiché la gravità della malattia è variabile, la prognosi è incerta. Anche in presenza di sintomi, una persona può sopravvivere per anni, persino guarire, o peggiorare fino alla morte.
Quanto più precocemente viene fatta la diagnosi e quanto più attentamente viene seguito il trattamento, tanto maggiori sono le possibilità di guarigione del paziente. Questo include la cessazione dell’assunzione di alcol.
Tutte le fonti citate sono state esaminate a fondo dal nostro team per garantirne la qualità, l'affidabilità, l'attualità e la validità. La bibliografia di questo articolo è stata considerata affidabile e di precisione accademica o scientifica.
- Bachar M, Fatakhov E, Banerjee C, Todnem N. Rapidly resolving nonalcoholic Marchiafava-Bignami disease in the setting of malnourishment after gastric bypass surgery. J Investig Med High Impact Case Rep. 2018; 6: doi.org/10.1177/2324709618784318.
- Boutboul D, Lidove O, Aguilar C, Klein I, Papo T. Marchiafava-Bignami disease complicating SC hemoglobin disease and Plasmodium falciparum infection. Presse Med. 2010; 39(9): 990-993.
- Carrilho P, Santos M, Piasecki L, Jorge A. Marchiafava-Bignami disease: a rare entity with a poor outcome. Rev Bras Ter Intensiva. 2013; 25(1): 68-72.
- Ceylan-Isik A, McBride S, Ren J. Sex difference in alcoholism: who is at a greater risk for development of alcoholic complication? Life Sci. 2010; 87(5-6): 133-138.
- Estruch R, Nicolás J, Salamero M, Aragón C, et al. Atrophy of the corpus callosum in chronic alcoholism. J Neurol Sci. 1997; 146(2): 145-151.
- Helenius J, Tatlisumak T, Soinne L, Valanne L, Kaste M. Marchiafava-Bignami disease: two cases with favourable outcome. Eur J Neurol. 2001; 8(3): 269-272.
- Hillbom M, Saloheimo P, Fujioka S, Wszolek ZK, Juvela S, Leone MA. Diagnosis and management of Marchiafava-Bignami disease: a review of CT/MRI confirmed cases. J Neurol Neurosurg Psychiatry. 2014; 85(2): 168-173.
- Suzuki Y, Oishi M, Ogawa K, Kamei S. A patient with Marchiafava-Bignami disease as a complication of diabetes mellitus treated effectively with corticosteroid. J Clin Neurosci. 2012; 19(5): 761-762.
- Tian T, Pescador M, Park S, et al. Marchiafava Bignami Disease. In: StatPearls. Treasure Island (FL): StatPearls Publishing; 2022 Jan. Disponible: https://www.ncbi.nlm.nih.gov/books/NBK526007/
- Ventura R. El síndrome de desconexión interhemisférica cerebral. Revista de psiquiatria y salud mental. 2003; IV(2): 29-42.
- Yadala S, Luo J. Marchiafava-Bignami disease in a nonalcoholic diabetic patient. Case Rep Neurol Med. 2013: https://doi.org/10.1155/2013/979383.
Questo testo è fornito solo a scopo informativo e non sostituisce la consultazione con un professionista. In caso di dubbi, consulta il tuo specialista.







